
Anti-Arginase 1 Rabbit pAb
- 50 μL
产品信息
|
蛋白质全称 |
精氨酸酶1 |
|
别名 |
Arg1, Arg-1, Arginase 1, Liver-Type Arginase, Arginase, Type I Arginase, Arginase-1 |
|
Uniprot ID |
Q61176 |
|
免疫原 |
KLH偶联的小鼠Arginase 1合成肽 |
|
抗体亚型 |
IgG |
|
预测分子量./观测分子量. |
35 kDa / 35-40 kDa |
|
纯化方式 |
亲和纯化 |
|
亚细胞定位 |
细胞质, 细胞核 |
应用
| 应用 | 物种 | 稀释 | 阳性样品 |
| WB 免疫印迹 | 人, 小鼠, 大鼠 | 1: 1000-1: 3000 | 肝, 邻近肝癌 |
| IHC/IF 免疫组织化学/免疫荧光 | 小鼠, 大鼠 | 1: 500-1: 1500 | 肝脏, 受损皮肤 |
背景
Arginase catalyzes the hydrolysis of arginine to ornithine and urea. At least two isoforms of mammalian arginase exist (types I and II) which differ in their tissue distribution, subcellular localization, immunologic crossreactivity and physiologic function. The type I isoform encoded by this gene, is a cytosolic enzyme and expressed predominantly in the liver as a component of the urea cycle. Inherited deficiency of this enzyme results in argininemia, an autosomal recessive disorder characterized by hyperammonemia .
图像
|
|
WB检测Arginase 1蛋白(货号 GB115724). 样品: 经RIPA裂解液(货号G2002)处理的蛋白质. 封闭: 3%脱脂牛奶(货号GC310001)溶于TBST溶液, 室温孵育1小时. —抗: 1: 1000稀释, 4℃ 孵育过夜. 二抗: HRP标记山羊抗兔IgG (H+L) (货号GB23303), 1: 5000稀释, 室温孵育1小时. |
|
|
WB检测Arginase 1蛋白(货号 GB115724). 样品: 经RIPA裂解液(货号G2002)处理的蛋白质. 封闭: 3%脱脂牛奶(货号GC310001)溶于TBST溶液, 室温孵育1小时. —抗: 1: 1000稀释, 4℃ 孵育过夜. 二抗: HRP标记山羊抗兔IgG (H+L) (货号GB23303), 1: 5000稀释, 室温孵育1小时. |
|
|
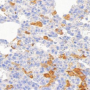
IHC检测Arginase 1蛋白(货号 GB115724). 样品: 人肝, 4%多聚甲醛 (货号G1101) 固定12-24小时. 抗原修复: 柠檬酸抗原修复液(干粉, pH 6.0) (G1201), 98℃, 20分钟. —抗: 1: 1000稀释, 4℃ 孵育过夜. 二抗: S-vision免疫组化多聚二抗(山羊抗兔),即用型 (货号G1302), 室温孵育20分钟. |
|
|
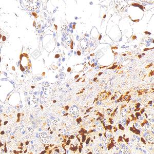
IHC检测Arginase 1蛋白(货号 GB115724). 样品: 小鼠受损皮肤, 4%多聚甲醛 (货号G1101) 固定12-24小时. 抗原修复: 柠檬酸抗原修复液(干粉, pH 6.0) (G1201), 98℃, 20分钟. —抗: 1: 1000稀释, 4℃ 孵育过夜. 二抗: S-vision免疫组化多聚二抗(山羊抗兔),即用型 (货号G1302), 室温孵育20分钟. |
|
|
IHC检测Arginase 1蛋白(货号 GB115724). 样品: 小鼠肝, 4%多聚甲醛 (货号G1101) 固定12-24小时. 抗原修复: 柠檬酸抗原修复液(干粉, pH 6.0) (G1201), 98℃, 20分钟. —抗: 1: 1000稀释, 4℃ 孵育过夜. 二抗: S-vision免疫组化多聚二抗(山羊抗兔),即用型 (货号G1302), 室温孵育20分钟. |
|
|
IHC检测Arginase 1蛋白(货号 GB115724). 样品: 小鼠肺损伤, 4%多聚甲醛 (货号G1101) 固定12-24小时. 抗原修复: 柠檬酸抗原修复液(干粉, pH 6.0) (G1201), 98℃, 20分钟. —抗: 1: 1000稀释, 4℃ 孵育过夜. 二抗: S-vision免疫组化多聚二抗(山羊抗兔),即用型 (货号G1302), 室温孵育20分钟. |
|
|
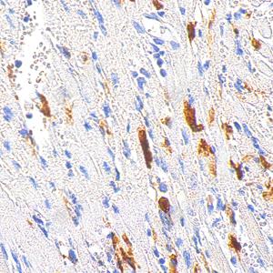
IHC检测Arginase 1蛋白(货号 GB115724). 样品: 大鼠受损皮肤, 4%多聚甲醛 (货号G1101) 固定12-24小时. 抗原修复: 柠檬酸抗原修复液(干粉, pH 6.0) (G1201), 98℃, 20分钟. —抗: 1: 1000稀释, 4℃ 孵育过夜. 二抗: S-vision免疫组化多聚二抗(山羊抗兔),即用型 (货号G1302), 室温孵育20分钟. |
|
|
