
Anti-ATG16L1 Rabbit pAb
- 50 μL
产品信息
|
蛋白质全称 |
自噬相关蛋白16-1 |
|
别名 |
ATG16L1, autophagy related 16-like 1 (S. cerevisiae), APG16L, ATG16A, ATG16L, IBD10, WDR30, Autophagy related 16 like 1 |
|
Uniprot ID |
Q676U5 |
|
免疫原 |
KLH偶联的人ATG16L1合成肽 |
|
抗体亚型 |
IgG |
|
纯化方式 |
亲和纯化 |
|
亚细胞定位 |
细胞质 |
应用
| 应用 | 物种 | 稀释 | 阳性样品 |
| IHC/IF 免疫组织化学/免疫荧光 | 人, 大鼠 | 1: 500-1: 4000 | 纹状体, 肾, 淋巴结 |
背景
Autophagy related 16 like 1 is a protein that in humans is encoded by the ATG16L1 gene. Autophagy is the major intracellular degradation system delivering cytoplasmic components to lysosomes, and it accounts for degradation of most long-lived proteins and some organelles. Cytoplasmic constituents, including organelles, are sequestered into double-membraned autophagosomes, which subsequently fuse with lysosomes. ATG16L1 is a component of a large protein complex essential for autophagy.
图像
|
|
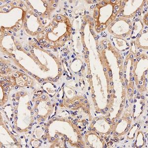
IHC检测ATG16L1蛋白(货号 GB11876). 样品: 人肾, 4%多聚甲醛 (货号G1101) 固定12-24小时. 抗原修复: 柠檬酸抗原修复液(干粉, pH 6.0) (G1201), 98℃, 20分钟. —抗: 1: 2000稀释, 4℃ 孵育过夜. 二抗: HRP标记山羊抗兔IgG (H+L) (货号GB23303), 1: 200稀释, 室温孵育1小时. |
|
|
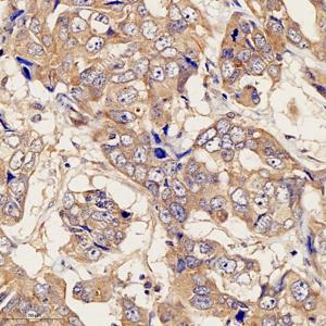
IHC检测ATG16L1蛋白(货号 GB11876). 样品: 大鼠淋巴结, 4%多聚甲醛 (货号G1101) 固定12-24小时. 抗原修复: 柠檬酸抗原修复液(干粉, pH 6.0) (G1201), 98℃, 20分钟. —抗: 1: 2000稀释, 4℃ 孵育过夜. 二抗: HRP标记山羊抗兔IgG (H+L) (货号GB23303), 1: 200稀释, 室温孵育1小时. |
|
|
IF检测ATG16L1蛋白(货号 GB11876)(红色). 样品: 大鼠纹状体, 4%多聚甲醛 (货号G1101) 固定12-24小时. 抗原修复: Tris-EDTA抗原修复液(pH 9.0) (G1203), 98℃, 20分钟. 封闭: 3% BSA(货号GC305010)的PBS溶液, 室温孵育30分钟. —抗: 1: 500稀释, 4℃ 孵育过夜. 二抗: Cy3标记山羊抗兔IgG (H+L) (货号GB21303), 1: 300稀释, 室温孵育1小时. |
储存
| 储存条件 | 在-20℃下储存一年, 避免反复冻融. |
| 储存缓冲液 | 含0.15% ProClin300防腐剂, 100 μg/mL牛血清白蛋白和50%甘油的磷酸盐缓冲液. |
注意:
1.本产品仅供研究使用.
2.建议用一抗稀释液(G2025)稀释本产品.
| 货号 | 名称 | 规格 | 价格 | 操作 |
|---|
| 货号 | 名称 | 规格 | 价格 | 操作 |
|---|


