
Recombinant Anti-Cytokeratin 6 antibody (Mouse mAb)
¥1650
货号:YB15811-100
品牌:YIKE
规格:
- 100 μL
数量:
产品信息
蛋白质全称 | II型细胞角蛋白6A |
别名 | CK-6A, CK 6D, CK6A, CK6C, CK6D, Cytokeratin 6A, Cytokeratin 6D, Hom s 5, K6A, K6C, K6D, keratin 6A, KRT conserve, KRT6, KRT6A, KRT6C, KRT6D, Type II keratin Kb6 |
Uniprot ID | P50446 |
免疫原 | 小鼠Cytokeratin 6a重组蛋白 |
抗体亚型 | IgG1, κ |
克隆号 | SB114 |
纯化方式 | 亲和纯化 |
亚细胞定位 | 细胞质 |
应用
| 应用 | 物种 | 稀释 | 阳性样品 |
| IHC/IF 免疫组织化学/免疫荧光 | 小鼠, 大鼠 | 1: 500-1: 1000 | 皮肤 |
背景
Epidermis-specific type I keratin involved in wound healing. Involved in the activation of follicular keratinocytes after wounding, while it does not play a major role in keratinocyte proliferation or migration. Participates in the regulation of epithelial migration by inhibiting the activity of SRC during wound repair.
图像
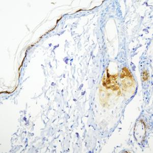
| IHC检测Cytokeratin 6蛋白(货号 GB15800). 样品: 小鼠皮肤, 4%多聚甲醛 (货号G1101) 固定12-24小时. 抗原修复: 柠檬酸抗原修复液(干粉, pH 6.0) (G1201), 高压锅均匀喷气计时2分钟. —抗: 1: 500稀释, 4℃ 孵育过夜. 二抗: HRP标记山羊抗小鼠IgG (H+L) (货号GB23301), 1: 200稀释, 室温孵育1小时. |
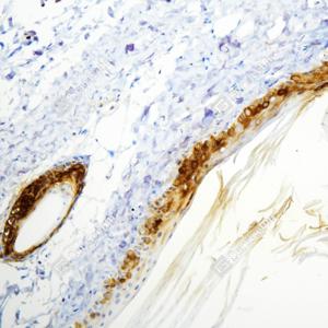
| IHC检测Cytokeratin 6蛋白(货号 GB15800). 样品: 大鼠皮肤, 4%多聚甲醛 (货号G1101) 固定12-24小时. 抗原修复: 柠檬酸抗原修复液(干粉, pH 6.0) (G1201), 高压锅均匀喷气计时2分钟. —抗: 1: 500稀释, 4℃ 孵育过夜. 二抗: HRP标记山羊抗小鼠IgG (H+L) (货号GB23301), 1: 200稀释, 室温孵育1小时. |
储存
| 储存条件 | 在-20℃下储存一年, 避免反复冻融. |
| 储存缓冲液 | 含0.15% ProClin300防腐剂, 100 μg/mL牛血清白蛋白和50%甘油的磷酸盐缓冲液. |
注意:
1.本产品仅供研究使用.
2.建议用一抗稀释液(G2025)稀释本产品.
服务推荐
| 货号 | 名称 | 规格 | 价格 | 操作 |
|---|
产品推荐
| 货号 | 名称 | 规格 | 价格 | 操作 |
|---|

