
Anti-Claudin18.2 Mouse mAb
¥1650
货号:YB12078-100
品牌:YIKE
规格:
- 100 μL
数量:
产品信息
|
蛋白质全称 |
紧密连接蛋白18 |
|
别名 |
claudin 18, CLDN18, SFTA5, SFTPJ |
|
Uniprot ID |
P56856-2 |
|
免疫原 |
人claudin18.2重组蛋白 |
|
抗体亚型 |
IgG2a, κ |
|
克隆号 |
4B3F7 |
|
纯化方式 |
亲和纯化 |
|
亚细胞定位 |
细胞膜 |
应用
| 应用 | 物种 | 稀释 | 阳性样品 |
| IHC/IF 免疫组织化学/免疫荧光 | 人, 大鼠 | 1: 500-1: 1000 | 胃, 胃癌 |
背景
Plays a major role in tight junction-specific obliteration of the intercellular space, through calcium-independent cell-adhesion activity.
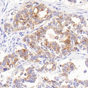
图像
|
|
IHC检测Claudin18. 2蛋白(货号 GB12067). 样品: 大鼠胃, 4%多聚甲醛 (货号G1101) 固定12-24小时. 抗原修复: 柠檬酸抗原修复液(干粉, pH 6.0) (G1201), 高压锅均匀喷气计时2分钟. —抗: 1: 1000稀释, 4℃ 孵育过夜. 二抗: HRP标记山羊抗小鼠IgG (H+L) (货号GB23301), 1: 200稀释, 室温孵育1小时. |
|
|
IHC检测Claudin18. 2蛋白(货号 GB12067). 样品: 人胃, 4%多聚甲醛 (货号G1101) 固定12-24小时. 抗原修复: 柠檬酸抗原修复液(干粉, pH 6.0) (G1201), 高压锅均匀喷气计时2分钟. —抗: 1: 1000稀释, 4℃ 孵育过夜. 二抗: HRP标记山羊抗小鼠IgG (H+L) (货号GB23301), 1: 200稀释, 室温孵育1小时. |
|
|
IHC检测Claudin18. 2蛋白(货号 GB12067). 样品: 人胃癌, 4%多聚甲醛 (货号G1101) 固定12-24小时. 抗原修复: 柠檬酸抗原修复液(干粉, pH 6.0) (G1201), 高压锅均匀喷气计时2分钟. —抗: 1: 500稀释, 4℃ 孵育过夜. 二抗: HRP标记山羊抗小鼠IgG (H+L) (货号GB23301), 1: 200稀释, 室温孵育1小时. |
储存
| 储存条件 | 在-20℃下储存一年, 避免反复冻融. |
| 储存缓冲液 | 含0.15% ProClin300防腐剂, 100 μg/mL牛血清白蛋白和50%甘油的磷酸盐缓冲液. |
注意:
1.本产品仅供研究使用.
2.建议用一抗稀释液(G2025)稀释本产品.
服务推荐
| 货号 | 名称 | 规格 | 价格 | 操作 |
|---|
产品推荐
| 货号 | 名称 | 规格 | 价格 | 操作 |
|---|


