
Recombinant Anti-Ferritin Heavy Chain antibody (Rabbit mAb)
- 100 μL
产品信息
蛋白质全称 | 铁蛋白重链 |
别名 | Ferritin H subunit, Cell proliferation-inducing gene 15 protein, FTH1, FTH, FTHL6, OK/SW-cl.84, PIG15 |
Uniprot ID | P02794 |
免疫原 | KLH偶联的人Ferritin Heavy Chain合成肽 |
抗体亚型 | IgG |
克隆号 | SB652 |
预测分子量./观测分子量. | 21 kDa / 21 kDa |
纯化方式 | 亲和纯化 |
亚细胞定位 | 细胞质, 溶酶体, 细胞质小泡 |
应用
| 应用 | 物种 | 稀释 | 阳性样品 |
| WB 免疫印迹 | 人, 小鼠, 大鼠 | 1: 1000-1: 4000 | 肝, 脑, HT-29细胞 |
| IHC/IF 免疫组织化学/免疫荧光 | 人, 小鼠, 大鼠 | 1: 1000-1: 3000 | 扁桃体, 肾, 睾丸 |
背景
Stores iron in a soluble, non-toxic, readily available form. Important for iron homeostasis. Has ferroxidase activity. Iron is taken up in the ferrous form and deposited as ferric hydroxides after oxidation. Also plays a role in delivery of iron to cells. Mediates iron uptake in capsule cells of the developing kidney.
图像
| WB检测Ferritin Heavy Chain蛋白(货号 GB152933). 样品: 经RIPA裂解液(货号G2002)处理的蛋白质. 封闭: 3%脱脂牛奶(货号GC310001)溶于TBST溶液, 室温孵育1小时. —抗: 1: 1000稀释, 4℃ 孵育过夜. 二抗: HRP标记山羊抗兔IgG (H+L) (货号GB23303), 1: 5000稀释, 室温孵育1小时. |
| WB检测Ferritin Heavy Chain蛋白(货号 GB152933). 样品: 经RIPA裂解液(货号G2002)处理的蛋白质. 封闭: 3%脱脂牛奶(货号GC310001)溶于TBST溶液, 室温孵育1小时. —抗: 1: 1000稀释, 4℃ 孵育过夜. 二抗: HRP标记山羊抗兔IgG (H+L) (货号GB23303), 1: 5000稀释, 室温孵育1小时. |
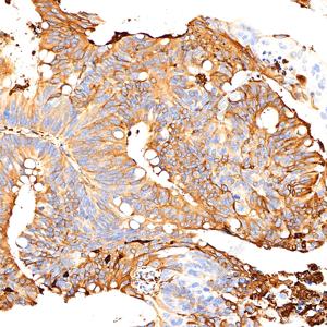
| IHC检测Ferritin Heavy Chain蛋白(货号 GB152933). 样品: 人结肠癌, 4%多聚甲醛 (货号G1101) 固定12-24小时. 抗原修复: 抗原修复仪(货号 ARI-4),Tris-EDTA抗原修复液(pH 9.0) (货号G1203), 水浴100℃, 25分钟. —抗: 1: 1000稀释, 4℃ 孵育过夜. 二抗: S-vision免疫组化多聚二抗(山羊抗兔),即用型 (货号G1302), 室温孵育20分钟. |
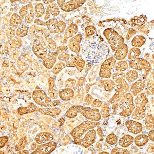
| IHC检测Ferritin Heavy Chain蛋白(货号 GB152933). 样品: 人肾, 4%多聚甲醛 (货号G1101) 固定12-24小时. 抗原修复: 抗原修复仪(货号 ARI-4),Tris-EDTA抗原修复液(pH 9.0) (货号G1203), 水浴100℃, 25分钟. —抗: 1: 1000稀释, 4℃ 孵育过夜. 二抗: S-vision免疫组化多聚二抗(山羊抗兔),即用型 (货号G1302), 室温孵育20分钟. |
| IHC检测Ferritin Heavy Chain蛋白(货号 GB152933). 样品: 人扁桃体, 4%多聚甲醛 (货号G1101) 固定12-24小时. 抗原修复: 抗原修复仪(货号 ARI-4),Tris-EDTA抗原修复液(pH 9.0) (货号G1203), 水浴100℃, 25分钟. —抗: 1: 1000稀释, 4℃ 孵育过夜. 二抗: S-vision免疫组化多聚二抗(山羊抗兔),即用型 (货号G1302), 室温孵育20分钟. |
| IHC检测Ferritin Heavy Chain蛋白(货号 GB152933). 样品: 小鼠肾, 4%多聚甲醛 (货号G1101) 固定12-24小时. 抗原修复: 抗原修复仪(货号 ARI-4),Tris-EDTA抗原修复液(pH 9.0) (货号G1203), 水浴100℃, 25分钟. —抗: 1: 1000稀释, 4℃ 孵育过夜. 二抗: S-vision免疫组化多聚二抗(山羊抗兔),即用型 (货号G1302), 室温孵育20分钟. |
| IHC检测Ferritin Heavy Chain蛋白(货号 GB152933). 样品: 大鼠肾, 4%多聚甲醛 (货号G1101) 固定12-24小时. 抗原修复: 抗原修复仪(货号 ARI-4),Tris-EDTA抗原修复液(pH 9.0) (货号G1203), 水浴100℃, 25分钟. —抗: 1: 1000稀释, 4℃ 孵育过夜. 二抗: S-vision免疫组化多聚二抗(山羊抗兔),即用型 (货号G1302), 室温孵育20分钟. |
