
Recombinant Anti-p63 antibody (Rabbit mAb)
- 100 μL
产品信息
|
蛋白质全称 |
肿瘤蛋白63 |
|
别名 |
TP63, AIS, B(p51A), B(p51B), EEC3, KET, LMS, NBP, OFC8, RHS, SHFM4, TP53CP, TP53L, TP73L, p40, p51, p53CP, p63, p73H p73L |
|
Uniprot ID |
Q9H3D4 |
|
免疫原 |
人p63重组蛋白 |
|
抗体亚型 |
IgG |
|
克隆号 |
SB390 |
|
预测分子量./观测分子量. |
77 kDa / 60-75 kDa |
|
纯化方式 |
亲和纯化 |
|
亚细胞定位 |
细胞核 |
应用
| 应用 | 物种 | 稀释 | 阳性样品 |
| WB 免疫印迹 | 人, 小鼠, 大鼠 | 1: 500-1: 1000 | A431细胞 |
| IHC/IF 免疫组织化学/免疫荧光 | 人, 小鼠, 大鼠 | 1: 3000-1: 6000 | 气管, 扁桃体, 胎盘 |
背景
Acts as a sequence specific DNA binding transcriptional activator or repressor. The isoforms contain a varying set of transactivation and auto-regulating transactivation inhibiting domains thus showing an isoform specific activity. May be required in conjunction with TP73/p73 for initiation of p53/TP53 dependent apoptosis in response to genotoxic insults and the presence of activated oncogenes. Involved in Notch signaling by probably inducing JAG1 and JAG2.
图像
|
|
WB检测p63蛋白(货号 GB150065). 样品: 经RIPA裂解液(货号G2002)处理的蛋白质. 封闭: 3%脱脂牛奶(货号GC310001)溶于TBST溶液, 室温孵育1小时. —抗: 1: 500稀释, 4℃ 孵育过夜. 二抗: HRP标记山羊抗兔IgG (H+L) (货号GB23303), 1: 5000稀释, 室温孵育1小时. |
|
|
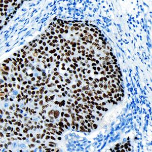
IHC检测p63蛋白(货号 GB150065). 样品: 人食道癌, 4%多聚甲醛 (货号G1101) 固定12-24小时. 抗原修复: 柠檬酸抗原修复液 (干粉, pH 6.0) (G1201), 高压锅均匀喷气计时2分钟. —抗: 1: 3000稀释, 4℃ 孵育过夜. 二抗: S-vision免疫组化多聚二抗(山羊抗兔),即用型 (货号G1302), 室温孵育20分钟. |
|
|
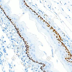
IHC检测p63蛋白(货号 GB150065). 样品: 小鼠呼吸道, 4%多聚甲醛 (货号G1101) 固定12-24小时. 抗原修复: 柠檬酸抗原修复液 (干粉, pH 6.0) (G1201), 高压锅均匀喷气计时2分钟. —抗: 1: 3000稀释, 4℃ 孵育过夜. 二抗: S-vision免疫组化多聚二抗(山羊抗兔),即用型 (货号G1302), 室温孵育20分钟. |
|
|
IHC检测p63蛋白(货号 GB150065). 样品: 小鼠胚胎, 4%多聚甲醛 (货号G1101) 固定12-24小时. 抗原修复: 柠檬酸抗原修复液 (干粉, pH 6.0) (G1201), 高压锅均匀喷气计时2分钟. —抗: 1: 3000稀释, 4℃ 孵育过夜. 二抗: S-vision免疫组化多聚二抗(山羊抗兔),即用型 (货号G1302), 室温孵育20分钟. |
|
|
IHC检测p63蛋白(货号 GB150065). 样品: 大鼠呼吸道, 4%多聚甲醛 (货号G1101) 固定12-24小时. 抗原修复: 柠檬酸抗原修复液 (干粉, pH 6.0) (G1201), 高压锅均匀喷气计时2分钟. —抗: 1: 3000稀释, 4℃ 孵育过夜. 二抗: S-vision免疫组化多聚二抗(山羊抗兔),即用型 (货号G1302), 室温孵育20分钟. |
|
|
IHC检测p63蛋白(货号 GB150065). 样品: 人食管癌, 4%多聚甲醛 (货号G1101) 固定12-24小时. 抗原修复: 柠檬酸抗原修复液 (干粉, pH 6.0) (G1201), 高压锅均匀喷气计时2分钟. —抗: 1: 5000稀释, 4℃ 孵育过夜. 二抗: S-vision免疫组化多聚二抗(山羊抗兔),即用型 (货号G1302), 室温孵育20分钟. |
|
