
Anti-Ly6c Rabbit pAb
- 50 μL
产品信息
蛋白质全称 | 淋巴细胞抗原6C1 |
别名 | Ly 6c, Ly6c protein, Ly-6C, Ly6c1, Ly6c2, Lymphocyte antigen 6C, Lymphocyte antigen 6C1, Lymphocyte antigen 6C2 |
Uniprot ID | P0CW02 |
免疫原 | KLH偶联的小鼠Ly6c1合成肽 |
抗体亚型 | IgG |
预测分子量./观测分子量. | 14 kDa / 14 kDa |
纯化方式 | 亲和纯化 |
亚细胞定位 | 细胞膜 |
应用
| 应用 | 物种 | 稀释 | 阳性样品 |
| WB 免疫印迹 | 小鼠 | 1: 5000-1: 30000 | 脾, 肺, 淋巴结 |
| IHC/IF 免疫组织化学/免疫荧光 | 小鼠 | 1: 800-1: 1600 | 脾, 肺 |
背景
Ly6C is a monocyte/macrophage and endothelial cell differentiation antigen regulated by interferon gamma, and may play a role in the development and maturation of lymphocytes. It is a member of the Ly6 multigene family of type V glycophosphatidylinositol anchored cell surface proteins. It is expressed on bone marrow cells, monocytes/macrophages, neutrophils, endothelial cells, and T cell subsets. Mice with the Ly6.2 allotype (e.g., AKR, C57BL, C57BR, C57L, DBA/2, PL, SJL, SWR, 129) have subsets of CD4+Ly6C+ and CD8+Ly6C+ cells, while Ly6.1 strains (e.g., A, BALB/c, CBA, C3H/He, DBA/1, NZB) have only CD8+Ly6C+ lymphocytes.
图像
| WB检测LY6C蛋白(货号 GB115601). 样品: 经RIPA裂解液(货号G2002)处理的蛋白质. 封闭: 3%脱脂牛奶(货号GC310001)溶于TBST溶液, 室温孵育1小时. —抗: 1: 30000稀释, 4℃ 孵育过夜. 二抗: HRP标记山羊抗兔IgG (H+L) (货号GB23303), 1: 5000稀释, 室温孵育1小时. |
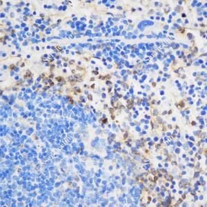
| IHC检测LY6C蛋白(货号 GB115601). 样品: 小鼠脂多糖诱导炎症模型(6h)脾脏, 4%多聚甲醛 (货号G1101) 固定12-24小时. 抗原修复: 柠檬酸抗原修复液(干粉, pH 6.0) (G1201), 98℃, 20分钟. —抗: 1: 800稀释, 4℃ 孵育过夜. 二抗: HRP标记山羊抗兔IgG (H+L) (货号GB23303), 1: 200稀释, 室温孵育1小时. |
| IHC检测LY6C蛋白(货号 GB115601). 样品: 小鼠脂多糖诱导炎症模型(6h)肺, 4%多聚甲醛 (货号G1101) 固定12-24小时. 抗原修复: 柠檬酸抗原修复液(干粉, pH 6.0) (G1201), 98℃, 20分钟. —抗: 1: 800稀释, 4℃ 孵育过夜. 二抗: HRP标记山羊抗兔IgG (H+L) (货号GB23303), 1: 200稀释, 室温孵育1小时. |
储存
| 储存条件 | 在-20℃下储存一年, 避免反复冻融. |
| 储存缓冲液 | 含0.15% ProClin300防腐剂, 100 μg/mL牛血清白蛋白和50%甘油的磷酸盐缓冲液. |
注意:
1.本产品仅供研究使用.
2.建议用一抗稀释液(G2025)稀释本产品.
| 货号 | 名称 | 规格 | 价格 | 操作 |
|---|
| 货号 | 名称 | 规格 | 价格 | 操作 |
|---|


