
Anti-Iba1 Mouse mAb
- 100 μL
产品信息
蛋白质全称 | 同种异体移植物炎症因子1 |
别名 | AIF-1, IBA, IRT-1, IRT1, allograft, AIF-1, AIF1, G1, IBA1, IRT 1, Protein G1, Ionized calcium-binding adapter molecule 1, MRF1, Microglia response factor, BART 1, AIF1 protein |
Uniprot ID | O70200 |
免疫原 | 小鼠Iba1重组蛋白 |
抗体亚型 | IgG1, κ |
克隆号 | 5G4E7 |
纯化方式 | 亲和纯化 |
亚细胞定位 | 细胞质, 细胞骨架, 细胞突起, 皱褶膜 |
应用
| 应用 | 物种 | 稀释 | 阳性样品 |
| IHC/IF 免疫组织化学/免疫荧光 | 人, 小鼠, 大鼠, 猴 | 1: 500-1: 4000 | 脑 |
背景
AIF1, also named as G1, IBA1 or daintain/AIF-1, is a 143 amino acid cytoplasmic, inflammation response scaffold protein. It is constitutively expressed in monocytes and macrophages and is known to be involved in macrophage activation. It is a marker of activated macrophage. Despite a lack of detailed knowledge on the in vivo physiological functions of AIF-1, there is growing evidence that shows its aberrant expression contributes to the pathogenesis of many autoimmune diseases, including rheumatoid arthritis. AIF1 is an actin-binding protein that enhances membrane ruffling and RAC activation. It enhances lymphocyte migration and the actin-bundling activity of LCP1.
图像
| IHC检测Iba1蛋白(货号 GB12105). 样品: 小鼠脑, 4%多聚甲醛 (货号G1101) 固定12-24小时. 抗原修复: 柠檬酸抗原修复液(干粉, pH 6.0) (G1201), 98℃, 20分钟. —抗: 1: 2000稀释, 4℃ 孵育过夜. 二抗: HRP标记山羊抗小鼠IgG (H+L) (货号GB23301), 1: 200稀释, 室温孵育1小时. |
| IHC检测Iba1蛋白(货号 GB12105). 样品: 大鼠脑, 4%多聚甲醛 (货号G1101) 固定12-24小时. 抗原修复: 柠檬酸抗原修复液(干粉, pH 6.0) (G1201), 98℃, 20分钟. —抗: 1: 2000稀释, 4℃ 孵育过夜. 二抗: HRP标记山羊抗小鼠IgG (H+L) (货号GB23301), 1: 200稀释, 室温孵育1小时. |
| IHC检测Iba1蛋白(货号 GB12105). 样品: 大鼠脑, 4%多聚甲醛 (货号G1101) 固定12-24小时. 抗原修复: 柠檬酸抗原修复液(干粉, pH 6.0) (G1201), 98℃, 20分钟. —抗: 1: 2000稀释, 4℃ 孵育过夜. 二抗: HRP标记山羊抗小鼠IgG (H+L) (货号GB23301), 1: 200稀释, 室温孵育1小时. |
| IF检测Iba1蛋白(货号 GB12105)(红色). 样品: 小鼠脑, 4%多聚甲醛 (货号G1101) 固定12-24小时. 抗原修复: Tris-EDTA抗原修复液 (pH 9.0) (G1203), 98℃, 20分钟. 封闭: 3% BSA(货号GC305010)的PBS溶液, 室温孵育30分钟. —抗: 1: 1000, 4℃ 孵育过夜. 二抗: Cy3标记山羊抗小鼠IgG (H+L) (货号GB21301), 1: 300稀释, 室温孵育1小时. |
| IF检测Iba1蛋白(货号 GB12105)(红色). 样品: 大鼠脑, 4%多聚甲醛 (货号G1101) 固定12-24小时. 抗原修复: Tris-EDTA抗原修复液 (pH 9.0) (G1203), 98℃, 20分钟. 封闭: 3% BSA(货号GC305010)的PBS溶液, 室温孵育30分钟. —抗: 1: 1000, 4℃ 孵育过夜. 二抗: Cy3标记山羊抗小鼠IgG (H+L) (货号GB21301), 1: 300稀释, 室温孵育1小时. |
| IF analysis of NeuN(GB11138) green. sample: Rat hippocampus , 4% PFA (G1101) 12-24h. Antigen retrieval: Tris-EDTA buffer (pH 9.0) (G1203), 98℃, 20min. Blocking buffer: 3% BSA in PBS (GC305010), RT, 30min. Primary antibody: NeuN(GB11138) green 1: 3000, 4℃ overnight.488-TSA(G1231). IBA-1(GB12105) red 1: 8000, 4℃ overnight,iF555-TSA(G1233). MBP(GB12226) Rose red 1: 5000, 4℃ overnight,iF594-TSA(G1242). GFAP(GB11096) yellow 1: 8000, 4℃ overnight,iF647-TSA(G1232). |
