
Anti-RENT1/hUPF1 Rabbit pAb
- 50 μL
产品信息
|
蛋白质全称 |
无义转录调节因子1 |
|
别名 |
ATP dependent helicase RENT1, HUPF1, KIAA0221, NORF1, pNORF1, RENT1, UPF1, Up-frameshift suppressor 1 homolog, Nonsense mRNA reducing factor 1, mUpf1 |
|
Uniprot ID |
Q9EPU0 |
|
免疫原 |
KLH偶联的小鼠RENT1/hUPF1合成肽 |
|
抗体亚型 |
IgG |
|
预测分子量./观测分子量. |
124 kDa / 130 kDa |
|
纯化方式 |
亲和纯化 |
|
亚细胞定位 |
细胞质, 细胞核 |
应用
| 应用 | 物种 | 稀释 | 阳性样品 |
| WB 免疫印迹 | 人, 小鼠, 大鼠 | 1: 1000-1: 2000 | 睾丸 |
| IHC/IF 免疫组织化学/免疫荧光 | 小鼠 | 1: 1000-1: 2000 | 脑, 睾丸 |
背景
Up-Frameshift Suppressor 1 Homolog (UPF1) is the central factor in nonsense-mediated mRNA decay (NMD) and is also directly involved in telomere homeostasis, DNA replication, histone mRNA degradation and staufen-mediated mRNA decay . It is a potential modulator of MALAT1 and that UPF1/MALAT1 pathway could be a therapeutic target for gastric cancer . The molecular mass of UPF1 is 123-130 kDa.
图像
|
|
WB检测RENT1/hUPF1蛋白(货号 GB113781). 样品: 经RIPA裂解液(货号G2002)处理的蛋白质. 封闭: 3%脱脂牛奶(货号GC310001)溶于TBST溶液, 室温孵育1小时. —抗: 1: 2000稀释, 4℃ 孵育过夜. 二抗: HRP标记山羊抗兔IgG (H+L) (货号GB23303), 1: 5000稀释, 室温孵育1小时. |
|
|
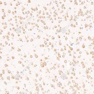
IHC检测RENT1/hUPF1蛋白(货号 GB113781). 样品: 小鼠脑, 4%多聚甲醛 (货号G1101) 固定12-24小时. 抗原修复: 柠檬酸抗原修复液(干粉, pH 6.0) (G1201), 98℃, 20分钟. —抗: 1: 1000稀释, 4℃ 孵育过夜. 二抗: HRP标记山羊抗兔IgG (H+L) (货号GB23303), 1: 200稀释, 室温孵育1小时. |
|
|
IHC检测RENT1/hUPF1蛋白(货号 GB113781). 样品: 小鼠睾丸, 4%多聚甲醛 (货号G1101) 固定12-24小时. 抗原修复: 柠檬酸抗原修复液(干粉, pH 6.0) (G1201), 98℃, 20分钟. —抗: 1: 3000稀释, 4℃ 孵育过夜. 二抗: HRP标记山羊抗兔IgG (H+L) (货号GB23303), 1: 200稀释, 室温孵育1小时. |
储存
| 储存条件 | 在-20℃下储存一年, 避免反复冻融. |
| 储存缓冲液 | 含0.15% ProClin300防腐剂, 100 μg/mL牛血清白蛋白和50%甘油的磷酸盐缓冲液. |
注意:
1.本产品仅供研究使用.
2.建议用一抗稀释液(G2025)稀释本产品.
| 货号 | 名称 | 规格 | 价格 | 操作 |
|---|
| 货号 | 名称 | 规格 | 价格 | 操作 |
|---|


