
Anti-F4/80 Rat mAb
- 100 μL
产品信息
|
蛋白质全称 |
粘附G蛋白偶联受体E1 |
|
别名 |
ADGRE1, TM7LN3, EMR1, Gpf480, adhesion G protein-coupled receptor E1 |
|
Uniprot ID |
Q61549 |
|
免疫原 |
KLH偶联的小鼠F4/80合成肽 |
|
抗体亚型 |
IgG1, κ |
|
克隆号 |
1B11B11 |
|
纯化方式 |
亲和纯化 |
|
亚细胞定位 |
细胞膜 |
应用
| 应用 | 物种 | 稀释 | 阳性样品 |
| IHC/IF 免疫组织化学/免疫荧光 | 小鼠 | 1: 500-1: 1500 | lps(24h)诱导的肝脏炎症模型,lps(24h)诱导的肺部炎症模型 |
背景
EGF-like module-containing mucin-like hormone receptor-like 1 also known as F4/80 is a proteinencoded by the ADGRE1 gene. EMR1 is a member of the adhesion GPCR family.Adhesion GPCRs are characterized by an extended extracellular region often possessing N-terminal protein modules that is linked to a TM7 region via a domain known as the GPCR-Autoproteolysis INducing (GAIN) domain.
图像
|
|
IHC检测F4/80蛋白(货号 GB12027). 样品: 小鼠LPS诱导(24h)肝脏炎症模型, 4%多聚甲醛 (货号G1101) 固定12-24小时. 抗原修复: 柠檬酸抗原修复液(干粉, pH 6.0) (G1201), 高压锅均匀喷气计时2分钟. —抗: 1: 1000稀释, 4℃ 孵育过夜. 二抗: HRP标记山羊抗大鼠IgG (H+L) (货号GB23302), 1: 200稀释, 室温孵育1小时. |
|
|
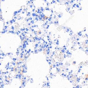
IHC检测F4/80蛋白(货号 GB12027). 样品: 小鼠LPS诱导(24h)肺部炎症模型, 4%多聚甲醛 (货号G1101) 固定12-24小时. 抗原修复: 柠檬酸抗原修复液(干粉, pH 6.0) (G1201), 高压锅均匀喷气计时2分钟. —抗: 1: 1000稀释, 4℃ 孵育过夜. 二抗: HRP标记山羊抗大鼠IgG (H+L) (货号GB23302), 1: 200稀释, 室温孵育1小时. |
|
|
IHC检测F4/80蛋白(货号 GB12027). 样品: 小鼠LPS诱导(24h)肺部炎症模型, 4%多聚甲醛 (货号G1101) 固定12-24小时. 抗原修复: 柠檬酸抗原修复液(干粉, pH 6.0) (G1201), 高压锅均匀喷气计时2分钟. —抗: 1: 1000稀释, 4℃ 孵育过夜. 二抗: HRP标记山羊抗大鼠IgG (H+L) (货号GB23302), 1: 200稀释, 室温孵育1小时. |
|
|
IHC检测F4/80蛋白(货号 GB12027). 样品: 小鼠LPS诱导(24h)肺部炎症模型, 4%多聚甲醛 (货号G1101) 固定12-24小时. 抗原修复: 柠檬酸抗原修复液(干粉, pH 6.0) (G1201), 高压锅均匀喷气计时2分钟. —抗: 1: 1000稀释, 4℃ 孵育过夜. 二抗: HRP标记山羊抗大鼠IgG (H+L) (货号GB23302), 1: 200稀释, 室温孵育1小时. |
|
|
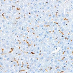
IHC检测F4/80蛋白(货号 GB12027). 样品: 小鼠肝, 4%多聚甲醛 (货号G1101) 固定12-24小时. 抗原修复: 柠檬酸抗原修复液(干粉, pH 6.0) (G1201), 高压锅均匀喷气计时2分钟. —抗: 1: 1000稀释, 4℃ 孵育过夜. 二抗: HRP标记山羊抗大鼠IgG (H+L) (货号GB23302), 1: 200稀释, 室温孵育1小时. |
|
|
IHC检测F4/80蛋白(货号 GB12027). 样品: 小鼠肝, 4%多聚甲醛 (货号G1101) 固定12-24小时. 抗原修复: 柠檬酸抗原修复液(干粉, pH 6.0) (G1201), 高压锅均匀喷气计时2分钟. —抗: 1: 1000稀释, 4℃ 孵育过夜. 二抗: HRP标记山羊抗大鼠IgG (H+L) (货号GB23302), 1: 200稀释, 室温孵育1小时. |
|
|
IF检测F4/80蛋白(货号 GB12027)(红色). 样品: 小鼠LPS诱导(24h)肝脏炎症模型, 4%多聚甲醛 (货号G1101) 固定12-24小时. 抗原修复: 柠檬酸抗原修复液(干粉, pH 6.0) (G1201), 高压锅均匀喷气计时2分钟. 封闭: 3% BSA(货号GC305010)的PBS溶液, 室温孵育30分钟. —抗: 1: 1000稀释, 4℃ 孵育过夜. 二抗: Cy3标记山羊抗大鼠IgG (H+L) (货号GB21302), 1: 300稀释, 室温孵育1小时. |
|
|
IF检测F4/80蛋白(货号 GB12027)(红色). 样品: 小鼠脾, 4%多聚甲醛 (货号G1101) 固定12-24小时. 抗原修复: 柠檬酸抗原修复液(干粉, pH 6.0) (G1201), 高压锅均匀喷气计时2分钟. 封闭: 3% BSA(货号GC305010)的PBS溶液, 室温孵育30分钟. —抗: 1: 1000稀释, 4℃ 孵育过夜. 二抗: Cy3标记山羊抗大鼠IgG (H+L) (货号GB21302), 1: 300稀释, 室温孵育1小时. |
储存
| 储存条件 | 在-20℃下储存一年, 避免反复冻融. |
| 储存缓冲液 | 含0.15% ProClin300防腐剂, 100 μg/mL牛血清白蛋白和50%甘油的磷酸盐缓冲液. |
注意:
1.本产品仅供研究使用.
2.建议用一抗稀释液(G2025)稀释本产品.
| 货号 | 名称 | 规格 | 价格 | 操作 |
|---|
| 货号 | 名称 | 规格 | 价格 | 操作 |
|---|







