
Anti-Mannose Receptor/CD206 Rabbit pAb
- 100 μL
产品信息
|
蛋白质全称 |
巨噬细胞甘露糖受体1 |
|
别名 |
CD206, CLEC13D, Macrophage mannose receptor 1, Mannose receptor, mannose receptor, C type 1, MMR, MRC1 |
|
Uniprot ID |
P22897 |
|
免疫原 |
人CD206重组蛋白 |
|
抗体亚型 |
IgG |
|
纯化方式 |
亲和纯化 |
|
亚细胞定位 |
内体膜, 细胞膜 |
应用
| 应用 | 物种 | 稀释 | 阳性样品 |
| IHC/IF 免疫组织化学/免疫荧光 | 人 | 1: 300-1: 600 | 肺, 肝, 肺腺癌 |
背景
CD206, also named as MMR, CLEC13D and MRC1, is a type I membrane receptor that mediates the endocytosis of glycoproteins by macrophages. CD206 has been shown to bind high-mannose structures on the surface of potentially pathogenic viruses, bacteria, and fungi so that they can be neutralized by phagocytic engulfment. CD206 is a 170 kDa transmembrane glycoprotein which contains 5 domains: an amino-terminal cysteine-rich region, a fibronectin type II repeat, a series of eight tandem lectin-like carbohydrate recognition domains (responsible for the recognition of mannose and fucose).
图像
|
|
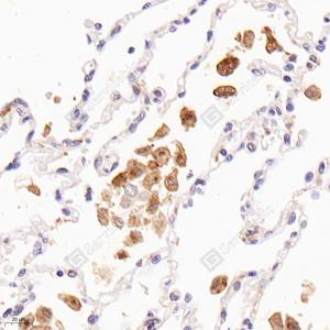
IHC检测Mannose Receptor/CD206蛋白(货号 GB115273). 样品: 人肺, 4%多聚甲醛 (货号G1101) 固定12-24小时. 抗原修复: 柠檬酸抗原修复液(干粉, pH 6.0) (G1201), 98℃, 20分钟. —抗: 1: 300稀释, 4℃ 孵育过夜. 二抗: HRP标记山羊抗兔IgG (H+L) (货号GB23303), 1: 200稀释, 室温孵育1小时. |
|
|
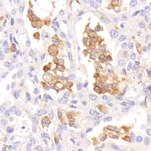
IHC检测Mannose Receptor/CD206蛋白(货号 GB115273). 样品: 人肺腺癌, 4%多聚甲醛 (货号G1101) 固定12-24小时. 抗原修复: 柠檬酸抗原修复液(干粉, pH 6.0) (G1201), 98℃, 20分钟. —抗: 1: 300稀释, 4℃ 孵育过夜. 二抗: HRP标记山羊抗兔IgG (H+L) (货号GB23303), 1: 200稀释, 室温孵育1小时. |
|
|
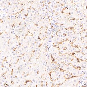
IHC检测Mannose Receptor/CD206蛋白(货号 GB115273). 样品: 人肝, 4%多聚甲醛 (货号G1101) 固定12-24小时. 抗原修复: 柠檬酸抗原修复液(干粉, pH 6.0) (G1201), 98℃, 20分钟. —抗: 1: 300稀释, 4℃ 孵育过夜. 二抗: HRP标记山羊抗兔IgG (H+L) (货号GB23303), 1: 200稀释, 室温孵育1小时. |
|
|
IF analysis of CD206(GB115273)green. sample: Human lung, 4% PFA (G1101) 12-24h. Antigen retrieval: Tris-EDTA buffer (pH 9.0) (G1203), 98℃, 20min. Blocking buffer: 3% BSA in PBS (GC305010), RT, 30min. Primary antibody: CD68(GB113150) red 1: 1000, 4℃ overnight, iF555-TSA(G1233). CD206(GB115273) green 1: 300, 4℃ overnight.488 conjugated Goat Anti-Rabbit IgG (H+L) (GB25303), 1: 400, RT, 1h. |
|
|
IF analysis of CD206(GB115273)green. sample: Human lung adenocarcinoma, 4% PFA (G1101) 12-24h. Antigen retrieval: Tris-EDTA buffer (pH 9.0) (G1203), 98℃, 20min. Blocking buffer: 3% BSA in PBS (GC305010), RT, 30min. Primary antibody: CD68(GB113150) red 1: 1000, 4℃ overnight, iF555-TSA(G1233). CD206(GB115273) green 1: 300, 4℃ overnight.488 conjugated Goat Anti-Rabbit IgG (H+L) (GB25303), 1: 400, RT, 1h. |
储存
| 储存条件 | 在-20℃下储存一年, 避免反复冻融. |
| 储存缓冲液 | 含0.15% ProClin300防腐剂, 100 μg/mL牛血清白蛋白和50%甘油的磷酸盐缓冲液. |
注意:
1.本产品仅供研究使用.
2.建议用一抗稀释液(G2025)稀释本产品.
| 货号 | 名称 | 规格 | 价格 | 操作 |
|---|
| 货号 | 名称 | 规格 | 价格 | 操作 |
|---|




