
Anti-NeuN Rabbit pAb
- 100 μL
产品信息
|
蛋白质全称 |
神经元特异性核蛋白 |
|
别名 |
FOX3, HRNBP3, NeuN, RBFOX3 |
|
Uniprot ID |
Q8BIF2 |
|
免疫原 |
KLH偶联的小鼠NeuN合成肽 |
|
抗体亚型 |
IgG |
|
预测分子量./观测分子量. |
41 kDa / 46/48 kDa |
|
纯化方式 |
亲和纯化 |
|
亚细胞定位 |
细胞核, 细胞质 |
应用
| 应用 | 物种 | 稀释 | 阳性样品 |
| WB 免疫印迹 | 小鼠, 大鼠 | 1: 500-1: 1000 | 脑, 皮质, 海马区 |
| IHC/IF 免疫组织化学/免疫荧光 | 人, 小鼠, 大鼠 | 1: 500-1: 1000 | 脑,海马区 |
背景
NeuN, encoded by FOX3, is a neuron-specific nuclear protein. Anti-NeuN stains exclusively neuronal cells in the central and peripheral nervous systems, especially postmitotic and differentiating neurons, as well as terminally differentiated neurons. Anti-NeuN has been used widely as a reliable tool to detect most postmitotic neuronal cell types. The immunohistochemical staining is primarily localized in the nucleus of the neurons with lighter staining in the cytoplasm.
图像
|
|
WB检测NeuN蛋白(货号 GB11138). 样品: 经RIPA裂解液(货号G2002)处理的蛋白质. 封闭: 3%脱脂牛奶(货号GC310001)溶于TBST溶液, 室温孵育1小时. —抗: 1: 500稀释, 4℃ 孵育过夜. 二抗: HRP标记山羊抗兔IgG (H+L) (货号GB23303), 1: 5000稀释, 室温孵育1小时. |
|
|
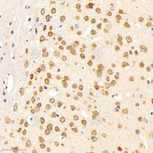
IHC检测NeuN蛋白(货号 GB11138). 样品: 大鼠脑, 4%多聚甲醛 (货号G1101) 固定12-24小时. 抗原修复: 柠檬酸抗原修复液(干粉, pH 6.0) (G1201), 98℃, 20分钟. —抗: 1: 1000稀释, 4℃ 孵育过夜. 二抗: HRP标记山羊抗兔IgG (H+L) (货号GB23303), 1: 200稀释, 室温孵育1小时. |
|
|
IHC检测NeuN蛋白(货号 GB11138). 样品: 小鼠脑, 4%多聚甲醛 (货号G1101) 固定12-24小时. 抗原修复: 柠檬酸抗原修复液(干粉, pH 6.0) (G1201), 98℃, 20分钟. —抗: 1: 500稀释, 4℃ 孵育过夜. 二抗: HRP标记山羊抗兔IgG (H+L) (货号GB23303), 1: 200稀释, 室温孵育1小时. |
|
|
IF检测NeuN蛋白(货号 GB11138)(红色). 样品: 大鼠海马区, 4%多聚甲醛 (货号G1101) 固定12-24小时. 抗原修复: Tris-EDTA抗原修复液 (pH 9.0) (G1203), 98℃, 20分钟. 封闭: 3% BSA(货号GC305010)的PBS溶液, 室温孵育30分钟. —抗: 1: 500, 4℃ 孵育过夜. 二抗: Cy3标记山羊抗兔IgG (H+L) (货号GB21303), 1: 300稀释, 室温孵育1小时. |
|
|
IF analysis of NeuN(GB11138) green. sample: Rat hippocampus , 4% PFA (G1101) 12-24h. Antigen retrieval: Tris-EDTA buffer (pH 9.0) (G1203), 98℃, 20min. Blocking buffer: 3% BSA in PBS (GC305010), RT, 30min. Primary antibody: NeuN(GB11138) green 1: 3000, 4℃ overnight.488-TSA(G1231). IBA-1(GB12105) red 1: 8000, 4℃ overnight,iF555-TSA(G1233). MBP(GB12226) Rose red 1: 5000, 4℃ overnight,iF594-TSA(G1242). GFAP(GB11096) yellow 1: 8000, 4℃ overnight,iF647-TSA(G1232). |
储存
| 储存条件 | 在-20℃下储存一年, 避免反复冻融. |
| 储存缓冲液 | 含0.15% ProClin300防腐剂, 100 μg/mL牛血清白蛋白和50%甘油的磷酸盐缓冲液. |
注意:
1.本产品仅供研究使用.
2.建议用一抗稀释液(G2025)稀释本产品.
| 货号 | 名称 | 规格 | 价格 | 操作 |
|---|
| 货号 | 名称 | 规格 | 价格 | 操作 |
|---|




