全国400热线:400-8252586

Product Image

Anti-WDR13 Rabbit pAb

¥0
货号:YB112613-50
规格:
  • 50 μL
数量:

产品信息


蛋白质全称

WD重复蛋白13

别名

Wdr13, located at OATL1, MG21

Uniprot ID

Q91V09

免疫原

小鼠WDR13重组蛋白

抗体亚型

IgG

预测分子量./观测分子量.

54 kDa / 54 kDa

纯化方式

亲和纯化

亚细胞定位

细胞核




应用


应用 物种 稀释 阳性样品
WB 免疫印迹 小鼠 1: 1000-1: 2000 肺, 心, 肾
IHC/IF 免疫组织化学/免疫荧光 小鼠, 大鼠 1: 2500-1: 8000




背景

This gene encodes a member of the WD repeat protein family. WD repeats are minimally conserved regions of approximately 40 amino acids typically bracketed by Gly-His and Trp-Asp (GH-WD), which may facilitate formation of heterotrimeric or multiprotein complexes. Members of this family are involved in a variety of cellular processes, including cell cycle progression, signal transduction, apoptosis, and gene regulation. A similar protein in mouse is thought to be a negative regulator of the pancreatic beta cell proliferation. Mice lacking this gene exhibit increased pancreatic islet mass and higher serum insulin levels, and are mildly obese.




图像

WB检测WDR13蛋白(货号 GB112602).
样品: 经RIPA裂解液(货号G2002)处理的蛋白质.
封闭: 3%脱脂牛奶(货号GC310001)溶于TBST溶液, 室温孵育1小时.
—抗: 1: 1000稀释, 4℃ 孵育过夜.
二抗: HRP标记山羊抗兔IgG (H+L) (货号GB23303), 1: 5000稀释, 室温孵育1小时.

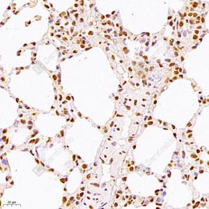
IHC检测WDR13蛋白(货号 GB112602).
样品: 小鼠肺, 4%多聚甲醛 (货号G1101) 固定12-24小时.
抗原修复: Tris-EDTA抗原修复液(pH 9.0) (G1203), 98℃, 20分钟.
—抗: 1: 2500稀释, 4℃ 孵育过夜.
二抗: HRP标记山羊抗兔IgG (H+L) (货号GB23303), 1: 200稀释, 室温孵育1小时.

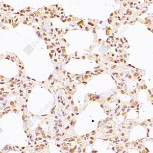
IHC检测WDR13蛋白(货号 GB112602).
样品: 大鼠肺, 4%多聚甲醛 (货号G1101) 固定12-24小时.
抗原修复: Tris-EDTA抗原修复液(pH 9.0) (G1203), 98℃, 20分钟.
—抗: 1: 2500稀释, 4℃ 孵育过夜.
二抗: HRP标记山羊抗兔IgG (H+L) (货号GB23303), 1: 200稀释, 室温孵育1小时.




储存


储存条件 在-20℃下储存一年, 避免反复冻融.
储存缓冲液 含0.15% ProClin300防腐剂, 100 μg/mL牛血清白蛋白和50%甘油的磷酸盐缓冲液.


注意:

1.本产品仅供研究使用.

2.建议用一抗稀释液(G2025)稀释本产品.


相关产品

注意事项

  • 请在保质期内使用本产品
  • 请存放于阴凉干燥处,避免阳光直射
  • 使用前请仔细阅读产品说明书
  • 如有不适,请立即停止使用并咨询专业人士
服务推荐
货号名称规格价格操作
产品推荐
货号名称规格价格操作
广州一科生物科技有限公司
广州一科生物科技有限公司
电话:400-8252586
邮箱:weikexie@163.com
地址:广州市白云区白灰场南路润祥大厦B栋707
粤ICP备19145173号-1版权所有 All rights reserved 广州市一科生物科技有限公司
本公司产品仅供体外研究使用,不用于临床诊断!
  • 我的收藏
  • 咨询客服

    请填写您的信息,我们会尽快安排对应人员与您联系!

    单位名称:
    您的姓名:
    联系电话:
    咨询内容:
  • 联系电话

    客服电话:

    400-8252586

  • 返回顶部