
Anti-Phospho-JAK2(Y1007+Y1008) Rabbit pAb
- 100 μL
产品信息
|
蛋白质全称 |
酪氨酸蛋白激酶JAK2 |
|
别名 |
AK2, JTK10, THCYT3, Janus kinase 2, MAX2, P-JAK2 |
|
Uniprot ID |
O60674 |
|
免疫原 |
KLH偶联的人JAK2(Tyr1007+Tyr1008)合成磷酸肽 |
|
抗体亚型 |
IgG |
|
预测分子量./观测分子量. |
131 kDa / 125 kDa |
|
纯化方式 |
亲和纯化 |
|
亚细胞定位 |
细胞质, 膜, 细胞核 |
应用
| 应用 | 物种 | 稀释 | 阳性样品 |
| WB 免疫印迹 | 人, 小鼠, 大鼠 | 1: 300-1: 600 | C6细胞 |
| IHC/IF 免疫组织化学/免疫荧光 | 人 | 1: 400-1: 800 | 宫颈癌, 肺腺癌 |
背景
This gene product is a protein tyrosine kinase involved in a specific subset of cytokine receptor signaling pathways. It has been found to be constituitively associated with the prolactin receptor and is required for responses to gamma interferon. Mice that do not express an active protein for this gene exhibit embryonic lethality associated with the absence of definitive erythropoiesis.
图像
|
|
WB检测Phospho-JAK2(Y1007/Y1008)蛋白(货号 GB114585). 样品: 经RIPA裂解液(货号G2002)处理的蛋白质. 封闭: 3%脱脂牛奶(货号GC310001)溶于TBST溶液, 室温孵育1小时. —抗: 1: 300稀释, 4℃ 孵育过夜. 二抗: HRP标记山羊抗兔IgG (H+L) (货号GB23303), 1: 5000稀释, 室温孵育1小时. |
|
|
WB检测Phospho-JAK2(Y1007/Y1008)蛋白(货号 GB114585). 样品: 经RIPA裂解液(货号G2002)处理的蛋白质. 封闭: 3%脱脂牛奶(货号GC310001)溶于TBST溶液, 室温孵育1小时. —抗: 1: 300稀释, 4℃ 孵育过夜. 二抗: HRP标记山羊抗兔IgG (H+L) (货号GB23303), 1: 5000稀释, 室温孵育1小时. |
|
|
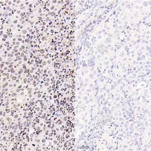
IHC检测Phospho-JAK2(Y1007/Y1008)蛋白(货号 GB114585). 样品: 人宫颈癌, 4%多聚甲醛 (货号G1101) 固定12-24小时. 抗原修复: 柠檬酸抗原修复液(干粉, pH 6.0) (G1201), 98℃, 20分钟. —抗: 1: 650稀释, 4℃ 孵育过夜. 二抗: HRP标记山羊抗兔IgG (H+L) (货号GB23303), 1: 200稀释, 室温孵育1小时. |
|
|
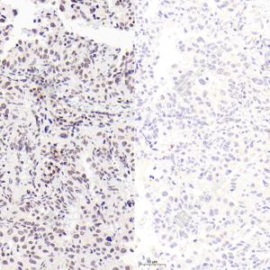
IHC检测Phospho-JAK2(Y1007/Y1008)蛋白(货号 GB114585). 样品: 人肺腺癌(非磷酸化封闭), 4%多聚甲醛 (货号G1101) 固定12-24小时. 抗原修复: 柠檬酸抗原修复液(干粉, pH 6.0) (G1201), 98℃, 20分钟. —抗: 1: 650稀释, 4℃ 孵育过夜. 二抗: HRP标记山羊抗兔IgG (H+L) (货号GB23303), 1: 200稀释, 室温孵育1小时. |
储存
| 储存条件 | 在-20℃下储存一年, 避免反复冻融. |
| 储存缓冲液 | 含0.15% ProClin300防腐剂, 100 μg/mL牛血清白蛋白和50%甘油的磷酸盐缓冲液. |
注意:
1.本产品仅供研究使用.
2.建议用一抗稀释液(G2025)稀释本产品.
| 货号 | 名称 | 规格 | 价格 | 操作 |
|---|
| 货号 | 名称 | 规格 | 价格 | 操作 |
|---|



