
Recombinant Anti-non-muscle Myosin IIB/MYH10 antibody (Mouse mAb)
- 50 μL
产品信息
|
蛋白质全称 |
肌球蛋白-10 |
|
别名 |
Cellular myosin heavy chain, type B, Myosin heavy chain 10, Myosin heavy chain, MYH10, non-muscle IIb, NMMHC-B, NMMHC-IIB |
|
Uniprot ID |
Q61879 |
|
免疫原 |
KLH偶联的小鼠MYH10合成肽 |
|
抗体亚型 |
IgG1, κ |
|
克隆号 |
SB194 |
|
预测分子量./观测分子量. |
229 kDa / 260 kDa |
|
纯化方式 |
亲和纯化 |
|
亚细胞定位 |
细胞核, 细胞质, 分泌型 |
应用
| 应用 | 物种 | 稀释 | 阳性样品 |
| WB 免疫印迹 | 人, 小鼠, 大鼠 | 1: 500-1: 1000 | 脑, HUVEC细胞 |
| IHC/IF 免疫组织化学/免疫荧光 | 人, 小鼠, 大鼠 | 1: 250-1: 1000 | 肾 |
背景
MYH10 (non-muscle II-b, NM IIB) is a member of non-muscle myosin II which plays fundamental roles in the maintenance of cell morphology, cell adhesion, and migration, as well as cell division. MYH10 is mainly present in nerve cells, megakaryocytes, and other non-muscle cells. It has been reported to mediate centrosome reorientation during cell migration and contribute to ciliogenesis. Overexpression of MYH10 has been observed in breast cancer.
图像
|
|
WB检测non-muscle Myosin IIB/MYH10蛋白(货号 GB151186). 样品: 经RIPA裂解液(货号G2002)处理的蛋白质. 封闭: 3%脱脂牛奶(货号GC310001)溶于TBST溶液, 室温孵育1小时. —抗: 1: 1000稀释, 4℃ 孵育过夜. 二抗: HRP标记山羊抗小鼠IgG (H+L) (货号GB23301), 1: 5000稀释, 室温孵育1小时. |
|
|
WB检测non-muscle Myosin IIB/MYH10蛋白(货号 GB151186). 样品: 经RIPA裂解液(货号G2002)处理的蛋白质. 封闭: 3%脱脂牛奶(货号GC310001)溶于TBST溶液, 室温孵育1小时. —抗: 1: 1000稀释, 4℃ 孵育过夜. 二抗: HRP标记山羊抗小鼠IgG (H+L) (货号GB23301), 1: 5000稀释, 室温孵育1小时. |
|
|
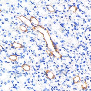
IHC检测non-muscle Myosin IIB/MYH10蛋白(货号 GB151186). 样品: 人肾, 4%多聚甲醛 (货号G1101) 固定12-24小时. 抗原修复: Tris-EDTA抗原修复液(pH 9.0) (G1203), 98℃, 20分钟. —抗: 1: 1000稀释, 4℃ 孵育过夜. 二抗: S-vision免疫组化多聚二抗(山羊抗小鼠), 即用型(货号G1301), 室温孵育20分钟. |
|
|
IHC检测non-muscle Myosin IIB/MYH10蛋白(货号 GB151186). 样品: 人肾, 4%多聚甲醛 (货号G1101) 固定12-24小时. 抗原修复: Tris-EDTA抗原修复液(pH 9.0) (G1203), 98℃, 20分钟. —抗: 1: 1000稀释, 4℃ 孵育过夜. 二抗: S-vision免疫组化多聚二抗(山羊抗小鼠), 即用型(货号G1301), 室温孵育20分钟. |