|
IHC检测p63蛋白(货号 GB150065). 样品: 人食管癌, 4%多聚甲醛 (货号G1101) 固定12-24小时. 抗原修复: 柠檬酸抗原修复液 (干粉, pH 6.0) (G1201), 高压锅均匀喷气计时2分钟. —抗: 1: 5000稀释, 4℃ 孵育过夜. 二抗: S-vision免疫组化多聚二抗(山羊抗兔),即用型 (货号G1302), 室温孵育20分钟. |
|
|
IHC检测 p63蛋白(货号 GB150065). 样品: 人扁桃体, 4%多聚甲醛 (货号G1101) 固定12-24小时. 抗原修复: 柠檬酸抗原修复液 (干粉, pH 6.0) (G1201), 高压锅均匀喷气计时2分钟. —抗: 1: 5000稀释, 4℃ 孵育过夜. 二抗: S-vision免疫组化多聚二抗(山羊抗兔),即用型 (货号G1302), 室温孵育20分钟. |
|
|
IHC检测 p63蛋白(货号 GB150065). 样品: 人扁桃体, 4%多聚甲醛 (货号G1101) 固定12-24小时. 抗原修复: 柠檬酸抗原修复液 (干粉, pH 6.0) (G1201), 高压锅均匀喷气计时2分钟. —抗: 1: 5000稀释, 4℃ 孵育过夜. 二抗: S-vision免疫组化多聚二抗(山羊抗兔),即用型 (货号G1302), 室温孵育20分钟. |
|
|
IHC检测 p63蛋白(货号 GB150065). 样品: 大鼠食管, 4%多聚甲醛 (货号G1101) 固定12-24小时. 抗原修复: 柠檬酸抗原修复液 (干粉, pH 6.0) (G1201), 高压锅均匀喷气计时2分钟. —抗: 1: 5000稀释, 4℃ 孵育过夜. 二抗: S-vision免疫组化多聚二抗(山羊抗兔),即用型 (货号G1302), 室温孵育20分钟. |
|
|
IHC检测 p63蛋白(货号 GB150065). 样品: 大鼠胎盘, 4%多聚甲醛 (货号G1101) 固定12-24小时. 抗原修复: 柠檬酸抗原修复液 (干粉, pH 6.0) (G1201), 高压锅均匀喷气计时2分钟. —抗: 1: 5000稀释, 4℃ 孵育过夜. 二抗: S-vision免疫组化多聚二抗(山羊抗兔),即用型 (货号G1302), 室温孵育20分钟. |
|
|
IF检测p63蛋白(货号 GB150065)(红色). 样品: 人食管, 4%多聚甲醛 (货号G1101) 固定12-24小时. 抗原修复: 柠檬酸抗原修复液 (干粉, pH 6.0) (G1201), 高压锅均匀喷气计时2分钟. —抗: 1: 5000稀释, 4℃ 孵育过夜. 二抗: Cy3标记山羊抗兔IgG (H+L) (货号GB21303), 1: 300稀释, 室温孵育1小时. |
|
|
IF检测p63蛋白(货号 GB150065)(红色). 样品: 人扁桃体, 4%多聚甲醛 (货号G1101) 固定12-24小时. 抗原修复: 柠檬酸抗原修复液 (干粉, pH 6.0) (G1201), 高压锅均匀喷气计时2分钟. —抗: 1: 5000稀释, 4℃ 孵育过夜. 二抗: Cy3标记山羊抗兔IgG (H+L) (货号GB21303), 1: 300稀释, 室温孵育1小时. |
|
|
IF检测p63蛋白(货号 GB150065)(红色). 样品: 小鼠食管, 4%多聚甲醛 (货号G1101) 固定12-24小时. 抗原修复: 柠檬酸抗原修复液 (干粉, pH 6.0) (G1201), 高压锅均匀喷气计时2分钟. —抗: 1: 5000稀释, 4℃ 孵育过夜. 二抗: Cy3标记山羊抗兔IgG (H+L) (货号GB21303), 1: 300稀释, 室温孵育1小时. |
|
|
IF检测p63蛋白(货号 GB150065)(红色). 样品: 小鼠胎盘, 4%多聚甲醛 (货号G1101) 固定12-24小时. 抗原修复: 柠檬酸抗原修复液 (干粉, pH 6.0) (G1201), 高压锅均匀喷气计时2分钟. —抗: 1: 5000稀释, 4℃ 孵育过夜. 二抗: Cy3标记山羊抗兔IgG (H+L) (货号GB21303), 1: 300稀释, 室温孵育1小时. |
|
|
IF检测p63蛋白(货号 GB150065)(红色). 样品: 大鼠胎盘, 4%多聚甲醛 (货号G1101) 固定12-24小时. 抗原修复: 柠檬酸抗原修复液 (干粉, pH 6.0) (G1201), 高压锅均匀喷气计时2分钟. —抗: 1: 5000稀释, 4℃ 孵育过夜. 二抗: Cy3标记山羊抗兔IgG (H+L) (货号GB21303), 1: 300稀释, 室温孵育1小时. |
储存
| 储存条件 | 在-20℃下储存一年, 避免反复冻融. |
| 储存缓冲液 | 含0.15% ProClin300防腐剂, 100 μg/mL牛血清白蛋白和50%甘油的磷酸盐缓冲液. |
注意:
1.本产品仅供研究使用.
2.建议用一抗稀释液(G2025)稀释本产品.
| 货号 | 名称 | 规格 | 价格 | 操作 |
|---|
| 货号 | 名称 | 规格 | 价格 | 操作 |
|---|















