
Anti-RRAGB Rabbit pAb
- 100 μL
产品信息
|
蛋白质全称 |
Ras相关GTP结合蛋白B |
|
别名 |
RagB, Rragb |
|
Uniprot ID |
Q6NTA4 |
|
免疫原 |
小鼠RRAGB重组蛋白 |
|
抗体亚型 |
IgG |
|
预测分子量./观测分子量. |
43 kDa / 43 kDa |
|
纯化方式 |
亲和纯化 |
|
亚细胞定位 |
细胞质, 溶酶体 |
应用
| 应用 | 物种 | 稀释 | 阳性样品 |
| WB 免疫印迹 | 人, 小鼠, 大鼠 | 1: 500-1: 1000 | 脑, 睾丸, 心 |
| IHC/IF 免疫组织化学/免疫荧光 | 小鼠, 大鼠 | 1: 2000-1: 4000 | 结肠, 纹状体 |
背景
Guanine nucleotide-binding protein that plays a crucial role in the cellular response to amino acid availability through regulation of the mTORC1 signaling cascade. Forms heterodimeric Rag complexes with RRAGC or RRAGD and cycles between an inactive GDP-bound and an active GTP-bound form. In its active form participates in the relocalization of mTORC1 to the lysosomes and its subsequent activation by the GTPase RHEB. Involved in the RCC1/Ran-GTPase pathway.
图像
|
|
WB检测RRAGB蛋白(货号 GB113042). 样品: 经RIPA裂解液(货号G2002)处理的蛋白质. 封闭: 3%脱脂牛奶(货号GC310001)溶于TBST溶液, 室温孵育1小时. —抗: 1: 1000稀释, 4℃ 孵育过夜. 二抗: HRP标记山羊抗兔IgG (H+L) (货号GB23303), 1: 5000稀释, 室温孵育1小时. |
|
|
WB检测RRAGB蛋白(货号 GB113042). 样品: 经RIPA裂解液(货号G2002)处理的蛋白质. 封闭: 3%脱脂牛奶(货号GC310001)溶于TBST溶液, 室温孵育1小时. —抗: 1: 1000稀释, 4℃ 孵育过夜. 二抗: HRP标记山羊抗兔IgG (H+L) (货号GB23303), 1: 5000稀释, 室温孵育1小时. |
|
|
WB检测RRAGB蛋白(货号 GB113042). 样品: 经RIPA裂解液(货号G2002)处理的蛋白质. 封闭: 3%脱脂牛奶(货号GC310001)溶于TBST溶液, 室温孵育1小时. —抗: 1: 1000稀释, 4℃ 孵育过夜. 二抗: HRP标记山羊抗兔IgG (H+L) (货号GB23303), 1: 5000稀释, 室温孵育1小时. |
|
|
IHC检测RRAGB蛋白(货号 GB113042). 样品: 小鼠结肠, 4%多聚甲醛 (货号G1101) 固定12-24小时. 抗原修复: 柠檬酸抗原修复液(干粉, pH 6.0) (G1201), 98℃, 20分钟. —抗: 1: 2000稀释, 4℃ 孵育过夜. 二抗: HRP标记山羊抗兔IgG (H+L) (货号GB23303), 1: 200稀释, 室温孵育1小时. |
|
|
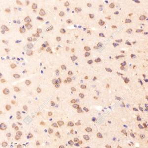
IHC检测RRAGB蛋白(货号 GB113042). 样品: 小鼠纹状体, 4%多聚甲醛 (货号G1101) 固定12-24小时. 抗原修复: 柠檬酸抗原修复液(干粉, pH 6.0) (G1201), 98℃, 20分钟. —抗: 1: 2000稀释, 4℃ 孵育过夜. 二抗: HRP标记山羊抗兔IgG (H+L) (货号GB23303), 1: 200稀释, 室温孵育1小时. |
储存
| 储存条件 | 在-20℃下储存一年, 避免反复冻融. |
| 储存缓冲液 | 含0.15% ProClin300防腐剂, 100 μg/mL牛血清白蛋白和50%甘油的磷酸盐缓冲液. |
注意:
1.本产品仅供研究使用.
2.建议用一抗稀释液(G2025)稀释本产品.
| 货号 | 名称 | 规格 | 价格 | 操作 |
|---|
| 货号 | 名称 | 规格 | 价格 | 操作 |
|---|




