
Anti-c-Kit Mouse mAb
- 50 μL
产品信息
|
蛋白质全称 |
肥大/干细胞生长因子受体Kit |
|
别名 |
C Kit, CD117, c-Kit, KIT, PBT, Proto-oncogene c-Kit, SCFR, Tyrosine protein kinase Kit, Sl, C-Kit, SCFR, KIT proto-oncogene receptor tyrosine kinase |
|
Uniprot ID |
P10721 |
|
免疫原 |
人c-Kit重组蛋白 |
|
抗体亚型 |
IgG2b, κ |
|
克隆号 |
4H12D6-2 |
|
纯化方式 |
亲和纯化 |
|
亚细胞定位 |
细胞膜, 细胞质 |
应用
| 应用 | 物种 | 稀释 | 阳性样品 |
| IHC/IF 免疫组织化学/免疫荧光 | 人 | 1: 500-1: 1500 | 扁桃体, 精细胞瘤, 胃肠道间质瘤 |
背景
KIT, also named as SCFR, c-Kit and CD117, is a transmembrane tyrosine kinase encoded by the cKit proto oncogene. It is a type 3 transmembrane receptor for MGF (mast cell growth factor, also known as stem cell factor). KIT acts to regulate a variety of biological responses including cell proliferation, apoptosis, chemotaxis and adhesion. Ligand(SCF) binding to the extracellular domain leads to autophosphorylation on several tyrosine residues within the cytoplasmic domain, and activation. Phosphorylation at tyrosine 721 of KIT allows binding and activation of PI3 kinase.
图像
|
|
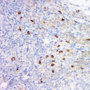
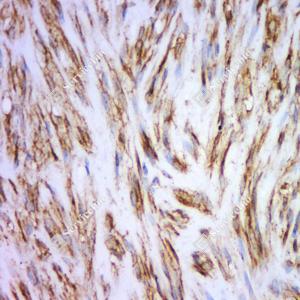
IHC检测c-Kit蛋白(货号 GB12073). 样品: 人胃肠道间质瘤, 4%多聚甲醛 (货号G1101) 固定12-24小时. 抗原修复: 柠檬酸抗原修复液(干粉, pH 6.0) (G1201), 高压锅均匀喷气计时2分钟. —抗: 1: 1500稀释, 4℃ 孵育过夜. 二抗: HRP标记山羊抗小鼠IgG (H+L) (货号GB23301), 1: 200稀释, 室温孵育1小时. |
|
|
IHC检测c-Kit蛋白(货号 GB12073). 样品: 人精母细胞瘤, 4%多聚甲醛 (货号G1101) 固定12-24小时. 抗原修复: 柠檬酸抗原修复液(干粉, pH 6.0) (G1201), 高压锅均匀喷气计时2分钟. —抗: 1: 1500稀释, 4℃ 孵育过夜. 二抗: HRP标记山羊抗小鼠IgG (H+L) (货号GB23301), 1: 200稀释, 室温孵育1小时. |
|
|
IHC检测c-Kit蛋白(货号 GB12073). 样品: 人扁桃体, 4%多聚甲醛 (货号G1101) 固定12-24小时. 抗原修复: 柠檬酸抗原修复液(干粉, pH 6.0) (G1201), 高压锅均匀喷气计时2分钟. —抗: 1: 1500稀释, 4℃ 孵育过夜. 二抗: HRP标记山羊抗小鼠IgG (H+L) (货号GB23301), 1: 200稀释, 室温孵育1小时. |
储存
| 储存条件 | 在-20℃下储存一年, 避免反复冻融. |
| 储存缓冲液 | 含0.15% ProClin300防腐剂, 100 μg/mL牛血清白蛋白和50%甘油的磷酸盐缓冲液. |
注意:
1.本产品仅供研究使用.
2.建议用一抗稀释液(G2025)稀释本产品.
| 货号 | 名称 | 规格 | 价格 | 操作 |
|---|
| 货号 | 名称 | 规格 | 价格 | 操作 |
|---|


