
Recombinant Anti-Glutathione Peroxidase 4 antibody (Mouse mAb)
- 100 μL
产品信息
|
蛋白质全称 |
谷胱甘肽过氧化物酶4 |
|
别名 |
PHGPx, Glutathione peroxidase 4, GPx-4, GSHPx-4, Gpx4, snGPx, snPHGPx |
|
Uniprot ID |
O70325 |
|
免疫原 |
小鼠GPX4重组蛋白 |
|
抗体亚型 |
IgG1, κ |
|
克隆号 |
SB125 |
|
预测分子量./观测分子量. |
22 kDa / 18-23 kDa |
|
纯化方式 |
亲和纯化 |
|
亚细胞定位 |
细胞质, 线粒体, 细胞核 |
应用
| 应用 | 物种 | 稀释 | 阳性样品 |
| WB 免疫印迹 | 人, 小鼠, 大鼠 | 1: 500-1: 1000 | 脑 , 睾丸 |
| IHC/IF 免疫组织化学/免疫荧光 | 小鼠, 大鼠 | 1: 500-1: 2000 | 睾丸, |
背景
GPX4 (Phospholipid hydroperoxide glutathione peroxidase, mitochondrial) protects cells against membrane lipid peroxidation and cell death. Required for normal sperm development and male fertility.It has two isforms about 20KDa and 22KDa, respectively. GPX4 is a monomer,but it has a tendency to form higher mass oligomers . It presents primarily in testis.
图像
|
|
WB检测Glutathione Peroxidase 4蛋白(货号 GB154327). 样品: 经RIPA裂解液(货号G2002)处理的蛋白质. 封闭: 3%脱脂牛奶(货号GC310001)溶于TBST溶液, 室温孵育1小时. —抗: 1: 1000稀释, 4℃ 孵育过夜. 二抗: HRP标记山羊抗小鼠IgG (H+L) (货号GB23301), 1: 5000稀释, 室温孵育1小时. |
|
|
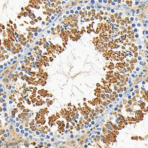
IHC检测Glutathione Peroxidase 4蛋白(货号 GB154327). 样品: 小鼠睾丸, 4%多聚甲醛 (货号G1101) 固定12-24小时. 抗原修复: Tris-EDTA抗原修复液(pH 9.0) (G1203), 98℃, 20分钟. —抗: 1: 1000稀释, 4℃ 孵育过夜. 二抗: HRP标记山羊抗小鼠IgG (H+L) (货号GB23301), 1: 200稀释, 室温孵育1小时. |
|
|
IHC检测Glutathione Peroxidase 4蛋白(货号 GB154327). 样品: 大鼠睾丸, 4%多聚甲醛 (货号G1101) 固定12-24小时. 抗原修复: Tris-EDTA抗原修复液(pH 9.0) (G1203), 98℃, 20分钟. —抗: 1: 1000稀释, 4℃ 孵育过夜. 二抗: HRP标记山羊抗小鼠IgG (H+L) (货号GB23301), 1: 200稀释, 室温孵育1小时. |
储存
| 储存条件 | 在-20℃下储存一年, 避免反复冻融. |
| 储存缓冲液 | 含0.15% ProClin300防腐剂, 100 μg/mL牛血清白蛋白和50%甘油的磷酸盐缓冲液. |
注意:
1.本产品仅供研究使用.
2.建议用一抗稀释液(G2025)稀释本产品.
| 货号 | 名称 | 规格 | 价格 | 操作 |
|---|
| 货号 | 名称 | 规格 | 价格 | 操作 |
|---|


