
Anti-CFTR Rabbit pAb
- 100 μL
产品信息
|
蛋白质全称 |
囊性纤维化跨膜传导调节因子 |
|
别名 |
ABC35, ABCC7, CF, CFTR, CFTR/MRP, MRP7, TNR CFTR, cAMP-dependent chloride channel, Channel conductance-controlling ATPase, ATP-binding cassette sub-family C member 7 |
|
Uniprot ID |
P26361 |
|
免疫原 |
小鼠CFTR重组蛋白 |
|
抗体亚型 |
IgG |
|
纯化方式 |
亲和纯化 |
|
亚细胞定位 |
细胞核, 细胞膜, 内质网, 内体 |
应用
| 应用 | 物种 | 稀释 | 阳性样品 |
| IHC/IF 免疫组织化学/免疫荧光 | 小鼠, 大鼠 | 1: 1000-1: 2000 | 胰腺 |
背景
CFTR is a member of the ATP-binding cassette (ABC) family of membrane transport proteins, most members of which function as ATP-dependent pumps. CFTR is unique among human ABC proteins in functioning not as a pump, but as an ion channel.
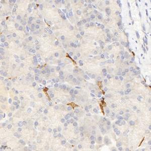
图像
|
|
IHC检测CFTR蛋白(货号 YB113328). 样品: 小鼠胰腺, 4%多聚甲醛 (货号Y1112) 固定12-24小时. 抗原修复: 柠檬酸抗原修复液(干粉, pH 6.0) (Y1212), 98℃, 20分钟. —抗: 1: 2000稀释, 4℃ 孵育过夜. 二抗: HRP标记山羊抗兔IgG (H+L) (货号YB23314), 1: 200稀释, 室温孵育1小时. |
|
|
IHC检测CFTR蛋白(货号 YB113328). 样品: 大鼠胰腺, 4%多聚甲醛 (货号Y1112) 固定12-24小时. 抗原修复: 柠檬酸抗原修复液(干粉, pH 6.0) (Y1212), 98℃, 20分钟. —抗: 1: 2000稀释, 4℃ 孵育过夜. 二抗: HRP标记山羊抗兔IgG (H+L) (货号YB23314), 1: 200稀释, 室温孵育1小时. |
储存
| 储存条件 | 在-20℃下储存一年, 避免反复冻融. |
| 储存缓冲液 | 含0.15% ProClin300防腐剂, 100 μg/mL牛血清白蛋白和50%甘油的磷酸盐缓冲液. |
注意:
1.本产品仅供研究使用.
2.建议用一抗稀释液(Y2036)稀释本产品.
| 货号 | 名称 | 规格 | 价格 | 操作 |
|---|
| 货号 | 名称 | 规格 | 价格 | 操作 |
|---|


