
Anti-NCAM1 Mouse mAb
- 50 μL
产品信息
|
蛋白质全称 |
神经细胞粘附分子1 |
|
别名 |
N-CAM-1, NCAM-1, CD56, Ncam1, Ncam, MSK39, antigen MSK39 identified by monoclonal antibody 5.1H11, NCAMC |
|
Uniprot ID |
P13591 |
|
免疫原 |
人重组NCAM1蛋白(293F细胞表达) |
|
抗体亚型 |
IgG2b, κ |
|
克隆号 |
2G8C6 |
|
纯化方式 |
亲和纯化 |
|
亚细胞定位 |
细胞膜, 分泌型 |
应用
| 应用 | 物种 | 稀释 | 阳性样品 |
| IHC/IF 免疫组织化学/免疫荧光 | 人 | 1: 600-1: 1300 | 结肠 |
背景
This gene encodes a cell adhesion protein which is a member of the immunoglobulin superfamily. The encoded protein is involved in cell-to-cell interactions as well as cell-matrix interactions during development and differentiation. The encoded protein has been shown to be involved in development of the nervous system, and for cells involved in the expansion of T cells and dendritic cells which play an important role in immune surveillance. Alternative splicing results in multiple transcript variants.
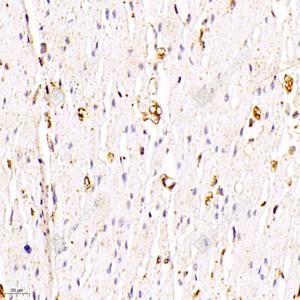
图像
|
|
IHC检测NCAM1蛋白(货号 GB12041). 样品: 人结肠, 4%多聚甲醛 (货号G1101) 固定12-24小时. 抗原修复: 柠檬酸抗原修复液(干粉, pH 6.0) (G1201), 高压锅均匀喷气计时2分钟. —抗: 1: 650稀释, 4℃ 孵育过夜. 二抗: HRP标记山羊抗小鼠IgG (H+L) (货号GB23301), 1: 200稀释, 室温孵育1小时. |
储存
| 储存条件 | 在-20℃下储存一年, 避免反复冻融. |
| 储存缓冲液 | 含0.15% ProClin300防腐剂, 100 μg/mL牛血清白蛋白和50%甘油的磷酸盐缓冲液. |
注意:
1.本产品仅供研究使用.
2.建议用一抗稀释液(G2025)稀释本产品.
| 货号 | 名称 | 规格 | 价格 | 操作 |
|---|
| 货号 | 名称 | 规格 | 价格 | 操作 |
|---|
