
Recombinant Anti-Glucagon antibody (Mouse mAb)
- 100 μL
产品信息
|
蛋白质全称 |
胰高血糖素原 |
|
别名 |
GRPP, GCG, GLP 2, GLP1, GLP2, glucagon, GRPP, GRPP Oxyntomodulin, OXM, Proglucagon, OXY, Glucagon, GLP-1, GLP |
|
Uniprot ID |
P06883 |
|
免疫原 |
KLH偶联的小鼠Glucagon合成肽 |
|
抗体亚型 |
IgG1, κ |
|
克隆号 |
SB77 |
|
纯化方式 |
亲和纯化 |
|
亚细胞定位 |
分泌型 |
应用
| 应用 | 物种 | 稀释 | 阳性样品 |
| IHC/IF 免疫组织化学/免疫荧光 | 人, 大鼠 | 1: 500-1: 1000 | 胰腺 |
背景
Glucagon is a 29-amino acid peptide hormone secreted from the pancreatic alpha cells with a powerful stimulatory effect on hepatic glucose production acting to increase plasma glucose levels. Glucagon is best known as the counter-regulatory hormone to insulin, and normal glucose homeostasis depends largely on the balanced secretion of insulin and glucagon from the pancreatic beta and alpha cells, respectively.The regulation of glucose metabolism by glucagon is mediated by its direct action on the peripheral tissues such as the liver and also by the brain.
图像
|
|
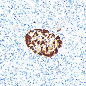
IHC检测Glucagon蛋白(货号 GB15082). 样品: 大鼠胰腺, 4%多聚甲醛 (货号G1101) 固定12-24小时. 抗原修复: 柠檬酸抗原修复液(干粉, pH 6.0) (G1201), 高压锅均匀喷气计时2分钟. —抗: 1: 1000稀释, 4℃ 孵育过夜. 二抗: HRP标记山羊抗小鼠IgG (H+L) (货号GB23301), 1: 200稀释, 室温孵育1小时. |
|
|
IHC检测Glucagon蛋白(货号 GB15082). 样品: 人胰腺, 4%多聚甲醛 (货号G1101) 固定12-24小时. 抗原修复: 柠檬酸抗原修复液(干粉, pH 6.0) (G1201), 高压锅均匀喷气计时2分钟. —抗: 1: 500稀释, 4℃ 孵育过夜. 二抗: HRP标记山羊抗小鼠IgG (H+L) (货号GB23301), 1: 200稀释, 室温孵育1小时. |
|
|
IF检测Glucagon蛋白(货号 GB15082)(红色). 样品: 人胰腺, 4%多聚甲醛 (货号G1101) 固定12-24小时. 抗原修复: 柠檬酸抗原修复液(干粉, pH 6.0) (G1201), 高压锅均匀喷气计时2分钟. 封闭: 3% BSA(货号GC305010)的PBS溶液, 室温孵育30分钟. —抗: 1: 500稀释, 4℃ 孵育过夜. 二抗: Cy3标记山羊抗小鼠IgG (H+L) (货号GB21301), 1: 300稀释, 室温孵育1小时. |
储存
| 储存条件 | 在-20℃下储存一年, 避免反复冻融. |
| 储存缓冲液 | 含0.15% ProClin300防腐剂, 100 μg/mL牛血清白蛋白和50%甘油的磷酸盐缓冲液. |
注意:
1.本产品仅供研究使用.
2.建议用一抗稀释液(G2025)稀释本产品.
| 货号 | 名称 | 规格 | 价格 | 操作 |
|---|
| 货号 | 名称 | 规格 | 价格 | 操作 |
|---|


