
Recombinant Anti-Cytokeratin 1 antibody (Mouse mAb)
- 50 μL
产品信息
蛋白质全称 | II型细胞角蛋白1 |
别名 | 67 kDa cytokeratin, Cytokeratin-1, Keratin-1, CK-1, K1, Type-II keratin Kb1, Krt1, Krt2-1, EHK1, Keratin type II cytoskeletal 1 |
Uniprot ID | P04104 |
免疫原 | KLH偶联的小鼠Cytokeratin 1合成肽 |
抗体亚型 | IgG, κ |
克隆号 | SB670 6B5E12 |
纯化方式 | 亲和纯化 |
亚细胞定位 | 细胞膜, 细胞质 |
应用
| 应用 | 物种 | 稀释 | 阳性样品 |
| IHC/IF 免疫组织化学/免疫荧光 | 人, 小鼠, 大鼠 | 1: 500-1: 1500 | 食管, 肺鳞状细胞癌, 宫颈癌 |
背景
Cytokeratin 1 is a heterotetramer of two type I as well as two type II keratins localized in the cell membrane and is generally associated with keratin-10 . It has been suggested to regulate the activity of kinases such as PKC/SRC via binding to integrin beta-1 and the receptor of activated protein kinase C. Cytokeratin 1 and its heterodimer partner KRT10 are the major constituents of 4 intermediate filament cytoskeleton in suprabasal epidermis/keratinocytes, and their upregulation precedes expression of filaggrin and cornified envelope proteins.
图像
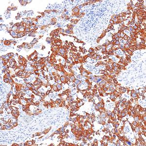
| IHC检测Cytokeratin 1蛋白(货号 GB150183). 样品: 人宫颈癌, 4%多聚甲醛 (货号G1101) 固定12-24小时. 抗原修复: 抗原修复仪(货号 ARI-4),柠檬酸抗原修复液(干粉, pH 6.0) (G1201), 100℃, 25分钟. —抗: 1: 1000稀释, 4℃ 孵育过夜. 二抗: S-vision免疫组化多聚二抗(山羊抗小鼠), 即用型(货号G1301), 室温孵育20分钟. |
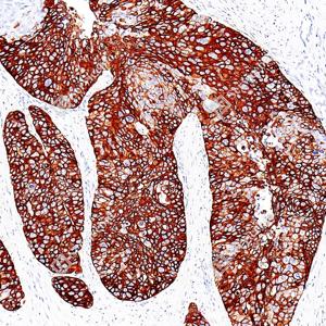
| IHC检测Cytokeratin 1蛋白(货号 GB150183). 样品: 人食管鳞状细胞癌, 4%多聚甲醛 (货号G1101) 固定12-24小时. 抗原修复: 抗原修复仪(货号 ARI-4),柠檬酸抗原修复液(干粉, pH 6.0) (G1201), 100℃, 25分钟. —抗: 1: 1000稀释, 4℃ 孵育过夜. 二抗: S-vision免疫组化多聚二抗(山羊抗小鼠), 即用型(货号G1301), 室温孵育20分钟. |
| IHC检测Cytokeratin 1蛋白(货号 GB150183). 样品: 人食管鳞状细胞癌, 4%多聚甲醛 (货号G1101) 固定12-24小时. 抗原修复: 抗原修复仪(货号 ARI-4),柠檬酸抗原修复液(干粉, pH 6.0) (G1201), 100℃, 25分钟. —抗: 1: 1000稀释, 4℃ 孵育过夜. 二抗: S-vision免疫组化多聚二抗(山羊抗小鼠), 即用型(货号G1301), 室温孵育20分钟. |
| IHC检测Cytokeratin 1蛋白(货号 GB150183). 样品: 小鼠皮肤, 4%多聚甲醛 (货号G1101) 固定12-24小时. 抗原修复: 抗原修复仪(货号 ARI-4),柠檬酸抗原修复液(干粉, pH 6.0) (G1201), 100℃, 25分钟. —抗: 1: 1000稀释, 4℃ 孵育过夜. 二抗: S-vision免疫组化多聚二抗(山羊抗小鼠), 即用型(货号G1301), 室温孵育20分钟. |
| IHC检测Cytokeratin 1蛋白(货号 GB150183). 样品: 小鼠膀胱, 4%多聚甲醛 (货号G1101) 固定12-24小时. 抗原修复: 抗原修复仪(货号 ARI-4),柠檬酸抗原修复液(干粉, pH 6.0) (G1201), 100℃, 25分钟. —抗: 1: 1000稀释, 4℃ 孵育过夜. 二抗: S-vision免疫组化多聚二抗(山羊抗小鼠), 即用型(货号G1301), 室温孵育20分钟. |
| IHC检测Cytokeratin 1蛋白(货号 GB150183). 样品: 大鼠膀胱, 4%多聚甲醛 (货号G1101) 固定12-24小时. 抗原修复: 抗原修复仪(货号 ARI-4),柠檬酸抗原修复液(干粉, pH 6.0) (G1201), 100℃, 25分钟. —抗: 1: 1000稀释, 4℃ 孵育过夜. 二抗: S-vision免疫组化多聚二抗(山羊抗小鼠), 即用型(货号G1301), 室温孵育20分钟. |
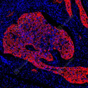
| IF检测Cytokeratin 1蛋白(货号 GB150183)(红色). 样品: 人宫颈癌, 4%多聚甲醛 (货号G1101) 固定12-24小时. 抗原修复: 抗原修复仪(货号 ARI-4),柠檬酸抗原修复液(干粉, pH 6.0) (G1201), 100℃, 25分钟. 封闭: 3% BSA(货号GC305010)的PBS溶液, 室温孵育30分钟. —抗: 1: 1000稀释, 4℃ 孵育过夜. 二抗: Cy3标记山羊抗小鼠IgG (H+L) (货号GB21301), 1: 300稀释, 室温孵育1小时. |
| IF检测Cytokeratin 1蛋白(货号 GB150183)(红色). 样品: 人肺鳞癌, 4%多聚甲醛 (货号G1101) 固定12-24小时. 抗原修复: 抗原修复仪(货号 ARI-4),柠檬酸抗原修复液(干粉, pH 6.0) (G1201), 100℃, 25分钟. 封闭: 3% BSA(货号GC305010)的PBS溶液, 室温孵育30分钟. —抗: 1: 1000稀释, 4℃ 孵育过夜. 二抗: Cy3标记山羊抗小鼠IgG (H+L) (货号GB21301), 1: 300稀释, 室温孵育1小时. |
储存
| 储存条件 | 在-20℃下储存一年, 避免反复冻融. |
| 储存缓冲液 | 含0.15% ProClin300防腐剂, 100 μg/mL牛血清白蛋白和50%甘油的磷酸盐缓冲液. |
注意:
1.本产品仅供研究使用.
2.建议用一抗稀释液(G2025)稀释本产品.
| 货号 | 名称 | 规格 | 价格 | 操作 |
|---|
| 货号 | 名称 | 规格 | 价格 | 操作 |
|---|







