
Anti-KCC2 Rabbit pAb
- 50 μL
产品信息
|
蛋白质全称 |
溶质载体家族12成员5 |
|
别名 |
hKCC2, KCC2, KIAA1176, Neuronal K-Cl cotransporter, SLC12A5, Electroneutral potassium-chloride cotransporter 2, K-Cl cotransporter 2 |
|
Uniprot ID |
Q91V14 |
|
免疫原 |
KLH偶联的小鼠KCC2合成肽 |
|
抗体亚型 |
IgG |
|
纯化方式 |
亲和纯化 |
|
亚细胞定位 |
细胞膜, 细胞突起 |
应用
| 应用 | 物种 | 稀释 | 阳性样品 |
| IHC/IF 免疫组织化学/免疫荧光 | 小鼠, 大鼠 | 1: 900-1: 1800 | 脑, 脊髓 |
背景
KCC2, encoded by SLC12A5, is a neuron-specific K+-Cl- cotransporter that is essential for Cl- homeostasis and inhibitory synaptic transmission in brain. KCC2 is expressed at high levels in neurons throughout the nervous system. KCC2 deletion caused animal death. Alterations of KCC2 have been linked to neuropathic pain, temporal lobe epilepsy, and other diseases.
图像
|
|
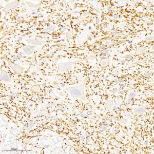
IHC检测KCC2蛋白(货号 YB113718). 样品: 小鼠脑, 4%多聚甲醛 (货号Y1112) 固定12-24小时. 抗原修复: 柠檬酸抗原修复液(干粉, pH 6.0) (Y1212), 98℃, 20分钟. —抗: 1: 900稀释, 4℃ 孵育过夜. 二抗: HRP标记山羊抗兔IgG (H+L) (货号YB23314), 1: 200稀释, 室温孵育1小时. |
|
|
IHC检测KCC2蛋白(货号 YB113718). 样品: 小鼠脊髓, 4%多聚甲醛 (货号Y1112) 固定12-24小时. 抗原修复: 柠檬酸抗原修复液(干粉, pH 6.0) (Y1212), 98℃, 20分钟. —抗: 1: 900稀释, 4℃ 孵育过夜. 二抗: HRP标记山羊抗兔IgG (H+L) (货号YB23314), 1: 200稀释, 室温孵育1小时. |
|
|
IHC检测KCC2蛋白(货号 YB113718). 样品: 大鼠脊髓, 4%多聚甲醛 (货号Y1112) 固定12-24小时. 抗原修复: 柠檬酸抗原修复液(干粉, pH 6.0) (Y1212), 98℃, 20分钟. —抗: 1: 900稀释, 4℃ 孵育过夜. 二抗: HRP标记山羊抗兔IgG (H+L) (货号YB23314), 1: 200稀释, 室温孵育1小时. |
储存
| 储存条件 | 在-20℃下储存一年, 避免反复冻融. |
| 储存缓冲液 | 含0.15% ProClin300防腐剂, 100 μg/mL牛血清白蛋白和50%甘油的磷酸盐缓冲液. |
注意:
1.本产品仅供研究使用.
2.建议用一抗稀释液(Y2036)稀释本产品.
| 货号 | 名称 | 规格 | 价格 | 操作 |
|---|
| 货号 | 名称 | 规格 | 价格 | 操作 |
|---|



