
Anti-SLUG Rabbit pAb
- 100 μL
产品信息
|
蛋白质全称 |
锌指蛋白SNAI2 |
|
别名 |
Protein snail homolog 2, SLUG, SLUGH, SLUGH1, SNAI2, snail homolog 2 (Drosophila), WS2D |
|
Uniprot ID |
O43623 |
|
免疫原 |
人slug重组蛋白 |
|
抗体亚型 |
IgG |
|
预测分子量./观测分子量. |
30 kDa / 30 kDa |
|
纯化方式 |
亲和纯化 |
|
亚细胞定位 |
细胞质, 细胞核 |
应用
| 应用 | 物种 | 稀释 | 阳性样品 |
| WB 免疫印迹 | 小鼠 | 1: 300-1: 600 | 心, 脑 |
| IHC/IF 免疫组织化学/免疫荧光 | 小鼠 | 1: 1000-1: 2000 | 皮肤, 睾丸 |
背景
SNAI2 belongs to the Snail family of zinc finger transcription factors, which shares an evolutionarily conserved role in mesoderm formation in vertebrates and invertebrates. It tiggers epithelial-mesenchymal transitions and has a crucial role in developmental processes. Also it is a transcriptional reperssor in mediating RAF-induced expression of TJ protein, occludin(OCLN) and subsequent oncogenic transformation of epithelial cells.
图像
|
|
WB检测SLUG蛋白(货号 GB115172). 样品: 经RIPA裂解液(货号G2002)处理的蛋白质. 封闭: 3%脱脂牛奶(货号GC310001)溶于TBST溶液, 室温孵育1小时. —抗: 1: 600稀释, 4℃ 孵育过夜. 二抗: HRP标记山羊抗兔IgG (H+L) (货号GB23303), 1: 5000稀释, 室温孵育1小时. |
|
|
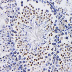
IHC检测SLUG蛋白(货号 GB115172). 样品: 小鼠睾丸, 4%多聚甲醛 (货号G1101) 固定12-24小时. 抗原修复: 柠檬酸抗原修复液(干粉, pH 6.0) (G1201), 98℃, 20分钟. —抗: 1: 1000稀释, 4℃ 孵育过夜. 二抗: HRP标记山羊抗兔IgG (H+L) (货号GB23303), 1: 200稀释, 室温孵育1小时. |
|
|
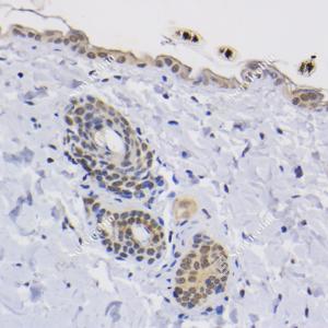
IHC检测SLUG蛋白(货号 GB115172). 样品: 小鼠皮肤, 4%多聚甲醛 (货号G1101) 固定12-24小时. 抗原修复: 柠檬酸抗原修复液(干粉, pH 6.0) (G1201), 98℃, 20分钟. —抗: 1: 1000稀释, 4℃ 孵育过夜. 二抗: HRP标记山羊抗兔IgG (H+L) (货号GB23303), 1: 200稀释, 室温孵育1小时. |
|
|
IF检测SLUG蛋白(货号 GB115172)(红色). 样品: 小鼠皮肤, 4%多聚甲醛 (货号G1101) 固定12-24小时. 抗原修复: Tris-EDTA抗原修复液(pH 9.0) (G1203), 98℃, 20分钟. 封闭: 3% BSA(货号GC305010)的PBS溶液, 室温孵育30分钟. —抗: 1: 500稀释, 4℃ 孵育过夜. 二抗: Cy3标记山羊抗兔IgG (H+L) (货号GB21303), 1: 300稀释, 室温孵育1小时. |
储存
| 储存条件 | 在-20℃下储存一年, 避免反复冻融. |
| 储存缓冲液 | 含0.15% ProClin300防腐剂, 100 μg/mL牛血清白蛋白和50%甘油的磷酸盐缓冲液. |
注意:
1.本产品仅供研究使用.
2.建议用一抗稀释液(G2025)稀释本产品.
| 货号 | 名称 | 规格 | 价格 | 操作 |
|---|
| 货号 | 名称 | 规格 | 价格 | 操作 |
|---|



