
Anti-RIAM Rabbit pAb
¥0
货号:YB114246-100
品牌:YIKE
规格:
- 100 μL
数量:
产品信息
|
蛋白质全称 |
淀粉样βA4前体蛋白结合家族B成员1相互作用蛋白 |
|
别名 |
APBB1 interacting protein 1, APBB1IP, INAG1, PREL 1, PREL1, Proline rich EVH1 ligand 1, Proline rich protein 73 |
|
Uniprot ID |
Q8R5A3 |
|
免疫原 |
小鼠RIAM重组蛋白 |
|
抗体亚型 |
IgG |
|
纯化方式 |
亲和纯化 |
|
亚细胞定位 |
细胞膜, 细胞突起 |
应用
| 应用 | 物种 | 稀释 | 阳性样品 |
| IHC/IF 免疫组织化学/免疫荧光 | 小鼠 | 1: 2000-1: 4000 | 海马区 |
背景
Appears to function in the signal transduction from Ras activation to actin cytoskeletal remodeling. Suppresses insulin-induced promoter activities through AP1 and SRE. Mediates Rap1-induced adhesion (By similarity).
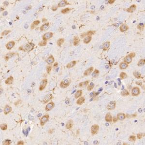
图像
|
|
IHC检测RIAM蛋白(货号 GB114235). 样品: 小鼠海马区, 4%多聚甲醛 (货号G1101) 固定12-24小时. 抗原修复: 柠檬酸抗原修复液(干粉, pH 6.0) (G1201), 98℃, 20分钟. —抗: 1: 2000稀释, 4℃ 孵育过夜. 二抗: HRP标记山羊抗兔IgG (H+L) (货号GB23303), 1: 200稀释, 室温孵育1小时. |
储存
| 储存条件 | 在-20℃下储存一年, 避免反复冻融. |
| 储存缓冲液 | 含0.15% ProClin300防腐剂, 100 μg/mL牛血清白蛋白和50%甘油的磷酸盐缓冲液. |
注意:
1.本产品仅供研究使用.
2.建议用一抗稀释液(G2025)稀释本产品.
服务推荐
| 货号 | 名称 | 规格 | 价格 | 操作 |
|---|
产品推荐
| 货号 | 名称 | 规格 | 价格 | 操作 |
|---|
