
Recombinant Anti-Fibronectin antibody (Mouse mAb)
- 50 μL
产品信息
|
蛋白质全称 |
纤连蛋白 |
|
别名 |
FN, Fn1, CIG, Cold-insoluble globulin, FINC, GFND2, LETS, MSF, Migration stimulating factor, ED-B, FNZ, GFND, LETS, MSF, fibronectin 1, Cold insoluble globulin, ED B, Fibronectin, FN1, FNZ |
|
Uniprot ID |
P02751 |
|
免疫原 |
小鼠Fibronectin重组蛋白 |
|
抗体亚型 |
IgG1, κ |
|
克隆号 |
SB38 |
|
纯化方式 |
亲和纯化 |
|
亚细胞定位 |
分泌型, 胞外空间, 胞外基质 |
应用
| 应用 | 物种 | 稀释 | 阳性样品 |
| IHC/IF 免疫组织化学/免疫荧光 | 人 | 1: 500-1: 1000 | 食管癌, 肾, 宫颈癌 |
背景
Fibronectins bind cell surfaces and various compounds including collagen, fibrin, heparin, DNA, and actin. Fibronectins are involved in cell adhesion, cell motility, opsonization, wound healing, and maintenance of cell shape. Involved in osteoblast compaction through the fibronectin fibrillogenesis cell-mediated matrix assembly process, essential for osteoblast mineralization. Participates in the regulation of type I collagen deposition by osteoblasts.
图像
|
|
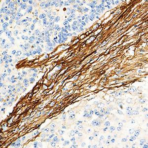
IHC检测Fibronectin蛋白(货号 GB15091). 样品: 人宫颈癌, 4%多聚甲醛 (货号G1101) 固定12-24小时. 抗原修复: 蛋白酶K(G1234)(200微克/毫升)在55℃条件下用于抗原修复20分钟. —抗: 1: 1000稀释, 4℃ 孵育过夜. 二抗: HRP标记山羊抗小鼠IgG (H+L) (货号GB23301), 1: 200稀释, 室温孵育1小时. |
|
|
IHC检测Fibronectin蛋白(货号 GB15091). 样品: 人肾, 4%多聚甲醛 (货号G1101) 固定12-24小时. 抗原修复: 蛋白酶K(G1234)(200微克/毫升)在55℃条件下用于抗原修复20分钟. —抗: 1: 1000稀释, 4℃ 孵育过夜. 二抗: HRP标记山羊抗小鼠IgG (H+L) (货号GB23301), 1: 200稀释, 室温孵育1小时. |
|
|
IHC检测Fibronectin蛋白(货号 GB15091). 样品: 人食管癌, 4%多聚甲醛 (货号G1101) 固定12-24小时. 抗原修复: 蛋白酶K(G1234)(200微克/毫升)在55℃条件下用于抗原修复20分钟. —抗: 1: 1000稀释, 4℃ 孵育过夜. 二抗: HRP标记山羊抗小鼠IgG (H+L) (货号GB23301), 1: 200稀释, 室温孵育1小时. |
储存
| 储存条件 | 在-20℃下储存一年, 避免反复冻融. |
| 储存缓冲液 | 含0.15% ProClin300防腐剂, 100 μg/mL牛血清白蛋白和50%甘油的磷酸盐缓冲液. |
注意:
1.本产品仅供研究使用.
2.建议用一抗稀释液(G2025)稀释本产品.
| 货号 | 名称 | 规格 | 价格 | 操作 |
|---|
| 货号 | 名称 | 规格 | 价格 | 操作 |
|---|



