
Recombinant Anti-AMACR antibody (Rabbit mAb)
- 100 μL
产品信息
|
蛋白质全称 |
α-甲基酰基辅酶A消旋酶 |
|
别名 |
2 methylacyl CoA racemase, alpha methylacyl CoA racemase, AMACR, CBAS4, p504S, RACE |
|
Uniprot ID |
Q9UHK6 |
|
免疫原 |
KLH偶联的人AMACR合成肽 |
|
抗体亚型 |
IgG, κ |
|
克隆号 |
SB397 |
|
预测分子量./观测分子量. |
42 kDa / 42 kDa |
|
纯化方式 |
亲和纯化 |
|
亚细胞定位 |
线粒体, 过氧化物酶体 |
应用
| 应用 | 物种 | 稀释 | 阳性样品 |
| WB 免疫印迹 | 人 | 1: 1000-1: 2000 | Caco-2细胞 |
| IHC/IF 免疫组织化学/免疫荧光 | 人 | 1: 200-1: 400 | 肝, 肾 |
背景
AMACR(Alpha-methylacyl-CoA racemase) belongs to the CaiB/BaiF CoA-transferase family. It is a mitochondrial and peroxisomal enzyme that catalyzes the conversion of 2R stereoisomers of phytanic and pristanic acid to their S counterparts. AMACR has previously been shown to be a highly sensitive marker for colorectal and clinically localized prostate cancer (PCa). However, AMACR expression is down-regulated at the transcript and protein level in hormone-refractory metastatic PCa, suggesting a hormone-dependent expression of AMACR. Defects in AMACR are the cause of alpha-methylacyl-CoA racemase deficiency (AMACRD) and congenital bile acid synthesis defect type 4 (CBAS4).
图像
|
|
WB检测AMACR蛋白(货号 GB153306). 样品: 经RIPA裂解液(货号G2002)处理的蛋白质. 封闭: 3%脱脂牛奶(货号GC310001)溶于TBST溶液, 室温孵育1小时. —抗: 1: 2000稀释, 4℃ 孵育过夜. 二抗: HRP标记山羊抗兔IgG (H+L) (货号GB23303), 1: 5000稀释, 室温孵育1小时. |
|
|
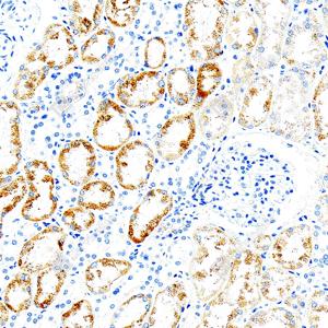
IHC检测AMACR蛋白(货号 GB153306). 样品: 人肾, 4%多聚甲醛 (货号G1101) 固定12-24小时. 抗原修复: 柠檬酸抗原修复液 (干粉, pH 6.0) (G1201), 高压锅均匀喷气计时2分钟. —抗: 1: 200稀释, 4℃ 孵育过夜. 二抗: S-vision免疫组化多聚二抗(山羊抗兔),即用型 (货号G1302), 室温孵育20分钟. |
|
|
IHC检测AMACR蛋白(货号 GB153306). 样品: 人肾, 4%多聚甲醛 (货号G1101) 固定12-24小时. 抗原修复: 柠檬酸抗原修复液 (干粉, pH 6.0) (G1201), 高压锅均匀喷气计时2分钟. —抗: 1: 200稀释, 4℃ 孵育过夜. 二抗: S-vision免疫组化多聚二抗(山羊抗兔),即用型 (货号G1302), 室温孵育20分钟. |
|
|
IHC检测AMACR蛋白(货号 GB153306). 样品: 人肝, 4%多聚甲醛 (货号G1101) 固定12-24小时. 抗原修复: 柠檬酸抗原修复液 (干粉, pH 6.0) (G1201), 高压锅均匀喷气计时2分钟. —抗: 1: 200稀释, 4℃ 孵育过夜. 二抗: S-vision免疫组化多聚二抗(山羊抗兔),即用型 (货号G1302), 室温孵育20分钟. |
|
|
IF检测AMACR蛋白(货号 GB153306)(绿色). 样品: 人肝, 4%多聚甲醛 (货号G1101) 固定12-24小时. 抗原修复: 柠檬酸抗原修复液 (干粉, pH 6.0) (G1201), 高压锅均匀喷气计时2分钟. —抗: 1: 200稀释, 4℃ 孵育过夜. 二抗: Alexa Fluor 488标记山羊抗兔IgG (H+L) (货号GB25303), 1: 400稀释, 室温孵育1小时. |
|
|
IF检测 AMACR蛋白(货号 GB153306)(绿色). 样品: 人肝, 4%多聚甲醛 (货号G1101) 固定12-24小时. 抗原修复: 柠檬酸抗原修复液 (干粉, pH 6.0) (G1201), 高压锅均匀喷气计时2分钟. —抗: 1: 200稀释, 4℃ 孵育过夜. 二抗: Alexa Fluor 488标记山羊抗兔IgG (H+L) (货号GB25303), 1: 400稀释, 室温孵育1小时. |
储存
| 储存条件 | 在-20℃下储存一年, 避免反复冻融. |
| 储存缓冲液 | 含0.15% ProClin300防腐剂, 100 μg/mL牛血清白蛋白和50%甘油的磷酸盐缓冲液. |
注意:
1.本产品仅供研究使用.
2.建议用一抗稀释液(G2025)稀释本产品.
| 货号 | 名称 | 规格 | 价格 | 操作 |
|---|
| 货号 | 名称 | 规格 | 价格 | 操作 |
|---|





