
Anti-PKD2L1 Rabbit pAb
- 100 μL
产品信息
|
蛋白质全称 |
多囊肾蛋白2样1 |
|
别名 |
PCL, PKD2L, PKD2L1, PKDL, Polycystin-2 homolog, Polycystin 2L1, Polycystin L, Polycystin L1, TRPP3 |
|
Uniprot ID |
A2A259 |
|
免疫原 |
小鼠PKD2L1重组蛋白 |
|
抗体亚型 |
IgG |
|
纯化方式 |
亲和纯化 |
|
亚细胞定位 |
细胞膜 |
应用
| 应用 | 物种 | 稀释 | 阳性样品 |
| IHC/IF 免疫组织化学/免疫荧光 | 小鼠 | 1: 1700-1: 3400 | 肾 |
背景
This gene encodes a member of the polycystin protein family. The encoded protein contains multiple transmembrane domains, and cytoplasmic N- and C-termini. The protein may be an integral membrane protein involved in cell-cell/matrix interactions. This protein functions as a calcium-regulated nonselective cation channel. Two transcript variants encoding different isoforms have been found for this gene.
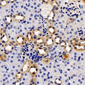
图像
|
|
IHC检测PKD2L1蛋白(货号 YB113624). 样品: 小鼠肾, 4%多聚甲醛 (货号Y1112) 固定12-24小时. 抗原修复: 柠檬酸抗原修复液(干粉, pH 6.0) (Y1212), 98℃, 20分钟. —抗: 1: 1700稀释, 4℃ 孵育过夜. 二抗: HRP标记山羊抗兔IgG (H+L) (货号YB23314), 1: 200稀释, 室温孵育1小时. |
储存
| 储存条件 | 在-20℃下储存一年, 避免反复冻融. |
| 储存缓冲液 | 含0.15% ProClin300防腐剂, 100 μg/mL牛血清白蛋白和50%甘油的磷酸盐缓冲液. |
注意:
1.本产品仅供研究使用.
2.建议用一抗稀释液(Y2036)稀释本产品.
| 货号 | 名称 | 规格 | 价格 | 操作 |
|---|
| 货号 | 名称 | 规格 | 价格 | 操作 |
|---|

