
Anti-CPA3 Rabbit pAb
- 50 μL
产品信息
|
蛋白质全称 |
肥大细胞羧肽酶A |
|
别名 |
Carboxypeptidase A3, MC CPA |
|
Uniprot ID |
P15089 |
|
免疫原 |
KLH偶联的小鼠CPA3合成肽 |
|
抗体亚型 |
IgG |
|
纯化方式 |
亲和纯化 |
|
亚细胞定位 |
细胞质 |
应用
| 应用 | 物种 | 稀释 | 阳性样品 |
| IHC/IF 免疫组织化学/免疫荧光 | 人, 大鼠 | 1: 800-1: 2400 | 结肠, 食道 |
| ICC/IF 免疫细胞化学/免疫荧光 | 小鼠 | 1: 100-1: 400 | NIH 3T3细胞 |
背景
Carboxypeptidase A (CPA) is a pancreatic exopeptidase which hydrolyses the peptide bond adjacent to the C-terminal end in polypeptide chains. Mast cell carboxypeptidase A (MC-CPA), a part of the peptidase M14 family, is a highly conserved metalloprotease localized to the secretory granules, along with trytases and chymases. MC-CPA is stored as an active enzyme in the granule and is released, along with other inflammatory mediators, upon mast cell degranulation. MC-CPA mirrors pancreatic carboxypeptidase A in cleaving COOH-terminal aromatic and aliphatic amino acid residues. The optimum pH of MC-CPA is between neutral and basic, depending upon the substrate. The MC-CPA gene, CPA3, resides on chromosome 3 and contains 11 exons.
图像
|
|
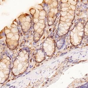
IHC检测CPA3蛋白(货号 GB114968). 样品: 大鼠结肠, 4%多聚甲醛 (货号G1101) 固定12-24小时. 抗原修复: Tris-EDTA抗原修复液(pH 9.0) (G1203), 98℃, 20分钟. —抗: 1: 800稀释, 4℃ 孵育过夜. 二抗: HRP标记山羊抗兔IgG (H+L) (货号GB23303), 1: 200稀释, 室温孵育1小时. |
|
|
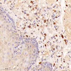
IHC检测CPA3蛋白(货号 GB114968). 样品: 人食管, 4%多聚甲醛 (货号G1101) 固定12-24小时. 抗原修复: Tris-EDTA抗原修复液(pH 9.0) (G1203), 98℃, 20分钟. —抗: 1: 800稀释, 4℃ 孵育过夜. 二抗: HRP标记山羊抗兔IgG (H+L) (货号GB23303), 1: 200稀释, 室温孵育1小时. |
|
|
ICC检测CPA3蛋白(货号 GB114968)(红色). 样品: NIH-3T3细胞, 4%多聚甲醛 (货号G1101) 固定20分钟. 封闭: 3% BSA(货号GC305010)的PBS溶液, 室温孵育30分钟. —抗: 1: 100稀释, 4℃ 孵育过夜. 二抗: Cy3标记山羊抗兔IgG (H+L) (货号GB21303), 1: 300稀释, 室温孵育1小时. |
储存
| 储存条件 | 在-20℃下储存一年, 避免反复冻融. |
| 储存缓冲液 | 含0.15% ProClin300防腐剂, 100 μg/mL牛血清白蛋白和50%甘油的磷酸盐缓冲液. |
注意:
1.本产品仅供研究使用.
2.建议用一抗稀释液(G2025)稀释本产品.
| 货号 | 名称 | 规格 | 价格 | 操作 |
|---|
| 货号 | 名称 | 规格 | 价格 | 操作 |
|---|


