
Anti-SQSTM1/p62 Rabbit pAb
- 50 μL
产品信息
|
蛋白质全称 |
隔离体蛋白-1 |
|
别名 |
SQSTM1, A170, OSIL, PDB3, ZIP3, p60, p62, p62B, FTDALS3, Sequestosome 1, NADGP, DMRV |
|
Uniprot ID |
Q13501, Q64337 |
|
免疫原 |
KLH偶联的小鼠SQSTM1合成肽 |
|
抗体亚型 |
IgG |
|
纯化方式 |
亲和纯化 |
|
亚细胞定位 |
细胞质, 细胞核 |
应用
| 应用 | 物种 | 稀释 | 阳性样品 |
| IHC/IF 免疫组织化学/免疫荧光 | 人 | 1: 500-1: 1000 | 胆囊 |
背景
The product of SQSTM1 gene, Sequestosome-1, also kown as ubiquitin-binding protein p62, is an autophagosome cargo protein that targets other proteins that bind to it for selective autophagy. By interacting with GATA4 and targeting it for degradation, it can inhibit GATA-4 associated senescence and senescence-associated secretory phenotype.
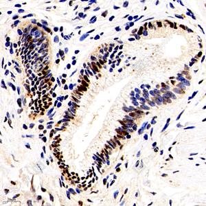
图像
|
|
IHC检测SQSTM1/p62蛋白(货号 GB11239). 样品: 人胆囊, 4%多聚甲醛 (货号G1101) 固定12-24小时. 抗原修复: 柠檬酸抗原修复液(干粉, pH 6.0) (G1201), 98℃, 20分钟. —抗: 1: 500稀释, 4℃ 孵育过夜. 二抗: HRP标记山羊抗兔IgG (H+L) (货号GB23303), 1: 200稀释, 室温孵育1小时. |
储存
| 储存条件 | 在-20℃下储存一年, 避免反复冻融. |
| 储存缓冲液 | 含0.15% ProClin300防腐剂, 100 μg/mL牛血清白蛋白和50%甘油的磷酸盐缓冲液. |
注意:
1.本产品仅供研究使用.
2.建议用一抗稀释液(G2025)稀释本产品.
| 货号 | 名称 | 规格 | 价格 | 操作 |
|---|
| 货号 | 名称 | 规格 | 价格 | 操作 |
|---|
