
Anti-NLRP3 Rabbit pAb
- 50 μL
产品信息
蛋白质全称 | NOD样受体热蛋白结构域相关蛋白3 |
别名 | NLRP3, AGTAVPRL, AII, AVP, C1orf7, CIAS1, CLR1.1, FCAS, FCAS1, FCU, MWS, NALP3, PYPAF1, NLR family, pyrin domain containing 3, NLR family pyrin domain containing 3 |
Uniprot ID | Q96P20 |
免疫原 | KLH偶联的人NLRP3合成肽 |
抗体亚型 | IgG |
预测分子量./观测分子量. | 118 kDa / 110-118 kDa |
纯化方式 | 亲和纯化 |
亚细胞定位 | 细胞核, 细胞质, 分泌型 |
应用
| 应用 | 物种 | 稀释 | 阳性样品 |
| WB 免疫印迹 | 人, 小鼠, 大鼠 | 1: 500-1: 1000 | 胸腺, 脾 |
| IHC/IF 免疫组织化学/免疫荧光 | 人, 小鼠, 大鼠 | 1: 200-1: 400 | 胃癌, 脾, 扁桃体 |
背景
NALP3 is a component of the innate immune system that functions as a pathogen recognition receptor (PRR) that recognizes pathogen-associated molecular patterns (PAMPs). NALP3 together with the adaptor ASC protein PYCARD forms a caspase-1 activating complex known as the NALP3 inflammasome. NALP3 in the absence of activating signal is kept in an inactive state complexed with HSP90 and SGT1 in the cytoplasm. NALP3 inflammasome detects danger signals such as crystallineuric acid and extracellular ATP released by damaged cells. These signals release of HSP90 and SGT1 from and recruit ASC protein and caspase-1 to the inflammasome complex.
图像
| WB检测NLRP3蛋白(货号 GB114320). 样品: 经RIPA裂解液(货号G2002)处理的蛋白质. 封闭: 3%脱脂牛奶(货号GC310001)溶于TBST溶液, 室温孵育1小时. —抗: 1: 1000稀释, 4℃ 孵育过夜. 二抗: HRP标记山羊抗兔IgG (H+L) (货号GB23303), 1: 5000稀释, 室温孵育1小时. |
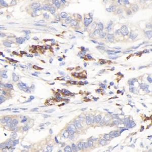
| IHC检测NLRP3蛋白(货号 GB114320). 样品: 人胃癌, 4%多聚甲醛 (货号G1101) 固定12-24小时. 抗原修复: 柠檬酸抗原修复液(干粉, pH 6.0) (G1201), 98℃, 20分钟. —抗: 1: 300稀释, 4℃ 孵育过夜. 二抗: HRP标记山羊抗兔IgG (H+L) (货号GB23303), 1: 200稀释, 室温孵育1小时. |
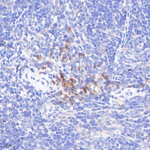
| IHC检测NLRP3蛋白(货号 GB114320). 样品: 小鼠脾, 4%多聚甲醛 (货号G1101) 固定12-24小时. 抗原修复: 柠檬酸抗原修复液(干粉, pH 6.0) (G1201), 98℃, 20分钟. —抗: 1: 300稀释, 4℃ 孵育过夜. 二抗: HRP标记山羊抗兔IgG (H+L) (货号GB23303), 1: 200稀释, 室温孵育1小时. |
| IF检测NLRP3蛋白(货号 GB114320)(红色). 样品: 人扁桃体, 4%多聚甲醛 (货号G1101) 固定12-24小时. 抗原修复: Tris-EDTA抗原修复液(pH 9.0) (G1203), 98℃, 20分钟. 封闭: 3% BSA(货号GC305010)的PBS溶液, 室温孵育30分钟. —抗: 1: 400稀释, 4℃ 孵育过夜. 二抗: Cy3标记山羊抗兔IgG (H+L) (货号GB21303), 1: 300稀释, 室温孵育1小时. |
| IF检测NLRP3蛋白(货号 GB114320)(红色). 样品: 小鼠抗原刺激模型脾脏, 4%多聚甲醛 (货号G1101) 固定12-24小时. 抗原修复: Tris-EDTA抗原修复液(pH 9.0) (G1203), 98℃, 20分钟. 封闭: 3% BSA(货号GC305010)的PBS溶液, 室温孵育30分钟. —抗: 1: 400稀释, 4℃ 孵育过夜. 二抗: Cy3标记山羊抗兔IgG (H+L) (货号GB21303), 1: 300稀释, 室温孵育1小时. |
| IF检测NLRP3蛋白(货号 GB114320)(红色). 样品: 大鼠脾, 4%多聚甲醛 (货号G1101) 固定12-24小时. 抗原修复: Tris-EDTA抗原修复液(pH 9.0) (G1203), 98℃, 20分钟. 封闭: 3% BSA(货号GC305010)的PBS溶液, 室温孵育30分钟. —抗: 1: 400稀释, 4℃ 孵育过夜. 二抗: Cy3标记山羊抗兔IgG (H+L) (货号GB21303), 1: 300稀释, 室温孵育1小时. |
储存
| 储存条件 | 在-20℃下储存一年, 避免反复冻融. |
| 储存缓冲液 | 含0.15% ProClin300防腐剂, 100 μg/mL牛血清白蛋白和50%甘油的磷酸盐缓冲液. |
注意:
1.本产品仅供研究使用.
2.建议用一抗稀释液(G2025)稀释本产品.
| 货号 | 名称 | 规格 | 价格 | 操作 |
|---|
| 货号 | 名称 | 规格 | 价格 | 操作 |
|---|





