
Recombinant Anti-p21 antibody (Mouse mAb)
- 50 μL
产品信息
|
蛋白质全称 |
细胞周期蛋白依赖性激酶抑制剂 1 |
|
别名 |
CDKN1A, CAP20, CDKN1, CIP1, MDA-6, P21, SDI1, WAF1, p21CIP1, p21, cyclin-dependent kinase inhibitor 1A, cyclin dependent kinase inhibitor 1A |
|
Uniprot ID |
P38936 |
|
免疫原 |
人p21重组蛋白 |
|
抗体亚型 |
IgG1, κ |
|
克隆号 |
SB51 |
|
纯化方式 |
亲和纯化 |
|
亚细胞定位 |
细胞核, 细胞质 |
应用
| 应用 | 物种 | 稀释 | 阳性样品 |
| IHC/IF 免疫组织化学/免疫荧光 | 人, 小鼠, 大鼠 | 1: 500-1: 1000 | 宫颈癌, 睾丸 |
背景
May be involved in p53/TP53 mediated inhibition of cellular proliferation in response to DNA damage. Binds to and inhibits cyclin-dependent kinase activity, preventing phosphorylation of critical cyclin-dependent kinase substrates and blocking cell cycle progression. Functions in the nuclear localization and assembly of cyclin D-CDK4 complex and promotes its kinase activity towards RB1. At higher stoichiometric ratios, inhibits the kinase activity of the cyclin D-CDK4 complex. Inhibits DNA synthesis by DNA polymerase delta by competing with POLD3 for PCNA binding.
图像
|
|
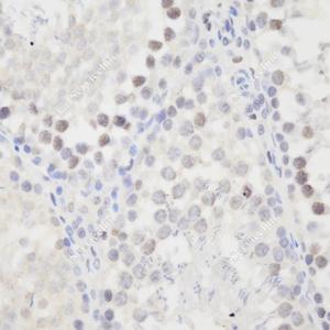
IHC检测p21蛋白(货号 YB15164). 样品: 人宫颈癌, 4%多聚甲醛 (货号Y1112) 固定12-24小时. 抗原修复: 柠檬酸抗原修复液(干粉, pH 6.0) (Y1212), 高压锅均匀喷气计时2分钟. —抗: 1: 1000稀释, 4℃ 孵育过夜. 二抗: HRP标记山羊抗小鼠IgG (H+L) (货号YB23312), 1: 200稀释, 室温孵育1小时. |
|
|
IHC检测p21蛋白(货号 YB15164). 样品: 大鼠睾丸, 4%多聚甲醛 (货号Y1112) 固定12-24小时. 抗原修复: 柠檬酸抗原修复液(干粉, pH 6.0) (Y1212), 高压锅均匀喷气计时2分钟. —抗: 1: 500稀释, 4℃ 孵育过夜. 二抗: HRP标记山羊抗小鼠IgG (H+L) (货号YB23312), 1: 200稀释, 室温孵育1小时. |
储存
| 储存条件 | 在-20℃下储存一年, 避免反复冻融. |
| 储存缓冲液 | 含0.15% ProClin300防腐剂, 100 μg/mL牛血清白蛋白和50%甘油的磷酸盐缓冲液. |
注意:
1.本产品仅供研究使用.
2.建议用一抗稀释液(Y2036)稀释本产品.
| 货号 | 名称 | 规格 | 价格 | 操作 |
|---|
| 货号 | 名称 | 规格 | 价格 | 操作 |
|---|


