
Anti-CD11b Rabbit pAb
- 50 μL
产品信息
|
蛋白质全称 |
整合素α-M |
|
别名 |
CD11B, CR 3 alpha chain, CR3A, ITGAM, MAC 1, MAC1A, MO1A, Neutrophil adherence receptor, SLEB6 |
|
Uniprot ID |
P05555 |
|
免疫原 |
KLH偶联的小鼠CD11b合成肽 |
|
抗体亚型 |
IgG |
|
预测分子量./观测分子量. |
127 kDa / 170 kDa |
|
纯化方式 |
亲和纯化 |
|
亚细胞定位 |
细胞膜 |
应用
| 应用 | 物种 | 稀释 | 阳性样品 |
| WB 免疫印迹 | 小鼠 | 1: 250-1: 750 | RAW264.7细胞 , 脾+LPS |
| IHC/IF 免疫组织化学/免疫荧光 | 小鼠 | 1: 500-1: 1000 | lps诱导的炎症模型(24h) |
背景
Integrin ITGAM/ITGB2 is implicated in various adhesive interactions of monocytes, macrophages and granulocytes as well as in mediating the uptake of complement-coated particles and pathogens (By similarity).It is identical with CR-3, the receptor for the iC3b fragment of the third complement component. It probably recognizes the R-G-D peptide in C3b. Integrin ITGAM/ITGB2 is also a receptor for fibrinogen, factor X and ICAM1. It recognizes P1 and P2 peptides of fibrinogen gamma chain. Regulates neutrophil migration. In association with beta subunit ITGB2/CD18, required for CD177-PRTN3-mediated activation of TNF primed neutrophils (By similarity).May regulate phagocytosis-induced apoptosis in extravasated neutrophils (By similarity).May play a role in mast cell development (By similarity).
图像
|
|
WB检测CD11b蛋白(货号 GB115689). 样品: 经RIPA裂解液(货号G2002)处理的蛋白质. 封闭: 3%脱脂牛奶(货号GC310001)溶于TBST溶液, 室温孵育1小时. —抗: 1: 250稀释, 4℃ 孵育过夜. 二抗: HRP标记山羊抗兔IgG (H+L) (货号GB23303), 1: 5000稀释, 室温孵育1小时. |
|
|
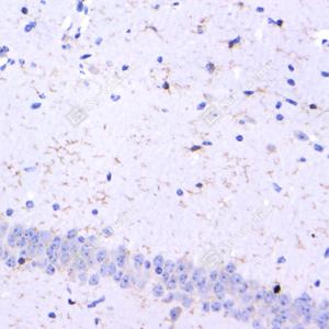
IHC检测CD11b蛋白(货号 GB115689). 样品: 小鼠大脑中动脉阻塞模型脑组织, 4%多聚甲醛 (货号G1101) 固定12-24小时. 抗原修复: 柠檬酸抗原修复液(干粉, pH 6.0) (G1201), 98℃, 20分钟. —抗: 1: 500稀释, 4℃ 孵育过夜. 二抗: HRP标记山羊抗兔IgG (H+L) (货号GB23303), 1: 200稀释, 室温孵育1小时. |
|
|
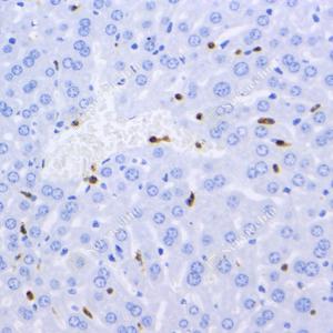
IHC检测CD11b蛋白(货号 GB115689). 样品: 小鼠脂多糖诱导(6小时)的肝脏炎症模型, 4%多聚甲醛 (货号G1101) 固定12-24小时. 抗原修复: 柠檬酸抗原修复液(干粉, pH 6.0) (G1201), 98℃, 20分钟. —抗: 1: 500稀释, 4℃ 孵育过夜. 二抗: HRP标记山羊抗兔IgG (H+L) (货号GB23303), 1: 200稀释, 室温孵育1小时. |