|
|
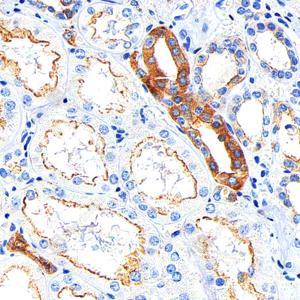
IHC检测non-muscle Myosin IIB/MYH10蛋白(货号 GB151186). 样品: 小鼠肾, 4%多聚甲醛 (货号G1101) 固定12-24小时. 抗原修复: Tris-EDTA抗原修复液(pH 9.0) (G1203), 98℃, 20分钟. —抗: 1: 1000稀释, 4℃ 孵育过夜. 二抗: S-vision免疫组化多聚二抗(山羊抗小鼠), 即用型(货号G1301), 室温孵育20分钟. |
|
|
IHC检测non-muscle Myosin IIB/MYH10蛋白(货号 GB151186). 样品: 小鼠肾, 4%多聚甲醛 (货号G1101) 固定12-24小时. 抗原修复: Tris-EDTA抗原修复液(pH 9.0) (G1203), 98℃, 20分钟. —抗: 1: 1000稀释, 4℃ 孵育过夜. 二抗: S-vision免疫组化多聚二抗(山羊抗小鼠), 即用型(货号G1301), 室温孵育20分钟. |
|
|
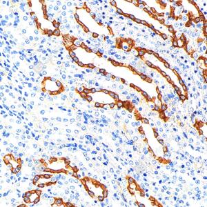
IHC检测non-muscle Myosin IIB/MYH10蛋白(货号 GB151186). 样品: 大鼠肾, 4%多聚甲醛 (货号G1101) 固定12-24小时. 抗原修复: Tris-EDTA抗原修复液(pH 9.0) (G1203), 98℃, 20分钟. —抗: 1: 1000稀释, 4℃ 孵育过夜. 二抗: S-vision免疫组化多聚二抗(山羊抗小鼠), 即用型(货号G1301), 室温孵育20分钟. |
|
|
IHC检测non-muscle Myosin IIB/MYH10蛋白(货号 GB151186). 样品: 大鼠肾, 4%多聚甲醛 (货号G1101) 固定12-24小时. 抗原修复: Tris-EDTA抗原修复液(pH 9.0) (G1203), 98℃, 20分钟. —抗: 1: 1000稀释, 4℃ 孵育过夜. 二抗: S-vision免疫组化多聚二抗(山羊抗小鼠), 即用型(货号G1301), 室温孵育20分钟. |
|
|
IHC检测non-muscle Myosin IIB/MYH10蛋白(货号 GB151186). 样品: 大鼠肾, 4%多聚甲醛 (货号G1101) 固定12-24小时. 抗原修复: Tris-EDTA抗原修复液(pH 9.0) (G1203), 98℃, 20分钟. —抗: 1: 1000稀释, 4℃ 孵育过夜. 二抗: S-vision免疫组化多聚二抗(山羊抗小鼠), 即用型(货号G1301), 室温孵育20分钟. |
|
|
IF检测non-muscle Myosin IIB/MYH10蛋白(货号 GB151186)(红色). 样品: 人肾, 4%多聚甲醛 (货号G1101) 固定12-24小时. 抗原修复: Tris-EDTA抗原修复液(pH 9.0) (G1203), 98℃, 20分钟. 封闭: 3% BSA(货号GC305010)的PBS溶液, 室温孵育30分钟. —抗: 1: 1000稀释, 4℃ 孵育过夜. 二抗: Cy3标记山羊抗小鼠IgG (H+L) (货号GB21301), 1: 300稀释, 室温孵育1小时. |
|
|
IF检测non-muscle Myosin IIB/MYH10蛋白(货号 GB151186)(红色). 样品: 人肾, 4%多聚甲醛 (货号G1101) 固定12-24小时. 抗原修复: Tris-EDTA抗原修复液(pH 9.0) (G1203), 98℃, 20分钟. 封闭: 3% BSA(货号GC305010)的PBS溶液, 室温孵育30分钟. —抗: 1: 1000稀释, 4℃ 孵育过夜. 二抗: Cy3标记山羊抗小鼠IgG (H+L) (货号GB21301), 1: 300稀释, 室温孵育1小时. |
|
|
