
Anti-Iba1 Rabbit pAb
- 50 μL
产品信息
|
蛋白质全称 |
同种异体移植物炎症因子1 |
|
别名 |
AIF-1, IBA, IRT-1, IRT1, allograft, AIF-1, AIF1, G1, IBA1, IRT 1, Protein G1, Ionized calcium-binding adapter molecule 1, MRF1, Microglia response factor, BART 1, AIF1 protein |
|
Uniprot ID |
P55008 |
|
免疫原 |
人Iba1重组蛋白 |
|
抗体亚型 |
IgG |
|
预测分子量./观测分子量. |
10,14,17 kDa / 14-17 kDa |
|
纯化方式 |
亲和纯化 |
|
亚细胞定位 |
细胞质, 细胞骨架, 细胞突起, 皱褶膜 |
应用
| 应用 | 物种 | 稀释 | 阳性样品 |
| WB 免疫印迹 | 人, 小鼠, 大鼠 | 1: 300-1: 600 | 脑, 睾丸 |
| IHC/IF 免疫组织化学/免疫荧光 | 人 | 1: 200-1: 400 | 结肠, 扁桃体 |
背景
AIF1, also named as G1, IBA1 or daintain/AIF-1, is a 143 amino acid cytoplasmic, inflammation response scaffold protein. It is constitutively expressed in monocytes and macrophages and is known to be involved in macrophage activation. It is a marker of activated macrophage. Despite a lack of detailed knowledge on the in vivo physiological functions of AIF-1, there is growing evidence that shows its aberrant expression contributes to the pathogenesis of many autoimmune diseases, including rheumatoid arthritis. AIF1 is an actin-binding protein that enhances membrane ruffling and RAC activation. It enhances lymphocyte migration and the actin-bundling activity of LCP1.
图像
|
|
WB检测Iba1蛋白(货号 GB114490). 样品: 经RIPA裂解液(货号G2002)处理的蛋白质. 封闭: 3%脱脂牛奶(货号GC310001)溶于TBST溶液, 室温孵育1小时. —抗: 1: 600稀释, 4℃ 孵育过夜. 二抗: HRP标记山羊抗兔IgG (H+L) (货号GB23303), 1: 5000稀释, 室温孵育1小时. |
|
|
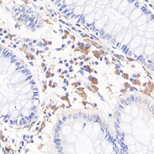
IHC检测Iba1蛋白(货号 GB114490). 样品: 人结肠, 4%多聚甲醛 (货号G1101) 固定12-24小时. 抗原修复: 柠檬酸抗原修复液(干粉, pH 6.0) (G1201), 98℃, 20分钟. —抗: 1: 200稀释, 4℃ 孵育过夜. 二抗: HRP标记山羊抗兔IgG (H+L) (货号GB23303), 1: 200稀释, 室温孵育1小时. |
|
|
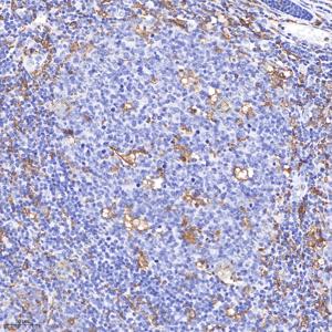
IHC检测Iba1蛋白(货号 GB114490). 样品: 人扁桃体, 4%多聚甲醛 (货号G1101) 固定12-24小时. 抗原修复: 柠檬酸抗原修复液(干粉, pH 6.0) (G1201), 98℃, 20分钟. —抗: 1: 200稀释, 4℃ 孵育过夜. 二抗: HRP标记山羊抗兔IgG (H+L) (货号GB23303), 1: 200稀释, 室温孵育1小时. |
储存
| 储存条件 | 在-20℃下储存一年, 避免反复冻融. |
| 储存缓冲液 | 含0.15% ProClin300防腐剂, 100 μg/mL牛血清白蛋白和50%甘油的磷酸盐缓冲液. |
注意:
1.本产品仅供研究使用.
2.建议用一抗稀释液(G2025)稀释本产品.
| 货号 | 名称 | 规格 | 价格 | 操作 |
|---|
| 货号 | 名称 | 规格 | 价格 | 操作 |
|---|