|
|
IHC检测CD11b蛋白(货号 GB115689). 样品: 小鼠脂多糖诱导(24小时)的肺部炎症模型, 4%多聚甲醛 (货号G1101) 固定12-24小时. 抗原修复: 柠檬酸抗原修复液(干粉, pH 6.0) (G1201), 98℃, 20分钟. —抗: 1: 500稀释, 4℃ 孵育过夜. 二抗: HRP标记山羊抗兔IgG (H+L) (货号GB23303), 1: 200稀释, 室温孵育1小时. |
|
|
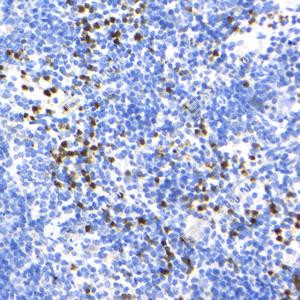
IHC检测CD11b蛋白(货号 GB115689). 样品: 小鼠脾, 4%多聚甲醛 (货号G1101) 固定12-24小时. 抗原修复: 柠檬酸抗原修复液(干粉, pH 6.0) (G1201), 98℃, 20分钟. —抗: 1: 500稀释, 4℃ 孵育过夜. 二抗: HRP标记山羊抗兔IgG (H+L) (货号GB23303), 1: 200稀释, 室温孵育1小时. |
|
|
IF检测CD11b蛋白(货号 GB115689)(红色). 样品: 小鼠大脑中动脉阻塞模型脑组织, 4%多聚甲醛 (货号G1101) 固定12-24小时. 抗原修复: Tris-EDTA抗原修复液 (pH 9.0) (G1203), 98℃, 20分钟. 封闭: 3% BSA(货号GC305010)的PBS溶液, 室温孵育30分钟. —抗: 1: 500, 4℃ 孵育过夜. 二抗: Cy3标记山羊抗兔IgG (H+L) (货号GB21303), 1: 300稀释, 室温孵育1小时. |
|
|
IF检测CD11b蛋白(货号 GB115689)(红色). 样品: 小鼠脂多糖诱导(24小时)的肺部炎症模型, 4%多聚甲醛 (货号G1101) 固定12-24小时. 抗原修复: Tris-EDTA抗原修复液 (pH 9.0) (G1203), 98℃, 20分钟. 封闭: 3% BSA(货号GC305010)的PBS溶液, 室温孵育30分钟. —抗: 1: 500, 4℃ 孵育过夜. 二抗: Cy3标记山羊抗兔IgG (H+L) (货号GB21303), 1: 300稀释, 室温孵育1小时. |
|
|
IF analysis of CD11b (GB115689)red. sample: Mouse Inflammatory model induced by lps(24h) liver, 4% PFA (G1101) 12-24h. Blocking buffer: 3% BSA in PBS (GC305010), RT, 30min. Primary antibody: CD11b (GB115689) red 1: 2500, 4℃ overnight.HRP Goat Anti-Rabbit lgG (GB23303)+cy3-TSA(G1223). CD68 (GB113109) green 1: 200,4℃ overnight, 488 Goat Anti-Rabbit lgG(GB25303). |
|
|
IF analysis of CD11b (GB115689)red. sample: Mouse Inflammatory model induced by lps(24h) lung, 4% PFA (G1101) 12-24h. Blocking buffer: 3% BSA in PBS (GC305010), RT, 30min. Primary antibody: CD11b (GB115689)red 1: 2500, 4℃ overnight.HRP Goat Anti-Rabbit lgG (GB23303)+cy3-TSA(G1223). CD68 (GB113109) green 1: 200,4℃ overnight, 488 Goat Anti-Rabbit lgG(GB25303). |
储存
| 储存条件 | 在-20℃下储存一年, 避免反复冻融. |
| 储存缓冲液 | 含0.15% ProClin300防腐剂, 100 μg/mL牛血清白蛋白和50%甘油的磷酸盐缓冲液. |
注意:
1.本产品仅供研究使用.
2.建议用一抗稀释液(G2025)稀释本产品.
| 货号 | 名称 | 规格 | 价格 | 操作 |
|---|
| 货号 | 名称 | 规格 | 价格 | 操作 |
|---|









