
Anti-Ly6g Rat mAb
- 50 μL
产品信息
|
蛋白质全称 |
淋巴细胞抗原6G |
|
别名 |
Gr-1, Gr1, Ly-6G, Ly-6G.1, Ly6g, Lymphocyte antigen 6G |
|
Uniprot ID |
P35461 |
|
免疫原 |
小鼠Ly6g重组蛋白 |
|
抗体亚型 |
IgG1 |
|
克隆号 |
1G5E5 |
|
纯化方式 |
亲和纯化 |
|
亚细胞定位 |
细胞膜 |
应用
| 应用 | 物种 | 稀释 | 阳性样品 |
| IHC/IF 免疫组织化学/免疫荧光 | 小鼠 | 1: 500-1: 1500 | lps(24h)诱导的炎症模型肝,肺损伤,lps(6h)诱导的肝脏炎症模型 |
背景
Ly6G is a GPI-anchored protein, that is also known as the myeloid differentiation antigen Gr1. The antigen is transiently expressed on monocytes in the bone marrow. The level of antigen expression in the bone marrow directly correlates with granulocyte differentiation and maturation. Ly6G is expressed predominantly on neutrophils, also in a subset of eosinophils, differentiating pre-monocytes, and plasmacytoid dendritic cells.
图像
|
|
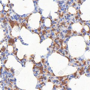
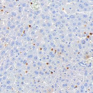
IHC检测Ly6g蛋白(货号 GB12229). 样品: 小鼠LPS诱导(24h)肝脏炎症模型, 4%多聚甲醛 (货号G1101) 固定12-24小时. 抗原修复: 柠檬酸抗原修复液(干粉, pH 6.0) (G1201), 高压锅均匀喷气计时2分钟. —抗: 1: 1000稀释, 4℃ 孵育过夜. 二抗: HRP标记山羊抗大鼠IgG (H+L) (货号GB23302), 1: 200稀释, 室温孵育1小时. |
|
|
IHC检测Ly6g蛋白(货号 GB12229). 样品: 小鼠LPS诱导(24h)肝脏炎症模型, 4%多聚甲醛 (货号G1101) 固定12-24小时. 抗原修复: 柠檬酸抗原修复液(干粉, pH 6.0) (G1201), 高压锅均匀喷气计时2分钟. —抗: 1: 1000稀释, 4℃ 孵育过夜. 二抗: HRP标记山羊抗大鼠IgG (H+L) (货号GB23302), 1: 200稀释, 室温孵育1小时. |
|
|
IHC检测Ly6g蛋白(货号 GB12229). 样品: 小鼠肺损伤, 4%多聚甲醛 (货号G1101) 固定12-24小时. 抗原修复: 柠檬酸抗原修复液(干粉, pH 6.0) (G1201), 高压锅均匀喷气计时2分钟. —抗: 1: 1000稀释, 4℃ 孵育过夜. 二抗: HRP标记山羊抗大鼠IgG (H+L) (货号GB23302), 1: 200稀释, 室温孵育1小时. |
|
|
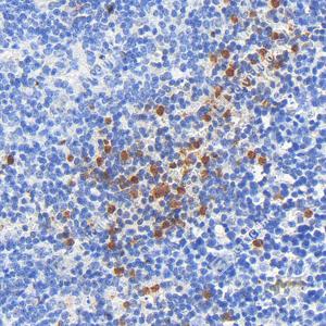
IHC检测Ly6g蛋白(货号 GB12229). 样品: 小鼠脾, 4%多聚甲醛 (货号G1101) 固定12-24小时. 抗原修复: 柠檬酸抗原修复液(干粉, pH 6.0) (G1201), 高压锅均匀喷气计时2分钟. —抗: 1: 1000稀释, 4℃ 孵育过夜. 二抗: HRP标记山羊抗大鼠IgG (H+L) (货号GB23302), 1: 200稀释, 室温孵育1小时. |
|
|
IF检测Ly6g蛋白(货号 GB12229)(红色). 样品: 小鼠LPS诱导(6h)肝脏炎症模型, 4%多聚甲醛 (货号G1101) 固定12-24小时. 抗原修复: 柠檬酸抗原修复液(干粉, pH 6.0) (G1201), 高压锅均匀喷气计时2分钟. 封闭: 3% BSA(货号GC305010)的PBS溶液, 室温孵育30分钟. —抗: 1: 1000稀释, 4℃ 孵育过夜. 二抗: Cy3标记山羊抗大鼠IgG (H+L) (货号GB21302), 1: 300稀释, 室温孵育1小时. |
|
|
IF检测Ly6g蛋白(货号 GB12229)(红色). 样品: 小鼠LPS诱导(24h)肺部炎症模型, 4%多聚甲醛 (货号G1101) 固定12-24小时. 抗原修复: 柠檬酸抗原修复液(干粉, pH 6.0) (G1201), 高压锅均匀喷气计时2分钟. 封闭: 3% BSA(货号GC305010)的PBS溶液, 室温孵育30分钟. —抗: 1: 1000稀释, 4℃ 孵育过夜. 二抗: Cy3标记山羊抗大鼠IgG (H+L) (货号GB21302), 1: 300稀释, 室温孵育1小时. |
|
|
IF检测Ly6g蛋白(货号 GB12229)(红色). 样品: 小鼠脾, 4%多聚甲醛 (货号G1101) 固定12-24小时. 抗原修复: 柠檬酸抗原修复液(干粉, pH 6.0) (G1201), 高压锅均匀喷气计时2分钟. 封闭: 3% BSA(货号GC305010)的PBS溶液, 室温孵育30分钟. —抗: 1: 1000稀释, 4℃ 孵育过夜. 二抗: Cy3标记山羊抗大鼠IgG (H+L) (货号GB21302), 1: 300稀释, 室温孵育1小时. |
储存
| 储存条件 | 在-20℃下储存一年, 避免反复冻融. |
| 储存缓冲液 | 含0.15% ProClin300防腐剂, 100 μg/mL牛血清白蛋白和50%甘油的磷酸盐缓冲液. |
注意:
1.本产品仅供研究使用.
2.建议用一抗稀释液(G2025)稀释本产品.
| 货号 | 名称 | 规格 | 价格 | 操作 |
|---|
| 货号 | 名称 | 规格 | 价格 | 操作 |
|---|






