
Anti-Osteocalcin Rabbit pAb
¥1140
货号:YB11244-50
品牌:YIKE
规格:
- 50 μL
数量:
产品信息
蛋白质全称 | 骨钙素 |
别名 | BGLAP, BGP, OC, OCN, Osteocalcin, bone gamma-carboxyglutamate protein |
免疫原 | KLH偶联的小鼠Osteocalcin合成肽 |
Uniprot ID | |
抗体亚型 | IgG |
纯化方式 | 亲和纯化 |
亚细胞定位 | 分泌型 |
应用
| 应用 | 物种 | 稀释 | 阳性样品 |
| IHC/IF 免疫组织化学/免疫荧光 | 小鼠, 大鼠 | 1: 100-1: 500 | 骨损伤, 骨 |
背景
Osteocalcin is secreted solely by osteoblasts and thought to play a role in the body's metabolic regulation and is pro-osteoblastic, or bone-building, by nature.It is also implicated in bone mineralization and calcium ion homeostasis. Osteocalcin acts as a hormone in the body, causing beta cells in the pancreas to release more insulin, and at the same time directing fat cells to release the hormone adiponectin, which increases sensitivity to insulin.
图像
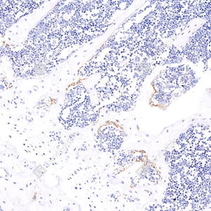
| IHC检测Osteocalcin蛋白(货号 GB11233). 样品: 小鼠骨, 4%多聚甲醛 (货号G1101) 固定12-24小时. 抗原修复: 胃蛋白酶抗原修复液, 37℃, 30分钟. —抗: 1: 300稀释, 4℃ 孵育过夜. 二抗: HRP标记山羊抗兔IgG (H+L) (货号GB23303), 1: 200稀释, 室温孵育1小时. |
| IHC检测Osteocalcin蛋白(货号 GB11233). 样品: 大鼠骨, 4%多聚甲醛 (货号G1101) 固定12-24小时. 抗原修复: 胃蛋白酶抗原修复液, 37℃, 30分钟. —抗: 1: 300稀释, 4℃ 孵育过夜. 二抗: HRP标记山羊抗兔IgG (H+L) (货号GB23303), 1: 200稀释, 室温孵育1小时. |
| IHC检测Osteocalcin蛋白(货号 GB11233). 样品: 大鼠骨, 4%多聚甲醛 (货号G1101) 固定12-24小时. 抗原修复: 胃蛋白酶抗原修复液, 37℃, 30分钟. —抗: 1: 300稀释, 4℃ 孵育过夜. 二抗: HRP标记山羊抗兔IgG (H+L) (货号GB23303), 1: 200稀释, 室温孵育1小时. |
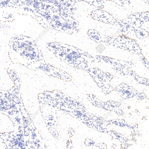
| IF检测Osteocalcin蛋白(货号 GB11233)(红色). 样品: 大鼠受损骨骼, 4%多聚甲醛 (货号G1101) 固定12-24小时. 抗原修复: 胃蛋白酶抗原修复液, 37℃, 30分钟. 封闭: 3% BSA(货号GC305010)的PBS溶液, 室温孵育30分钟. —抗: 1: 500稀释, 4℃ 孵育过夜. 二抗: Cy3标记山羊抗兔IgG (H+L) (货号GB21303), 1: 300稀释, 室温孵育1小时. |
| IF检测Osteocalcin蛋白(货号 GB11233)(红色). 样品: 小鼠骨, 4%多聚甲醛 (货号G1101) 固定12-24小时. 抗原修复: 胃蛋白酶抗原修复液, 37℃, 30分钟. 封闭: 3% BSA(货号GC305010)的PBS溶液, 室温孵育30分钟. —抗: 1: 500稀释, 4℃ 孵育过夜. 二抗: Cy3标记山羊抗兔IgG (H+L) (货号GB21303), 1: 300稀释, 室温孵育1小时. |
储存
| 储存条件 | 在-20℃下储存一年, 避免反复冻融. |
| 储存缓冲液 | 含0.15% ProClin300防腐剂, 100 μg/mL牛血清白蛋白和50%甘油的磷酸盐缓冲液. |
注意:
1.本产品仅供研究使用.
2.建议用一抗稀释液(G2025)稀释本产品.
服务推荐
| 货号 | 名称 | 规格 | 价格 | 操作 |
|---|
产品推荐
| 货号 | 名称 | 规格 | 价格 | 操作 |
|---|










