
Anti-Smad2 + Smad3 Rabbit pAb
- 50 μL
产品信息
蛋白质全称 | SMAD同源蛋白2 |
别名 | MAD homolog 2, Mothers against DPP homolog 2, JV18-1, Mad-related protein 2, hMAD-2, SMAD family member 2, SMAD2, MADH2, MADR2 |
Uniprot ID | Q62432 |
免疫原 | KLH偶联的小鼠Smad2 + Smad3合成肽 |
抗体亚型 | IgG |
预测分子量./观测分子量. | 52 kDa / 52 kDa |
纯化方式 | 亲和纯化 |
亚细胞定位 | 细胞质, 细胞核 |
应用
| 应用 | 物种 | 稀释 | 阳性样品 |
| WB 免疫印迹 | 人, 小鼠, 大鼠 | 1: 500-1: 1000 | HeLa细胞, HepG2细胞, NIH 3T3细胞 |
| IHC/IF 免疫组织化学/免疫荧光 | 人, 小鼠, 大鼠 | 1: 500-1: 1500 | 肺, 卵巢, 胃, 卵巢癌 |
背景
SMAD2, also named as MADH2 and MADR2, belongs to the dwarfin/SMAD family, contains 1 MH1 (MAD homology 1) domain and 1 MH2 (MAD homology 2) domain. SMAD2 is a receptor-regulated SMAD(R-SMAD) that is an intracellular signal transducer and transcriptional modulator activated by TGF-beta (transforming growth factor) and activin type 1 receptor kinases. This protein may act as a tumor suppressor in colorectal carcinoma. It is phosphorylated on one or several of Thr-220, Ser-245, Ser-250, and Ser-255.
图像
| WB检测Smad2 + Smad3蛋白(货号 GB111844). 样品: 经RIPA裂解液(货号G2002)处理的蛋白质. 封闭: 3%脱脂牛奶(货号GC310001)溶于TBST溶液, 室温孵育1小时. —抗: 1: 500稀释, 4℃ 孵育过夜. 二抗: HRP标记山羊抗兔IgG (H+L) (货号GB23303), 1: 5000稀释, 室温孵育1小时. |
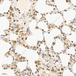
| IHC检测Smad2 + Smad3蛋白(货号 GB111844). 样品: 小鼠肺损伤, 4%多聚甲醛 (货号G1101) 固定12-24小时. 抗原修复: 柠檬酸抗原修复液(干粉, pH 6.0) (G1201), 高压锅均匀喷气计时2分钟. —抗: 1: 500稀释, 4℃ 孵育过夜. 二抗: HRP标记山羊抗兔IgG (H+L) (货号GB23303), 1: 200稀释, 室温孵育1小时. |
| IHC检测Smad2 + Smad3蛋白(货号 GB111844). 样品: 大鼠肺损伤, 4%多聚甲醛 (货号G1101) 固定12-24小时. 抗原修复: 柠檬酸抗原修复液(干粉, pH 6.0) (G1201), 高压锅均匀喷气计时2分钟. —抗: 1: 800稀释, 4℃ 孵育过夜. 二抗: HRP标记山羊抗兔IgG (H+L) (货号GB23303), 1: 200稀释, 室温孵育1小时. |
| IHC检测Smad2 + Smad3蛋白(货号 GB111844). 样品: 小鼠卵巢, 4%多聚甲醛 (货号G1101) 固定12-24小时. 抗原修复: 柠檬酸抗原修复液(干粉, pH 6.0) (G1201), 高压锅均匀喷气计时2分钟. —抗: 1: 500稀释, 4℃ 孵育过夜. 二抗: HRP标记山羊抗兔IgG (H+L) (货号GB23303), 1: 200稀释, 室温孵育1小时. |
| IHC检测Smad2 + Smad3蛋白(货号 GB111844). 样品: 大鼠卵巢, 4%多聚甲醛 (货号G1101) 固定12-24小时. 抗原修复: 柠檬酸抗原修复液(干粉, pH 6.0) (G1201), 高压锅均匀喷气计时2分钟. —抗: 1: 800稀释, 4℃ 孵育过夜. 二抗: HRP标记山羊抗兔IgG (H+L) (货号GB23303), 1: 200稀释, 室温孵育1小时. |
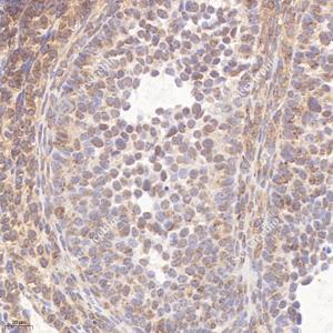
| IHC检测Smad2 + Smad3蛋白(货号 GB111844). 样品: 人胃, 4%多聚甲醛 (货号G1101) 固定12-24小时. 抗原修复: 柠檬酸抗原修复液(干粉, pH 6.0) (G1201), 高压锅均匀喷气计时2分钟. —抗: 1: 800稀释, 4℃ 孵育过夜. 二抗: HRP标记山羊抗兔IgG (H+L) (货号GB23303), 1: 200稀释, 室温孵育1小时. |
储存
| 储存条件 | 在-20℃下储存一年, 避免反复冻融. |
| 储存缓冲液 | 含0.15% ProClin300防腐剂, 100 μg/mL牛血清白蛋白和50%甘油的磷酸盐缓冲液. |
注意:
1.本产品仅供研究使用.
2.建议用一抗稀释液(G2025)稀释本产品.
| 货号 | 名称 | 规格 | 价格 | 操作 |
|---|
| 货号 | 名称 | 规格 | 价格 | 操作 |
|---|





