
Anti-SRGAP1 Rabbit pAb
- 50 μL
产品信息
|
蛋白质全称 |
SLIT-ROBO Rho GTP酶激活蛋白1 |
|
别名 |
ARHGAP13, KIAA1304, SRGAP1, Rho GTPase-activating protein 13 |
|
Uniprot ID |
Q91Z69 |
|
免疫原 |
小鼠SRGAP1重组蛋白 |
|
抗体亚型 |
IgG |
|
预测分子量./观测分子量. |
121 kDa / 121 kDa |
|
纯化方式 |
亲和纯化 |
|
亚细胞定位 |
细胞质 |
应用
| 应用 | 物种 | 稀释 | 阳性样品 |
| WB 免疫印迹 | 人 | 1: 500-1: 1000 | HepG2细胞, Jurkat细胞, 293T细胞 |
| IHC/IF 免疫组织化学/免疫荧光 | 人 | 1: 300-1: 600 | 食道癌, 结肠, 胎盘 |
背景
SRGAP1 (Slit-robo Rho GTPase activating protein 1), also known as ARHGAP13 (Rho GTPase activating protein 13), functions as a GTPase-activating protein for Cdc42 and Rho A. Expressed in kidney, testis, lung and brain, SRGAP1 contains an FCH (Fes/CIP4 homology) domain, a Rho-GAP domain and an SH3 domain. In the presence of Slit, SRGAP1 (via its SH3 domain) binds to the CC3 motif in robo (a protein responsible for mediating the repulsive effect of Slit) with higher affinity and inhibits Cdc42 activity in a robo/SRGAP-dependent manner.
图像
|
|
WB检测SRGAP1蛋白(货号 GB113414). 样品: 经RIPA裂解液(货号G2002)处理的蛋白质. 封闭: 3%脱脂牛奶(货号GC310001)溶于TBST溶液, 室温孵育1小时. —抗: 1: 1000稀释, 4℃ 孵育过夜. 二抗: HRP标记山羊抗兔IgG (H+L) (货号GB23303), 1: 5000稀释, 室温孵育1小时. |
|
|
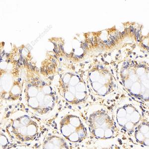
IHC检测SRGAP1蛋白(货号 GB113414). 样品: 人结肠, 4%多聚甲醛 (货号G1101) 固定12-24小时. 抗原修复: 柠檬酸抗原修复液(干粉, pH 6.0) (G1201), 98℃, 20分钟. —抗: 1: 600稀释, 4℃ 孵育过夜. 二抗: HRP标记山羊抗兔IgG (H+L) (货号GB23303), 1: 200稀释, 室温孵育1小时. |
|
|
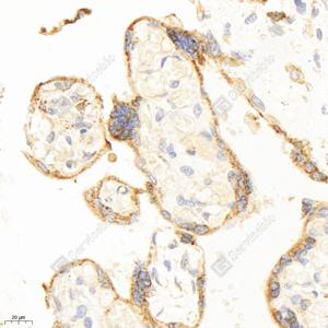
IHC检测SRGAP1蛋白(货号 GB113414). 样品: 人胎盘, 4%多聚甲醛 (货号G1101) 固定12-24小时. 抗原修复: 柠檬酸抗原修复液(干粉, pH 6.0) (G1201), 98℃, 20分钟. —抗: 1: 600稀释, 4℃ 孵育过夜. 二抗: HRP标记山羊抗兔IgG (H+L) (货号GB23303), 1: 200稀释, 室温孵育1小时. |
|
|
IHC检测SRGAP1蛋白(货号 GB113414). 样品: 人食管癌, 4%多聚甲醛 (货号G1101) 固定12-24小时. 抗原修复: 柠檬酸抗原修复液(干粉, pH 6.0) (G1201), 98℃, 20分钟. —抗: 1: 600稀释, 4℃ 孵育过夜. 二抗: HRP标记山羊抗兔IgG (H+L) (货号GB23303), 1: 200稀释, 室温孵育1小时. |
储存
| 储存条件 | 在-20℃下储存一年, 避免反复冻融. |
| 储存缓冲液 | 含0.15% ProClin300防腐剂, 100 μg/mL牛血清白蛋白和50%甘油的磷酸盐缓冲液. |
注意:
1.本产品仅供研究使用.
2.建议用一抗稀释液(G2025)稀释本产品.
| 货号 | 名称 | 规格 | 价格 | 操作 |
|---|
| 货号 | 名称 | 规格 | 价格 | 操作 |
|---|



