
Recombinant Anti-Phospho-GSK3 Beta(S9) antibody (Rabbit mAb)
- 50 μL
产品信息
|
蛋白质全称 |
糖原合酶激酶-3β |
|
别名 |
GSK3B, Gsk3b, 7330414F15Rik, 8430431H08Rik, C86142, GSK-3, GSK-3beta, GSK3, glycogen synthase kinase 3 beta, P-GSK3β |
|
Uniprot ID |
P49841 |
|
免疫原 |
人GSK3beta(S9)重组蛋白 |
|
抗体亚型 |
IgG, κ |
|
克隆号 |
SB351 |
|
预测分子量./观测分子量. |
47 kDa / 47 kDa |
|
纯化方式 |
亲和纯化 |
|
亚细胞定位 |
细胞质, 细胞核, 细胞膜 |
应用
| 应用 | 物种 | 稀释 | 阳性样品 |
| WB 免疫印迹 | 人, 小鼠, 大鼠 | 1: 1000-1: 4000 | HeLa细胞, NIH/3T3细胞, C6细胞 |
| IHC/IF 免疫组织化学/免疫荧光 | 人 | 1: 200-1: 800 | 肺癌, 结肠癌, 肾癌 |
背景
Glycogen synthase kinase-3 (GSK3) is a proline-directed serine-threonine kinase that was initially identified as a phosphorylating and inactivating glycogen synthase .GSK3B is involved in energy metabolism, neuronal cell development, and body pattern formation.In skeletal muscle, it contributes to insulin regulation of glycogen synthesis by phosphorylating and inhibiting GYS1 activity and hence glycogen synthesis. Researches showed that the crystal structure of human GSK3B, expressed in insect cells, at 2.8-angstrom resolution .This antibody recognize the C-terminal of GSK3B.
图像
|
|
WB检测Phospho-GSK3 Beta(S9)蛋白(货号 GB150050). 样品: 经RIPA裂解液(货号G2002)处理的蛋白质. 封闭: 3%脱脂牛奶(货号GC310001)溶于TBST溶液, 室温孵育1小时. —抗: 1: 1000稀释, 4℃ 孵育过夜. 二抗: HRP标记山羊抗兔IgG (H+L) (货号GB23303), 1: 5000稀释, 室温孵育1小时. |
|
|
WB检测Phospho-GSK3 Beta(S9)蛋白(货号 GB150050). 样品: 经RIPA裂解液(货号G2002)处理的蛋白质. 封闭: 3%脱脂牛奶(货号GC310001)溶于TBST溶液, 室温孵育1小时. —抗: 1: 1000稀释, 4℃ 孵育过夜. 二抗: HRP标记山羊抗兔IgG (H+L) (货号GB23303), 1: 5000稀释, 室温孵育1小时. |
|
|
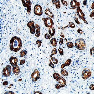
IHC检测Phospho-GSK3 Beta(S9)蛋白(货号 GB150050). 样品: 人肾癌, 4%多聚甲醛 (货号G1101) 固定12-24小时. 抗原修复: 柠檬酸抗原修复液 (干粉, pH 6.0) (G1201), 高压锅均匀喷气计时2分钟. —抗: 1: 200稀释, 4℃ 孵育过夜. 二抗: S-vision免疫组化多聚二抗(山羊抗兔),即用型 (货号G1302), 室温孵育20分钟. |
|
|
IHC检测Phospho-GSK3 Beta(S9)蛋白(货号 GB150050). 样品: 人结肠, 4%多聚甲醛 (货号G1101) 固定12-24小时. 抗原修复: 柠檬酸抗原修复液 (干粉, pH 6.0) (G1201), 高压锅均匀喷气计时2分钟. —抗: 1: 200稀释, 4℃ 孵育过夜. 二抗: S-vision免疫组化多聚二抗(山羊抗兔),即用型 (货号G1302), 室温孵育20分钟. |
|
|
IHC检测Phospho-GSK3 Beta(S9)蛋白(货号 GB150050). 样品: 人结肠癌, 4%多聚甲醛 (货号G1101) 固定12-24小时. 抗原修复: 柠檬酸抗原修复液 (干粉, pH 6.0) (G1201), 高压锅均匀喷气计时2分钟. —抗: 1: 200稀释, 4℃ 孵育过夜. 二抗: S-vision免疫组化多聚二抗(山羊抗兔),即用型 (货号G1302), 室温孵育20分钟. |
|
|
IHC检测Phospho-GSK3 Beta(S9)蛋白(货号 GB150050). 样品: 人食道癌, 4%多聚甲醛 (货号G1101) 固定12-24小时. 抗原修复: 柠檬酸抗原修复液 (干粉, pH 6.0) (G1201), 高压锅均匀喷气计时2分钟. —抗: 1: 200稀释, 4℃ 孵育过夜. 二抗: S-vision免疫组化多聚二抗(山羊抗兔),即用型 (货号G1302), 室温孵育20分钟. |