IHC检测Arginase 1蛋白(货号 GB115724). 样品: 大鼠缺血再灌注损伤心脏, 4%多聚甲醛 (货号G1101) 固定12-24小时. 抗原修复: 柠檬酸抗原修复液(干粉, pH 6.0) (G1201), 98℃, 20分钟. —抗: 1: 1000稀释, 4℃ 孵育过夜. 二抗: S-vision免疫组化多聚二抗(山羊抗兔),即用型 (货号G1302), 室温孵育20分钟. |
|
|
IHC检测Arginase 1蛋白(货号 GB115724). 样品: 大鼠肝, 4%多聚甲醛 (货号G1101) 固定12-24小时. 抗原修复: 柠檬酸抗原修复液(干粉, pH 6.0) (G1201), 98℃, 20分钟. —抗: 1: 1000稀释, 4℃ 孵育过夜. 二抗: S-vision免疫组化多聚二抗(山羊抗兔),即用型 (货号G1302), 室温孵育20分钟. |
|
|
IHC检测Arginase 1蛋白(货号 GB115724). 样品: 大鼠肺损伤, 4%多聚甲醛 (货号G1101) 固定12-24小时. 抗原修复: 柠檬酸抗原修复液(干粉, pH 6.0) (G1201), 98℃, 20分钟. —抗: 1: 1000稀释, 4℃ 孵育过夜. 二抗: S-vision免疫组化多聚二抗(山羊抗兔),即用型 (货号G1302), 室温孵育20分钟. |
|
|
IF analysis of Arginase 1 (GB115724) yellow. sample: Mouse damaged skin, 4% PFA (G1101) 12-24h. Antigen retrieval: TE buffer (pH 9.0) (G1203), 98℃, 20min. Blocking buffer: 3% BSA in PBS (GC305010), RT, 30min. Primary antibody: Arginase 1 (GB115724) yellow 1: 2500, 4℃ overnight.HRP Goat Anti-Rabbit lgG (GB23303)+iF647-Tyramide(G1232). CD68 (GB113109) red 1: 1000, 4℃ overnight, Cy3 conjugated Goat Anti-Rabbit IgG (21303)+iF546-Tyramide(G1251). |
|
|
IF analysis of Arginase 1 (GB115724) yellow. sample: Mouse In situ tumor model of Lewis cell, 4% PFA (G1101) 12-24h. Antigen retrieval: TE buffer (pH 9.0) (G1203), 98℃, 20min. Blocking buffer: 3% BSA in PBS (GC305010), RT, 30min. Primary antibody: Arginase 1 (GB115724) yellow 1: 2500, 4℃ overnight.HRP Goat Anti-Rabbit lgG (GB23303)+iF647-Tyramide(G1232). CD68 (GB113109) red 1: 1000, 4℃ overnight, Cy3 conjugated Goat Anti-Rabbit IgG (21303)+iF546-Tyramide(G1251). |
|
|
IF analysis of Arginase 1 (GB115724) yellow. sample: Mouse lung injury, 4% PFA (G1101) 12-24h. Antigen retrieval: TE buffer (pH 9.0) (G1203), 98℃, 20min. Blocking buffer: 3% BSA in PBS (GC305010), RT, 30min. Primary antibody: Arginase 1 (GB115724) yellow 1: 2500, 4℃ overnight.HRP Goat Anti-Rabbit lgG (GB23303)+iF647-Tyramide(G1232). CD68 (GB113109) red 1: 1000, 4℃ overnight, Cy3 conjugated Goat Anti-Rabbit IgG (21303)+iF546-Tyramide(G1251). |
|
|
IF analysis of Arginase 1 (GB115724) yellow. sample: Rat lung injury, 4% PFA (G1101) 12-24h. Antigen retrieval: TE buffer (pH 9.0) (G1203), 98℃, 20min. Blocking buffer: 3% BSA in PBS (GC305010), RT, 30min. Primary antibody: Arginase 1 (GB115724) yellow 1: 2500, 4℃ overnight.HRP Goat Anti-Rabbit lgG (GB23303)+iF647-Tyramide(G1232). CD68 (GB113109) red 1: 1000, 4℃ overnight, Cy3 conjugated Goat Anti-Rabbit IgG (21303)+iF546-Tyramide(G1251). |
储存
| 储存条件 | 在-20℃下储存一年, 避免反复冻融. |
| 储存缓冲液 | 含0.15% ProClin300防腐剂, 100 μg/mL牛血清白蛋白和50%甘油的磷酸盐缓冲液. |
注意:
1.本产品仅供研究使用.
2.建议用一抗稀释液(G2025)稀释本产品.
| 货号 | 名称 | 规格 | 价格 | 操作 |
|---|
| 货号 | 名称 | 规格 | 价格 | 操作 |
|---|














