
Recombinant Anti-Cytokeratin 13 antibody (Mouse mAb)
- 50 μL
产品信息
|
蛋白质全称 |
I型细胞角蛋白13 |
|
别名 |
Krt13, KRT13, CK13, K13, WSN2, keratin 13, CK 13, Cytokeratin 13 |
|
Uniprot ID |
P13646 |
|
免疫原 |
KLH偶联的人 Cytokeratin 13合成肽 |
|
抗体亚型 |
IgG1, κ |
|
克隆号 |
SB32 |
|
纯化方式 |
亲和纯化 |
|
亚细胞定位 |
细胞核, 分泌型, 细胞质 |
应用
| 应用 | 物种 | 稀释 | 阳性样品 |
| IHC/IF 免疫组织化学/免疫荧光 | 人 | 1: 500-1: 1000 | 扁桃体, 膀胱癌 |
背景
Keratin 13 (or cytokeratin 13) is a protein encoded by the KRT13 gene. The keratins are intermediate filament proteins responsible for the structural integrity of epithelial cells and are subdivided into cytokeratins and hair keratins. Most of the type I cytokeratins consist of acidic proteins which are arranged in pairs of heterotypic keratin chains. Keratin 13 is a type I cytokeratin, it is paired with keratin 4 and found in the suprabasal layers of non-cornified stratified epithelia.
图像
|
|
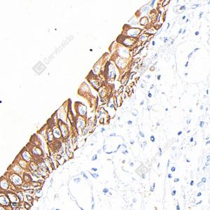
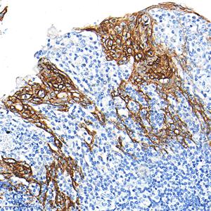
IHC检测Cytokeratin 13蛋白(货号 GB15801). 样品: 人膀胱癌, 4%多聚甲醛 (货号G1101) 固定12-24小时. 抗原修复: 柠檬酸抗原修复液(干粉, pH 6.0) (G1201), 高压锅均匀喷气计时2分钟. —抗: 1: 1000稀释, 4℃ 孵育过夜. 二抗: HRP标记山羊抗小鼠IgG (H+L) (货号GB23301), 1: 200稀释, 室温孵育1小时. |
|
|
IHC检测Cytokeratin 13蛋白(货号 GB15801). 样品: 人扁桃体, 4%多聚甲醛 (货号G1101) 固定12-24小时. 抗原修复: 柠檬酸抗原修复液(干粉, pH 6.0) (G1201), 高压锅均匀喷气计时2分钟. —抗: 1: 1000稀释, 4℃ 孵育过夜. 二抗: HRP标记山羊抗小鼠IgG (H+L) (货号GB23301), 1: 200稀释, 室温孵育1小时. |
储存
| 储存条件 | 在-20℃下储存一年, 避免反复冻融. |
| 储存缓冲液 | 含0.15% ProClin300防腐剂, 100 μg/mL牛血清白蛋白和50%甘油的磷酸盐缓冲液. |
注意:
1.本产品仅供研究使用.
2.建议用一抗稀释液(G2025)稀释本产品.
| 货号 | 名称 | 规格 | 价格 | 操作 |
|---|
| 货号 | 名称 | 规格 | 价格 | 操作 |
|---|