IF检测non-muscle Myosin IIB/MYH10蛋白(货号 GB151186)(红色). 样品: 人肾, 4%多聚甲醛 (货号G1101) 固定12-24小时. 抗原修复: Tris-EDTA抗原修复液(pH 9.0) (G1203), 98℃, 20分钟. 封闭: 3% BSA(货号GC305010)的PBS溶液, 室温孵育30分钟. —抗: 1: 1000稀释, 4℃ 孵育过夜. 二抗: Cy3标记山羊抗小鼠IgG (H+L) (货号GB21301), 1: 300稀释, 室温孵育1小时. |
|
|
IF检测non-muscle Myosin IIB/MYH10蛋白(货号 GB151186)(红色). 样品: 人肾, 4%多聚甲醛 (货号G1101) 固定12-24小时. 抗原修复: Tris-EDTA抗原修复液(pH 9.0) (G1203), 98℃, 20分钟. 封闭: 3% BSA(货号GC305010)的PBS溶液, 室温孵育30分钟. —抗: 1: 1000稀释, 4℃ 孵育过夜. 二抗: Cy3标记山羊抗小鼠IgG (H+L) (货号GB21301), 1: 300稀释, 室温孵育1小时. |
|
|
IF检测non-muscle Myosin IIB/MYH10蛋白(货号 GB151186)(红色). 样品: 小鼠小脑, 4%多聚甲醛 (货号G1101) 固定12-24小时. 抗原修复: Tris-EDTA抗原修复液(pH 9.0) (G1203), 98℃, 20分钟. 封闭: 3% BSA(货号GC305010)的PBS溶液, 室温孵育30分钟. —抗: 1: 1000稀释, 4℃ 孵育过夜. 二抗: Cy3标记山羊抗小鼠IgG (H+L) (货号GB21301), 1: 300稀释, 室温孵育1小时. |
|
|
IF检测non-muscle Myosin IIB/MYH10蛋白(货号 GB151186)(红色). 样品: 小鼠肾, 4%多聚甲醛 (货号G1101) 固定12-24小时. 抗原修复: Tris-EDTA抗原修复液(pH 9.0) (G1203), 98℃, 20分钟. 封闭: 3% BSA(货号GC305010)的PBS溶液, 室温孵育30分钟. —抗: 1: 1000稀释, 4℃ 孵育过夜. 二抗: Cy3标记山羊抗小鼠IgG (H+L) (货号GB21301), 1: 300稀释, 室温孵育1小时. |
|
|
IF检测non-muscle Myosin IIB/MYH10蛋白(货号 GB151186)(红色). 样品: 大鼠小脑, 4%多聚甲醛 (货号G1101) 固定12-24小时. 抗原修复: Tris-EDTA抗原修复液(pH 9.0) (G1203), 98℃, 20分钟. 封闭: 3% BSA(货号GC305010)的PBS溶液, 室温孵育30分钟. —抗: 1: 1000稀释, 4℃ 孵育过夜. 二抗: Cy3标记山羊抗小鼠IgG (H+L) (货号GB21301), 1: 300稀释, 室温孵育1小时. |
|
|
IF检测non-muscle Myosin IIB/MYH10蛋白(货号 GB151186)(红色). 样品: 大鼠肾, 4%多聚甲醛 (货号G1101) 固定12-24小时. 抗原修复: Tris-EDTA抗原修复液(pH 9.0) (G1203), 98℃, 20分钟. 封闭: 3% BSA(货号GC305010)的PBS溶液, 室温孵育30分钟. —抗: 1: 1000稀释, 4℃ 孵育过夜. 二抗: Cy3标记山羊抗小鼠IgG (H+L) (货号GB21301), 1: 300稀释, 室温孵育1小时. |
储存
| 储存条件 | 在-20℃下储存一年, 避免反复冻融. |
| 储存缓冲液 | 含0.15% ProClin300防腐剂, 100 μg/mL牛血清白蛋白和50%甘油的磷酸盐缓冲液. |
注意:
1.本产品仅供研究使用.
2.建议用一抗稀释液(G2025)稀释本产品.
| 货号 | 名称 | 规格 | 价格 | 操作 |
|---|
| 货号 | 名称 | 规格 | 价格 | 操作 |
|---|
