| IHC检测Ferritin Heavy Chain蛋白(货号 GB152933). 样品: 大鼠睾丸, 4%多聚甲醛 (货号G1101) 固定12-24小时. 抗原修复: 抗原修复仪(货号 ARI-4),Tris-EDTA抗原修复液(pH 9.0) (货号G1203), 水浴100℃, 25分钟. —抗: 1: 1000稀释, 4℃ 孵育过夜. 二抗: S-vision免疫组化多聚二抗(山羊抗兔),即用型 (货号G1302), 室温孵育20分钟. |
| IF检测Ferritin Heavy Chain蛋白(货号 GB152933)(红色). 样品: 人肾, 4%多聚甲醛 (货号G1101) 固定12-24小时. 抗原修复: 抗原修复仪(货号 ARI-4),Tris-EDTA抗原修复液(pH 9.0) (货号G1203), 水浴100℃, 25分钟. 封闭: 3% BSA(货号GC305010)的PBS溶液, 室温孵育30分钟. —抗: 1: 1000稀释, 4℃ 孵育过夜. 二抗: Cy3标记山羊抗兔IgG (H+L) (货号GB21303), 1: 300稀释, 室温孵育1小时. |
| IF检测Ferritin Heavy Chain蛋白(货号 GB152933)(红色). 样品: 小鼠肺, 4%多聚甲醛 (货号G1101) 固定12-24小时. 抗原修复: 抗原修复仪(货号 ARI-4),Tris-EDTA抗原修复液(pH 9.0) (货号G1203), 水浴100℃, 25分钟. 封闭: 3% BSA(货号GC305010)的PBS溶液, 室温孵育30分钟. —抗: 1: 1000稀释, 4℃ 孵育过夜. 二抗: Cy3标记山羊抗兔IgG (H+L) (货号GB21303), 1: 300稀释, 室温孵育1小时. |
| IF检测Ferritin Heavy Chain蛋白(货号 GB152933)(红色). 样品: 大鼠肺, 4%多聚甲醛 (货号G1101) 固定12-24小时. 抗原修复: 抗原修复仪(货号 ARI-4),Tris-EDTA抗原修复液(pH 9.0) (货号G1203), 水浴100℃, 25分钟. 封闭: 3% BSA(货号GC305010)的PBS溶液, 室温孵育30分钟. —抗: 1: 1000稀释, 4℃ 孵育过夜. 二抗: Cy3标记山羊抗兔IgG (H+L) (货号GB21303), 1: 300稀释, 室温孵育1小时. |
| IF检测Ferritin Heavy Chain蛋白(货号 GB152933)(红色). 样品: 大鼠睾丸, 4%多聚甲醛 (货号G1101) 固定12-24小时. 抗原修复: 抗原修复仪(货号 ARI-4),Tris-EDTA抗原修复液(pH 9.0) (货号G1203), 水浴100℃, 25分钟. 封闭: 3% BSA(货号GC305010)的PBS溶液, 室温孵育30分钟. —抗: 1: 1000稀释, 4℃ 孵育过夜. 二抗: Cy3标记山羊抗兔IgG (H+L) (货号GB21303), 1: 300稀释, 室温孵育1小时. |
| IF检测Ferritin Heavy Chain蛋白(货号 GB152933)(红色). 样品: 人食管癌, 4%多聚甲醛 (货号G1101) 固定12-24小时. 抗原修复: 抗原修复仪(货号 ARI-4),Tris-EDTA抗原修复液(pH 9.0) (货号G1203), 水浴100℃, 25分钟. 封闭: 3% BSA(货号GC305010)的PBS溶液, 室温孵育30分钟. —抗: 1: 1000稀释, 4℃ 孵育过夜. 二抗: Cy3标记山羊抗兔IgG (H+L) (货号GB21303), 1: 300稀释, 室温孵育1小时. |
| IF检测Ferritin Heavy Chain蛋白(货号 GB152933)(红色). 样品: 人扁桃体, 4%多聚甲醛 (货号G1101) 固定12-24小时. 抗原修复: 抗原修复仪(货号 ARI-4),Tris-EDTA抗原修复液(pH 9.0) (货号G1203), 水浴100℃, 25分钟. 封闭: 3% BSA(货号GC305010)的PBS溶液, 室温孵育30分钟. —抗: 1: 1000稀释, 4℃ 孵育过夜. 二抗: Cy3标记山羊抗兔IgG (H+L) (货号GB21303), 1: 300稀释, 室温孵育1小时. |
| IF检测Ferritin Heavy Chain蛋白(货号 GB152933)(红色). 样品: 人食管癌, 4%多聚甲醛 (货号G1101) 固定12-24小时. 抗原修复: 抗原修复仪(货号 ARI-4),Tris-EDTA抗原修复液(pH 9.0) (货号G1203), 水浴100℃, 25分钟. 封闭: 3% BSA(货号GC305010)的PBS溶液, 室温孵育30分钟. —抗: 1: 1000稀释, 4℃ 孵育过夜. 二抗: Cy3标记山羊抗兔IgG (H+L) (货号GB21303), 1: 300稀释, 室温孵育1小时. |
储存
| 储存条件 | 在-20℃下储存一年, 避免反复冻融. |
| 储存缓冲液 | 含0.15% ProClin300防腐剂, 100 μg/mL牛血清白蛋白和50%甘油的磷酸盐缓冲液. |
注意:
1.本产品仅供研究使用.
2.建议用一抗稀释液(G2025)稀释本产品.
| 货号 | 名称 | 规格 | 价格 | 操作 |
|---|
| 货号 | 名称 | 规格 | 价格 | 操作 |
|---|














