
Anti-NAP1L2 Rabbit pAb
- 50 μL
产品信息
|
蛋白质全称 |
核小体组装蛋白1样2 |
|
别名 |
Bpx, Nap1l2 |
|
Uniprot ID |
P51860 |
|
免疫原 |
KLH偶联的小鼠NAP1L2合成肽 |
|
抗体亚型 |
IgG |
|
纯化方式 |
亲和纯化 |
|
亚细胞定位 |
细胞核 |
应用
| 应用 | 物种 | 稀释 | 阳性样品 |
| IHC/IF 免疫组织化学/免疫荧光 | 人, 大鼠 | 1: 700-1: 2100 | 脑, 肾 |
背景
Proper nucleosome assembly is critical for compacting DNA into chromatin. In human and mouse there are 5 protein-coding genes which comprise the nucleosome assembly protein (NAP) family.The remaining three family members, NAP1L2, NAP1L3 and NAP1L5 are neuron-specific nucleosome assembly proteins translated from intronless genes which are monoallelically expressed. NAP1L2 (nucleosome assembly protein 1-like 2), also known as BPX (brain specific protein, X-linked), is a 460 amino acid protein containing acidic domains which are thought to mediate histone interactions. NAP1L2 binds to chromatin and interacts with Histones H3 and H4. The function of NAP1L2 is not clearly defined although evidence suggests that NAP1L2 influences histone acetylation and therefore may play a significant role in regulating transcription in developing neurons.
图像
|
|
IHC检测NAP1L2蛋白(货号 GB115318). 样品: 大鼠脑, 4%多聚甲醛 (货号G1101) 固定12-24小时. 抗原修复: Tris-EDTA抗原修复液(pH 9.0) (G1203), 98℃, 20分钟. —抗: 1: 700稀释, 4℃ 孵育过夜. 二抗: HRP标记山羊抗兔IgG (H+L) (货号GB23303), 1: 200稀释, 室温孵育1小时. |
|
|
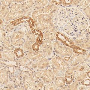
IHC检测NAP1L2蛋白(货号 GB115318). 样品: 人肾, 4%多聚甲醛 (货号G1101) 固定12-24小时. 抗原修复: Tris-EDTA抗原修复液(pH 9.0) (G1203), 98℃, 20分钟. —抗: 1: 700稀释, 4℃ 孵育过夜. 二抗: HRP标记山羊抗兔IgG (H+L) (货号GB23303), 1: 200稀释, 室温孵育1小时. |
储存
| 储存条件 | 在-20℃下储存一年, 避免反复冻融. |
| 储存缓冲液 | 含0.15% ProClin300防腐剂, 100 μg/mL牛血清白蛋白和50%甘油的磷酸盐缓冲液. |
注意:
1.本产品仅供研究使用.
2.建议用一抗稀释液(G2025)稀释本产品.
| 货号 | 名称 | 规格 | 价格 | 操作 |
|---|
| 货号 | 名称 | 规格 | 价格 | 操作 |
|---|

