
Recombinant Anti-Myeloperoxidase antibody (Mouse mAb)
- 50 μL
产品信息
|
蛋白质全称 |
髓过氧化物酶 |
|
别名 |
MPO, myeloperoxidase |
|
Uniprot ID |
P11247 |
|
免疫原 |
KLH偶联的小鼠MPO合成肽 |
|
抗体亚型 |
IgG1, κ |
|
克隆号 |
SB93 |
|
纯化方式 |
亲和纯化 |
|
亚细胞定位 |
溶酶体 |
应用
| 应用 | 物种 | 稀释 | 阳性样品 |
| IHC/IF 免疫组织化学/免疫荧光 | 小鼠, 大鼠 | 1: 500-1: 1000 | 脾, 肺 |
背景
Myeloperoxidase (MPO) is a peroxidase enzyme that in humans is encoded by the MPO gene on chromosome 17.MPO is most abundantly expressed in neutrophil granulocytes (a subtype of white blood cells), and produces hypohalous acids to carry out their antimicrobial activity. It is a lysosomal protein stored in azurophilic granules of the neutrophil and released into the extracellular space during degranulation. Neutrophil verdoperoxidase has a heme pigment, which causes its green color in secretions rich in neutrophils, such as pus and some forms of mucus.
图像
|
|
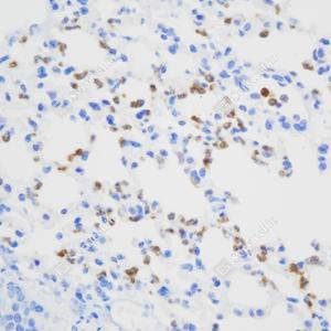
IHC检测Myeloperoxidase蛋白(货号 GB15224). 样品: 小鼠脂多糖诱导炎症模型肺(6小时), 4%多聚甲醛 (货号G1101) 固定12-24小时. 抗原修复: 柠檬酸抗原修复液(干粉, pH 6.0) (G1201), 高压锅均匀喷气计时2分钟. —抗: 1: 1000稀释, 4℃ 孵育过夜. 二抗: HRP标记山羊抗小鼠IgG (H+L) (货号GB23301), 1: 200稀释, 室温孵育1小时. |
|
|
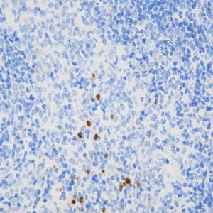
IHC检测Myeloperoxidase蛋白(货号 GB15224). 样品: 大鼠脾, 4%多聚甲醛 (货号G1101) 固定12-24小时. 抗原修复: 柠檬酸抗原修复液(干粉, pH 6.0) (G1201), 高压锅均匀喷气计时2分钟. —抗: 1: 1000稀释, 4℃ 孵育过夜. 二抗: HRP标记山羊抗小鼠IgG (H+L) (货号GB23301), 1: 200稀释, 室温孵育1小时. |
储存
| 储存条件 | 在-20℃下储存一年, 避免反复冻融. |
| 储存缓冲液 | 含0.15% ProClin300防腐剂, 100 μg/mL牛血清白蛋白和50%甘油的磷酸盐缓冲液. |
注意:
1.本产品仅供研究使用.
2.建议用一抗稀释液(G2025)稀释本产品.
| 货号 | 名称 | 规格 | 价格 | 操作 |
|---|
| 货号 | 名称 | 规格 | 价格 | 操作 |
|---|


