
Anti-TRAP (Tartrate Resistant Acid Phosphatase) Rabbit pAb
- 50 μL
产品信息
蛋白质全称 | 抗酒石酸酸性磷酸酶5型 |
别名 | ACP5, HPAP, SPENCDI, TRAP, TRACP5a, TRACP5b, TrATPase, acid phosphatase 5, tartrate resistant |
免疫原 | KLH偶联的小鼠Tart大鼠e-resistant acid phosphatase type 5合成肽 |
Uniprot ID | Q05117 |
抗体亚型 | IgG |
纯化方式 | 亲和纯化 |
亚细胞定位 | 溶酶体 |
应用
| 应用 | 物种 | 稀释 | 阳性样品 |
| IHC/IF 免疫组织化学/免疫荧光 | 人, 小鼠, 大鼠 | 1: 200-1: 1000 | 损伤骨 |
背景
May play a role in the process of bone resorption. The osteoclastic trap acts on nucleotide tri- and diphosphates with higher affinity, compared with other substrates.
图像
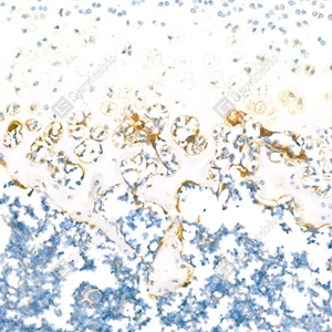
| IHC检测Tartrate Resistant Acid Phosphatase蛋白(货号 GB11416). 样品: 大鼠损伤骨, 4%多聚甲醛 (货号G1101) 固定12-24小时. 抗原修复: 柠檬酸抗原修复液(干粉, pH 6.0) (G1201), 98℃, 20分钟. —抗: 1: 400稀释, 4℃ 孵育过夜. 二抗: HRP标记山羊抗兔IgG (H+L) (货号GB23303), 1: 200稀释, 室温孵育1小时. |
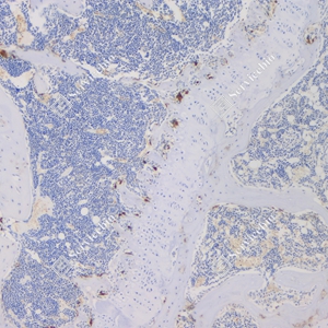
| IHC检测Tartrate Resistant Acid Phosphatase蛋白(货号 GB11416). 样品: 小鼠鼠损伤骨, 4%多聚甲醛 (货号G1101) 固定12-24小时. 抗原修复: 柠檬酸抗原修复液(干粉, pH 6.0) (G1201), 98℃, 20分钟. —抗: 1: 500稀释, 4℃ 孵育过夜. 二抗: HRP标记山羊抗兔IgG (H+L) (货号GB23303), 1: 200稀释, 室温孵育1小时. |
| IHC检测Tartrate Resistant Acid Phosphatase蛋白(货号 GB11416). 样品: 小鼠鼠损伤骨, 4%多聚甲醛 (货号G1101) 固定12-24小时. 抗原修复: 柠檬酸抗原修复液(干粉, pH 6.0) (G1201), 98℃, 20分钟. —抗: 1: 500稀释, 4℃ 孵育过夜. 二抗: HRP标记山羊抗兔IgG (H+L) (货号GB23303), 1: 200稀释, 室温孵育1小时. |
储存
| 储存条件 | 在-20℃下储存一年, 避免反复冻融. |
| 储存缓冲液 | 含0.15% ProClin300防腐剂, 100 μg/mL牛血清白蛋白和50%甘油的磷酸盐缓冲液. |
注意:
1.本产品仅供研究使用.
2.建议用一抗稀释液(G2025)稀释本产品.
| 货号 | 名称 | 规格 | 价格 | 操作 |
|---|
| 货号 | 名称 | 规格 | 价格 | 操作 |
|---|





