
Anti-PLK5 Rabbit pAb
- 50 μL
产品信息
|
蛋白质全称 |
失活PLK5激酶 |
|
别名 |
PLK5, PLK5P, polo like kinase 5 pseudogene, SgK384ps |
|
Uniprot ID |
Q4FZD7 |
|
免疫原 |
KLH偶联的小鼠PLK5合成肽 |
|
抗体亚型 |
IgG |
|
纯化方式 |
亲和纯化 |
|
亚细胞定位 |
细胞质, 细胞核 |
应用
| 应用 | 物种 | 稀释 | 阳性样品 |
| IHC/IF 免疫组织化学/免疫荧光 | 小鼠 | 1: 2000-1: 4000 | 脑, 小脑 |
背景
PLK5, also named as PLK5P, is an inactive serine/threonine-protein kinase that plays a role in cell cycle progression and neuronal differentiation. Compared with mouse Plk5, the protein kinase domain of human PLK5 is truncated. This is the reason that the MW of mouse Plk5 is about 50-70 kDa, the MW of human PLK5 is about 32-40 kDa. This antibody detects both PLK5 gene of human and mouse.
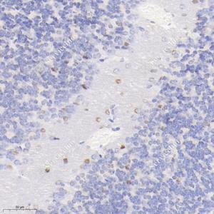
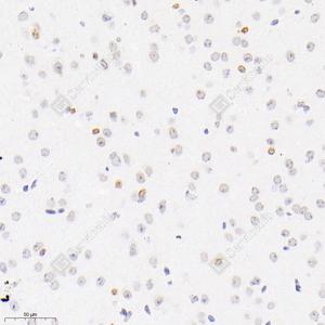
图像
|
|
IHC检测PLK5蛋白(货号 GB113372). 样品: 小鼠脑, 4%多聚甲醛 (货号G1101) 固定12-24小时. 抗原修复: Tris-EDTA抗原修复液(pH 9.0) (G1203), 98℃, 20分钟. —抗: 1: 3000稀释, 4℃ 孵育过夜. 二抗: HRP标记山羊抗兔IgG (H+L) (货号GB23303), 1: 200稀释, 室温孵育1小时. |
|
|
IHC检测PLK5蛋白(货号 GB113372). 样品: 小鼠小脑, 4%多聚甲醛 (货号G1101) 固定12-24小时. 抗原修复: Tris-EDTA抗原修复液(pH 9.0) (G1203), 98℃, 20分钟. —抗: 1: 3000稀释, 4℃ 孵育过夜. 二抗: HRP标记山羊抗兔IgG (H+L) (货号GB23303), 1: 200稀释, 室温孵育1小时. |
储存
| 储存条件 | 在-20℃下储存一年, 避免反复冻融. |
| 储存缓冲液 | 含0.15% ProClin300防腐剂, 100 μg/mL牛血清白蛋白和50%甘油的磷酸盐缓冲液. |
注意:
1.本产品仅供研究使用.
2.建议用一抗稀释液(G2025)稀释本产品.
| 货号 | 名称 | 规格 | 价格 | 操作 |
|---|
| 货号 | 名称 | 规格 | 价格 | 操作 |
|---|

