
Anti-MPP2/DLG2 Rabbit pAb
- 50 μL
产品信息
|
蛋白质全称 |
MAGUK p55亚家族成员2 |
|
别名 |
Membrane Protein Palmitoylated 2, PALS4, Homolog of DLG A tumor supressor, DLGH2, DLG2, Discs Large Homolog 2, D11BWG0652E, MPP2 |
|
Uniprot ID |
Q9WV34 |
|
免疫原 |
KLH偶联的小鼠MPP2/DLG2合成肽 |
|
抗体亚型 |
IgG |
|
纯化方式 |
亲和纯化 |
|
亚细胞定位 |
细胞突起, 细胞质, 细胞骨架, 膜, 突触 |
应用
| 应用 | 物种 | 稀释 | 阳性样品 |
| IHC/IF 免疫组织化学/免疫荧光 | 小鼠 | 1: 700-1: 2000 | 脑 |
背景
Postsynaptic MAGUK scaffold protein that links CADM1 cell adhesion molecules to core components of the postsynaptic density. In CA1 pyramidal neurons, required for synaptic KCNN2-containing channel function and long-term potentiation expression. Seems to negatively regulate SRC function in epithelial cells.
图像
|
|
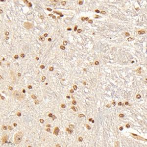
IHC检测MPP2/DLG2蛋白(货号 GB114850). 样品: 大鼠脑, 4%多聚甲醛 (货号G1101) 固定12-24小时. 抗原修复: 柠檬酸抗原修复液(干粉, pH 6.0) (G1201), 98℃, 20分钟. —抗: 1: 1000稀释, 4℃ 孵育过夜. 二抗: HRP标记山羊抗兔IgG (H+L) (货号GB23303), 1: 200稀释, 室温孵育1小时. |
|
|
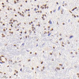
IHC检测MPP2/DLG2蛋白(货号 GB114850). 样品: 小鼠脑, 4%多聚甲醛 (货号G1101) 固定12-24小时. 抗原修复: 柠檬酸抗原修复液(干粉, pH 6.0) (G1201), 98℃, 20分钟. —抗: 1: 1000稀释, 4℃ 孵育过夜. 二抗: HRP标记山羊抗兔IgG (H+L) (货号GB23303), 1: 200稀释, 室温孵育1小时. |
储存
| 储存条件 | 在-20℃下储存一年, 避免反复冻融. |
| 储存缓冲液 | 含0.15% ProClin300防腐剂, 100 μg/mL牛血清白蛋白和50%甘油的磷酸盐缓冲液. |
注意:
1.本产品仅供研究使用.
2.建议用一抗稀释液(G2025)稀释本产品.
| 货号 | 名称 | 规格 | 价格 | 操作 |
|---|
| 货号 | 名称 | 规格 | 价格 | 操作 |
|---|