|
|
IHC检测Phospho-GSK3 Beta(S9)蛋白(货号 GB150050). 样品: 人胃癌, 4%多聚甲醛 (货号G1101) 固定12-24小时. 抗原修复: 柠檬酸抗原修复液 (干粉, pH 6.0) (G1201), 高压锅均匀喷气计时2分钟. —抗: 1: 200稀释, 4℃ 孵育过夜. 二抗: S-vision免疫组化多聚二抗(山羊抗兔),即用型 (货号G1302), 室温孵育20分钟. |
|
|
IHC检测 Phospho-GSK3 Beta(S9)蛋白(货号 GB150050). 样品: 人卵巢癌, 4%多聚甲醛 (货号G1101) 固定12-24小时. 抗原修复: 柠檬酸抗原修复液 (干粉, pH 6.0) (G1201), 高压锅均匀喷气计时2分钟. —抗: 1: 200稀释, 4℃ 孵育过夜. 二抗: S-vision免疫组化多聚二抗(山羊抗兔),即用型 (货号G1302), 室温孵育20分钟. |
|
|
IHC检测 Phospho-GSK3 Beta(S9)蛋白(货号 GB150050). 样品: 人结肠癌, 4%多聚甲醛 (货号G1101) 固定12-24小时. 抗原修复: 柠檬酸抗原修复液 (干粉, pH 6.0) (G1201), 高压锅均匀喷气计时2分钟. —抗: 1: 800稀释, 4℃ 孵育过夜. 二抗: S-vision免疫组化多聚二抗(山羊抗兔),即用型 (货号G1302), 室温孵育20分钟. |
|
|
IHC检测 Phospho-GSK3 Beta(S9)蛋白(货号 GB150050). 样品: 人肝癌, 4%多聚甲醛 (货号G1101) 固定12-24小时. 抗原修复: 柠檬酸抗原修复液 (干粉, pH 6.0) (G1201), 高压锅均匀喷气计时2分钟. —抗: 1: 800稀释, 4℃ 孵育过夜. 二抗: S-vision免疫组化多聚二抗(山羊抗兔),即用型 (货号G1302), 室温孵育20分钟. |
|
|
IHC检测 Phospho-GSK3 Beta(S9)蛋白(货号 GB150050). 样品: 人肺癌, 4%多聚甲醛 (货号G1101) 固定12-24小时. 抗原修复: 柠檬酸抗原修复液 (干粉, pH 6.0) (G1201), 高压锅均匀喷气计时2分钟. —抗: 1: 800稀释, 4℃ 孵育过夜. 二抗: S-vision免疫组化多聚二抗(山羊抗兔),即用型 (货号G1302), 室温孵育20分钟. |
|
|
IHC检测Phospho-GSK3 Beta(S9)蛋白(货号 GB150050). 样品: 人卵巢癌, 4%多聚甲醛 (货号G1101) 固定12-24小时. 抗原修复: 柠檬酸抗原修复液 (干粉, pH 6.0) (G1201), 高压锅均匀喷气计时2分钟. —抗: 1: 800稀释, 4℃ 孵育过夜. 二抗: S-vision免疫组化多聚二抗(山羊抗兔),即用型 (货号G1302), 室温孵育20分钟. |
|
|
IHC检测Phospho-GSK3 Beta(S9)蛋白(货号 GB150050). 样品: 人胃, 4%多聚甲醛 (货号G1101) 固定12-24小时. 抗原修复: 柠檬酸抗原修复液 (干粉, pH 6.0) (G1201), 高压锅均匀喷气计时2分钟. —抗: 1: 800稀释, 4℃ 孵育过夜. 二抗: S-vision免疫组化多聚二抗(山羊抗兔),即用型 (货号G1302), 室温孵育20分钟. |
|
|
IF检测Phospho-GSK3 Beta(S9)蛋白(货号 GB150050)(绿色). 样品: 人肾癌, 4%多聚甲醛 (货号G1101) 固定12-24小时. 抗原修复: 柠檬酸抗原修复液 (干粉, pH 6.0) (G1201), 高压锅均匀喷气计时2分钟. —抗: 1: 200稀释, 4℃ 孵育过夜. 二抗: Alexa Fluor 488标记山羊抗兔IgG (H+L) (货号GB25303), 1: 400稀释, 室温孵育1小时. |
|
|
IF检测Phospho-GSK3 Beta(S9)蛋白(货号 GB150050)(绿色). 样品: 人结肠癌, 4%多聚甲醛 (货号G1101) 固定12-24小时. 抗原修复: 柠檬酸抗原修复液 (干粉, pH 6.0) (G1201), 高压锅均匀喷气计时2分钟. —抗: 1: 200稀释, 4℃ 孵育过夜. 二抗: Alexa Fluor 488标记山羊抗兔IgG (H+L) (货号GB25303), 1: 400稀释, 室温孵育1小时. |
|
|
IF检测Phospho-GSK3 Beta(S9)蛋白(货号 GB150050)(绿色). 样品: 人肝胆管癌, 4%多聚甲醛 (货号G1101) 固定12-24小时. 抗原修复: 柠檬酸抗原修复液 (干粉, pH 6.0) (G1201), 高压锅均匀喷气计时2分钟. —抗: 1: 200稀释, 4℃ 孵育过夜. 二抗: Alexa Fluor 488标记山羊抗兔IgG (H+L) (货号GB25303), 1: 400稀释, 室温孵育1小时. |
储存
| 储存条件 | 在-20℃下储存一年, 避免反复冻融. |
| 储存缓冲液 | 含0.15% ProClin300防腐剂, 100 μg/mL牛血清白蛋白和50%甘油的磷酸盐缓冲液. |
注意:
1.本产品仅供研究使用.
2.建议用一抗稀释液(G2025)稀释本产品.
| 货号 | 名称 | 规格 | 价格 | 操作 |
|---|
| 货号 | 名称 | 规格 | 价格 | 操作 |
|---|















