
Anti-ATG7 Rabbit pAb
- 50 μL
产品信息
|
蛋白质全称 |
泛素样修饰激活酶ATG7 |
|
别名 |
APG7 LIKE, APG7L, ATG7, Autophagy related protein 7, GSA7, hAGP7, ATG12-activating enzyme E1 ATG7, autophagy related 7 |
|
Uniprot ID |
Q9D906 |
|
免疫原 |
KLH偶联的小鼠ATG7合成肽 |
|
抗体亚型 |
IgG |
|
纯化方式 |
亲和纯化 |
|
亚细胞定位 |
细胞质 |
应用
| 应用 | 物种 | 稀释 | 阳性样品 |
| IHC/IF 免疫组织化学/免疫荧光 | 小鼠 | 1: 600-1: 1200 | 脾, 肾 |
背景
Atg7 is an E1-like enzyme that is specifically involved in autophagosome formation and is essential for autophagy. As an autophagic-related protein it is required for linking to Atg12, Atg5 and Atg8, which are essential for Atg conjugation and autophagosome formation. Atg7 has been reported as an important regulator of autophagy with starvation-induced or chemotherapeutic agent treatment. The high expression level of ATG7 is related to the survival of patients with breast cancer. There are several isoforms of ATG7 protein ranged from 68 kDa to 78 kDa.
图像
|
|
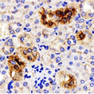
IHC检测ATG7蛋白(货号 GB11399). 样品: 小鼠脾, 4%多聚甲醛 (货号G1101) 固定12-24小时. 抗原修复: 柠檬酸抗原修复液(干粉, pH 6.0) (G1201), 98℃, 20分钟. —抗: 1: 600稀释, 4℃ 孵育过夜. 二抗: HRP标记山羊抗兔IgG (H+L) (货号GB23303), 1: 200稀释, 室温孵育1小时. |
|
|
IHC检测ATG7蛋白(货号 GB11399). 样品: 小鼠脾, 4%多聚甲醛 (货号G1101) 固定12-24小时. 抗原修复: 柠檬酸抗原修复液(干粉, pH 6.0) (G1201), 98℃, 20分钟. —抗: 1: 1200稀释, 4℃ 孵育过夜. 二抗: HRP标记山羊抗兔IgG (H+L) (货号GB23303), 1: 200稀释, 室温孵育1小时. |
|
|
IHC检测ATG7蛋白(货号 GB11399). 样品: 小鼠肾, 4%多聚甲醛 (货号G1101) 固定12-24小时. 抗原修复: 柠檬酸抗原修复液(干粉, pH 6.0) (G1201), 98℃, 20分钟. —抗: 1: 600稀释, 4℃ 孵育过夜. 二抗: HRP标记山羊抗兔IgG (H+L) (货号GB23303), 1: 200稀释, 室温孵育1小时. |
储存
| 储存条件 | 在-20℃下储存一年, 避免反复冻融. |
| 储存缓冲液 | 含0.15% ProClin300防腐剂, 100 μg/mL牛血清白蛋白和50%甘油的磷酸盐缓冲液. |
注意:
1.本产品仅供研究使用.
2.建议用一抗稀释液(G2025)稀释本产品.
| 货号 | 名称 | 规格 | 价格 | 操作 |
|---|
| 货号 | 名称 | 规格 | 价格 | 操作 |
|---|


