
Anti-Collagen III Rabbit pAb
- 50 μL
产品信息
|
蛋白质全称 |
III型胶原蛋白α1链 |
|
别名 |
Col3a1, EDS4A, type III preprocollagen alpha 1 chain, Type III collagen, Collagen III alpha 1 chain precursor , Collagen III alpha 1 polypeptide |
|
Uniprot ID |
P02461 |
|
免疫原 |
人Collagen III重组蛋白 |
|
抗体亚型 |
IgG |
|
预测分子量./观测分子量. |
139 kDa / 180-250 kDa |
|
纯化方式 |
亲和纯化 |
|
亚细胞定位 |
胞外基质, 细胞质 |
应用
| 应用 | 物种 | 稀释 | 阳性样品 |
| WB 免疫印迹 | 人 | 1: 300-1: 500 | HeLa细胞 , HT-1080细胞 , HS578T细胞, MCF7细胞 |
| IHC/IF 免疫组织化学/免疫荧光 | 人 | 1: 200-1: 400 | 食管癌, 肾 |
背景
Collagen type III occurs in most soft connective tissues along with type I collagen. Involved in regulation of cortical development. Is the major ligand of ADGRG1 in the developing brain and binding to ADGRG1 inhibits neuronal migration and activates the RhoA pathway by coupling ADGRG1 to GNA13 and possibly GNA12.
图像
|
|
WB检测Collagen III蛋白(货号 GB115674). 样品: 经RIPA裂解液(货号G2002)处理的蛋白质. 封闭: 3%脱脂牛奶(货号GC310001)溶于TBST溶液, 室温孵育1小时. —抗: 1: 300稀释, 4℃ 孵育过夜. 二抗: HRP标记山羊抗兔IgG (H+L) (货号GB23303), 1: 5000稀释, 室温孵育1小时. |
|
|
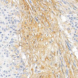
IHC检测Collagen III蛋白(货号 GB115674). 样品: 人食管癌, 4%多聚甲醛 (货号G1101) 固定12-24小时. 抗原修复: 柠檬酸抗原修复液(干粉, pH 6.0) (G1201), 98℃, 20分钟. —抗: 1: 200稀释, 4℃ 孵育过夜. 二抗: HRP标记山羊抗兔IgG (H+L) (货号GB23303), 1: 200稀释, 室温孵育1小时. |
|
|
IHC检测Collagen III蛋白(货号 GB115674). 样品: 人肾, 4%多聚甲醛 (货号G1101) 固定12-24小时. 抗原修复: 柠檬酸抗原修复液(干粉, pH 6.0) (G1201), 98℃, 20分钟. —抗: 1: 200稀释, 4℃ 孵育过夜. 二抗: HRP标记山羊抗兔IgG (H+L) (货号GB23303), 1: 200稀释, 室温孵育1小时. |
储存
| 储存条件 | 在-20℃下储存一年, 避免反复冻融. |
| 储存缓冲液 | 含0.15% ProClin300防腐剂, 100 μg/mL牛血清白蛋白和50%甘油的磷酸盐缓冲液. |
注意:
1.本产品仅供研究使用.
2.建议用一抗稀释液(G2025)稀释本产品.
| 货号 | 名称 | 规格 | 价格 | 操作 |
|---|
| 货号 | 名称 | 规格 | 价格 | 操作 |
|---|



