
Anti-RSUME Rabbit pAb
- 50 μL
产品信息
|
蛋白质全称 |
RWD结构域蛋白3 |
|
别名 |
RSUME, RWD domain containing 3, RWDD3 |
|
Uniprot ID |
Q8VIL2 |
|
免疫原 |
KLH偶联的小鼠RSUME合成肽 |
|
抗体亚型 |
IgG |
|
纯化方式 |
亲和纯化 |
|
亚细胞定位 |
细胞核, 细胞质 |
应用
| 应用 | 物种 | 稀释 | 阳性样品 |
| IHC/IF 免疫组织化学/免疫荧光 | 小鼠, 大鼠 | 1: 400-1: 1200 | 结肠, 胰腺, 脑 |
背景
Enhancer of SUMO conjugation. Via its interaction with UBE2I/UBC9, increases SUMO conjugation to proteins by promoting the binding of E1 and E2 enzymes, thioester linkage between SUMO and UBE2I/UBC9 and transfer of SUMO to specific target proteins which include HIF1A, PIAS, NFKBIA, NR3C1 and TOP1. Positively regulates the NF-kappa-B signaling pathway by enhancing the sumoylation of NF-kappa-B inhibitor alpha (NFKBIA), promoting its stabilization which consequently leads to an increased inhibition of NF-kappa-B transcriptional activity. Negatively regulates the hypoxia-inducible factor-1 alpha (HIF1A) signaling pathway by increasing the sumoylation of HIF1A, promoting its stabilization, transcriptional activity and the expression of its target gene VEGFA during hypoxia. Has no effect on ubiquitination.
图像
|
|
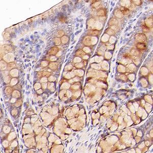
IHC检测RSUME蛋白(货号 GB114841). 样品: 大鼠结肠, 4%多聚甲醛 (货号G1101) 固定12-24小时. 抗原修复: 柠檬酸抗原修复液(干粉, pH 6.0) (G1201), 98℃, 20分钟. —抗: 1: 400稀释, 4℃ 孵育过夜. 二抗: HRP标记山羊抗兔IgG (H+L) (货号GB23303), 1: 200稀释, 室温孵育1小时. |
|
|
IHC检测RSUME蛋白(货号 GB114841). 样品: 小鼠脑, 4%多聚甲醛 (货号G1101) 固定12-24小时. 抗原修复: 柠檬酸抗原修复液(干粉, pH 6.0) (G1201), 98℃, 20分钟. —抗: 1: 400稀释, 4℃ 孵育过夜. 二抗: HRP标记山羊抗兔IgG (H+L) (货号GB23303), 1: 200稀释, 室温孵育1小时. |
|
|
IHC检测RSUME蛋白(货号 GB114841). 样品: 大鼠脑, 4%多聚甲醛 (货号G1101) 固定12-24小时. 抗原修复: 柠檬酸抗原修复液(干粉, pH 6.0) (G1201), 98℃, 20分钟. —抗: 1: 400稀释, 4℃ 孵育过夜. 二抗: HRP标记山羊抗兔IgG (H+L) (货号GB23303), 1: 200稀释, 室温孵育1小时. |
储存
| 储存条件 | 在-20℃下储存一年, 避免反复冻融. |
| 储存缓冲液 | 含0.15% ProClin300防腐剂, 100 μg/mL牛血清白蛋白和50%甘油的磷酸盐缓冲液. |
注意:
1.本产品仅供研究使用.
2.建议用一抗稀释液(G2025)稀释本产品.
| 货号 | 名称 | 规格 | 价格 | 操作 |
|---|
| 货号 | 名称 | 规格 | 价格 | 操作 |
|---|