| IF analysis of IBA-1(GB12105)green. sample: Rat brain, 4% PFA (G1101) 12-24h. Antigen retrieval: TE buffer (pH 9.0) (G1203), 98℃, 20min. Blocking buffer: 3% BSA in PBS (GC305010), RT, 30min. Primary antibody: NeuN(GB11138) green 1: ?, 4℃ overnight.488 conjugated Goat Anti-Rabbit IgG (H+L) (GB25303), 1: 400, RT, 1h. MAP2(GB11128) red 1: ?, 4℃ overnight,Cy3 conjugated Goat Anti-Rabbit IgG (H+L) (GB21303), 1: 300, RT, 1h. |
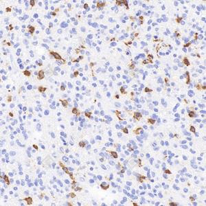
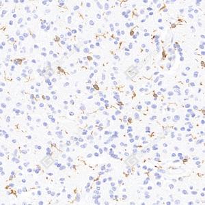
| IHC检测Iba1蛋白(货号 GB12105). 样品: 人多形性胶质母细胞瘤, 4%多聚甲醛 (货号G1101) 固定12-24小时. 抗原修复: 柠檬酸抗原修复液(干粉, pH 6.0) (G1201), 98℃, 20分钟. —抗: 1: 500稀释, 4℃ 孵育过夜. 二抗: HRP标记山羊抗小鼠IgG (H+L) (货号GB23301), 1: 200稀释, 室温孵育1小时. |
| IHC检测Iba1蛋白(货号 GB12105). 样品: 人少突胶质细胞瘤, 4%多聚甲醛 (货号G1101) 固定12-24小时. 抗原修复: 柠檬酸抗原修复液(干粉, pH 6.0) (G1201), 98℃, 20分钟. —抗: 1: 500稀释, 4℃ 孵育过夜. 二抗: HRP标记山羊抗小鼠IgG (H+L) (货号GB23301), 1: 200稀释, 室温孵育1小时. |
| IHC检测Iba1蛋白(货号 GB12105). 样品: 猴脑, 4%多聚甲醛 (货号G1101) 固定12-24小时. 抗原修复: 柠檬酸抗原修复液(干粉, pH 6.0) (G1201), 98℃, 20分钟. —抗: 1: 500稀释, 4℃ 孵育过夜. 二抗: HRP标记山羊抗小鼠IgG (H+L) (货号GB23301), 1: 200稀释, 室温孵育1小时. |
| IHC检测Iba1蛋白(货号 GB12105). 样品: 猴脑, 4%多聚甲醛 (货号G1101) 固定12-24小时. 抗原修复: 柠檬酸抗原修复液(干粉, pH 6.0) (G1201), 98℃, 20分钟. —抗: 1: 500稀释, 4℃ 孵育过夜. 二抗: HRP标记山羊抗小鼠IgG (H+L) (货号GB23301), 1: 200稀释, 室温孵育1小时. |
| IHC检测Iba1蛋白(货号 GB12105). 样品: 猴脑, 4%多聚甲醛 (货号G1101) 固定12-24小时. 抗原修复: 柠檬酸抗原修复液(干粉, pH 6.0) (G1201), 98℃, 20分钟. —抗: 1: 500稀释, 4℃ 孵育过夜. 二抗: HRP标记山羊抗小鼠IgG (H+L) (货号GB23301), 1: 200稀释, 室温孵育1小时. |
| IHC检测Iba1蛋白(货号 GB12105). 样品: 猴脑, 4%多聚甲醛 (货号G1101) 固定12-24小时. 抗原修复: 柠檬酸抗原修复液(干粉, pH 6.0) (G1201), 98℃, 20分钟. —抗: 1: 500稀释, 4℃ 孵育过夜. 二抗: HRP标记山羊抗小鼠IgG (H+L) (货号GB23301), 1: 200稀释, 室温孵育1小时. |
| IHC检测Iba1蛋白(货号 GB12105). 样品: 猴脑, 4%多聚甲醛 (货号G1101) 固定12-24小时. 抗原修复: 柠檬酸抗原修复液(干粉, pH 6.0) (G1201), 98℃, 20分钟. —抗: 1: 500稀释, 4℃ 孵育过夜. 二抗: HRP标记山羊抗小鼠IgG (H+L) (货号GB23301), 1: 200稀释, 室温孵育1小时. |
| IHC检测Iba1蛋白(货号 GB12105). 样品: 猴脑, 4%多聚甲醛 (货号G1101) 固定12-24小时. 抗原修复: 柠檬酸抗原修复液(干粉, pH 6.0) (G1201), 98℃, 20分钟. —抗: 1: 500稀释, 4℃ 孵育过夜. 二抗: HRP标记山羊抗小鼠IgG (H+L) (货号GB23301), 1: 200稀释, 室温孵育1小时. |
| IF检测Iba1蛋白(货号 GB12105)(红色). 样品: 人肝, 4%多聚甲醛 (货号G1101) 固定12-24小时. 抗原修复: Tris-EDTA抗原修复液 (pH 9.0) (G1203), 98℃, 20分钟. 封闭: 3% BSA(货号GC305010)的PBS溶液, 室温孵育30分钟. —抗: 1: 500, 4℃ 孵育过夜. 二抗: Cy3标记山羊抗小鼠IgG (H+L) (货号GB21301), 1: 300稀释, 室温孵育1小时. |
| IF检测Iba1蛋白(货号 GB12105)(红色). 样品: 人扁桃体, 4%多聚甲醛 (货号G1101) 固定12-24小时. 抗原修复: Tris-EDTA抗原修复液 (pH 9.0) (G1203), 98℃, 20分钟. 封闭: 3% BSA(货号GC305010)的PBS溶液, 室温孵育30分钟. —抗: 1: 500, 4℃ 孵育过夜. 二抗: Cy3标记山羊抗小鼠IgG (H+L) (货号GB21301), 1: 300稀释, 室温孵育1小时. |
储存
| 储存条件 | 在-20℃下储存一年, 避免反复冻融. |
| 储存缓冲液 | 含0.15% ProClin300防腐剂, 100 μg/mL牛血清白蛋白和50%甘油的磷酸盐缓冲液. |
注意:
1.本产品仅供研究使用.
2.建议用一抗稀释液(G2025)稀释本产品.
| 货号 | 名称 | 规格 | 价格 | 操作 |
|---|
| 货号 | 名称 | 规格 | 价格 | 操作 |
|---|
















