Anti-JMJD6 Rabbit pAb
- 50 μL
产品信息
|
蛋白质全称 |
双功能精氨酸去甲基化酶和赖氨酰羟化酶JMJD6 |
|
别名 |
JMJD6, PSR, PTDSR, PTDSR1, arginine demethylase and lysine hydroxylase |
|
Uniprot ID |
Q9ERI5 |
|
免疫原 |
KLH偶联的小鼠JMJD6合成肽 |
|
抗体亚型 |
IgG |
|
纯化方式 |
亲和纯化 |
|
亚细胞定位 |
细胞核 |
应用
| 应用 | 物种 | 稀释 | 阳性样品 |
| IHC/IF 免疫组织化学/免疫荧光 | 人, 小鼠, 大鼠 | 1: 1000-1: 3000 | 肾癌, 心, 肌肉 |
背景
Dioxygenase that can both act as a histone arginine demethylase and a lysyl-hydroxylase. Acts as a lysyl-hydroxylase that catalyzes 5-hydroxylation on specific lysine residues of target proteins such as U2AF2/U2AF65 and LUC7L2. Acts as a regulator of RNA splicing by mediating 5-hydroxylation of U2AF2/U2AF65, affecting the pre-mRNA splicing activity of U2AF2/U2AF65. In addition to peptidyl-lysine 5-dioxygenase activity, may act as an RNA hydroxylase, as suggested by its ability to bind single strand RNA.
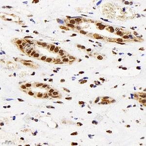
图像
|
|
IHC检测JMJD6蛋白(货号 GB11341). 样品: 人肾癌, 4%多聚甲醛 (货号G1101) 固定12-24小时. 抗原修复: 柠檬酸抗原修复液(干粉, pH 6.0) (G1201), 98℃, 20分钟. —抗: 1: 1000稀释, 4℃ 孵育过夜. 二抗: HRP标记山羊抗兔IgG (H+L) (货号GB23303), 1: 200稀释, 室温孵育1小时. |
|
|
IHC检测JMJD6蛋白(货号 GB11341). 样品: 小鼠心, 4%多聚甲醛 (货号G1101) 固定12-24小时. 抗原修复: 柠檬酸抗原修复液(干粉, pH 6.0) (G1201), 98℃, 20分钟. —抗: 1: 1000稀释, 4℃ 孵育过夜. 二抗: HRP标记山羊抗兔IgG (H+L) (货号GB23303), 1: 200稀释, 室温孵育1小时. |
|
|
IHC检测JMJD6蛋白(货号 GB11341). 样品: 小鼠肌肉, 4%多聚甲醛 (货号G1101) 固定12-24小时. 抗原修复: 柠檬酸抗原修复液(干粉, pH 6.0) (G1201), 98℃, 20分钟. —抗: 1: 1000稀释, 4℃ 孵育过夜. 二抗: HRP标记山羊抗兔IgG (H+L) (货号GB23303), 1: 200稀释, 室温孵育1小时. |
|
|
IHC检测JMJD6蛋白(货号 GB11341). 样品: 大鼠肌肉, 4%多聚甲醛 (货号G1101) 固定12-24小时. 抗原修复: 柠檬酸抗原修复液(干粉, pH 6.0) (G1201), 98℃, 20分钟. —抗: 1: 1000稀释, 4℃ 孵育过夜. 二抗: HRP标记山羊抗兔IgG (H+L) (货号GB23303), 1: 200稀释, 室温孵育1小时. |
储存
| 储存条件 | 在-20℃下储存一年, 避免反复冻融. |
| 储存缓冲液 | 含0.15% ProClin300防腐剂, 100 μg/mL牛血清白蛋白和50%甘油的磷酸盐缓冲液. |
注意:
1.本产品仅供研究使用.
2.建议用一抗稀释液(G2025)稀释本产品.
| 货号 | 名称 | 规格 | 价格 | 操作 |
|---|
| 货号 | 名称 | 规格 | 价格 | 操作 |
|---|
