
Anti-SLC1A5/ASCT2 Rabbit pAb
- 50 μL
产品信息
|
蛋白质全称 |
中性氨基酸转运体B(0) |
|
别名 |
AAAT, ASCT2, ATB(0), ATBO, Baboon M7 virus receptor, M7V1, M7VS1, R16, RDR, RDRC, SLC1A5 |
|
Uniprot ID |
Q15758 |
|
免疫原 |
KLH偶联的人SLC1A5/ASCT2合成肽 |
|
抗体亚型 |
IgG |
|
预测分子量./观测分子量. |
57 kDa / 70 kDa |
|
纯化方式 |
亲和纯化 |
|
亚细胞定位 |
细胞膜 |
应用
| 应用 | 物种 | 稀释 | 阳性样品 |
| WB 免疫印迹 | 人 | 1: 300-1: 600 | SW480细胞 |
| IHC/IF 免疫组织化学/免疫荧光 | 人 | 1: 600-1: 1200 | 肺癌 |
背景
Has a broad substrate specificity, a preference for zwitterionic amino acids, and a sodium-dependence. It accepts as substrates all neutral amino acids, including glutamine, asparagine, and branched-chain and aromatic amino acids, and excludes methylated amino acids, anionic amino acids, and cationic amino acids. Acts as a cell surface receptor for feline endogenous virus RD114, baboon M7 endogenous virus and type D simian retroviruses.
图像
|
|
WB检测SLC1A5/ASCT2蛋白(货号 YB114658). 样品: 经RIPA裂解液(货号Y2013)处理的蛋白质. 封闭: 3%脱脂牛奶(货号YC310012)溶于TBST溶液, 室温孵育1小时. —抗: 1: 600稀释, 4℃ 孵育过夜. 二抗: HRP标记山羊抗兔IgG (H+L) (货号YB23314), 1: 5000稀释, 室温孵育1小时. |
|
|
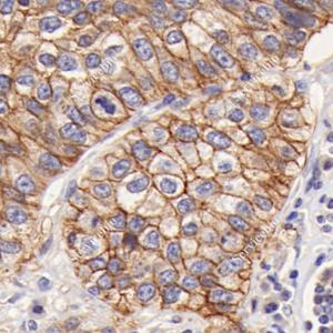
IHC检测SLC1A5/ASCT2蛋白(货号 YB114658). 样品: 人肺癌, 4%多聚甲醛 (货号Y1112) 固定12-24小时. 抗原修复: 柠檬酸抗原修复液(干粉, pH 6.0) (Y1212), 98℃, 20分钟. —抗: 1: 1200稀释, 4℃ 孵育过夜. 二抗: HRP标记山羊抗兔IgG (H+L) (货号YB23314), 1: 200稀释, 室温孵育1小时. |
|
|
IF检测SLC1A5/ASCT2蛋白(货号 YB114658)(红色). 样品: 人肺癌, 4%多聚甲醛 (货号Y1112) 固定12-24小时. 抗原修复: Tris-EDTA抗原修复液(pH 9.0) (Y1214), 98℃, 20分钟. 封闭: 3% BSA(货号YC305021)的PBS溶液, 室温孵育30分钟. —抗: 1: 600稀释, 4℃ 孵育过夜. 二抗: Cy3标记山羊抗兔IgG (H+L) (货号YB21314), 1: 300稀释, 室温孵育1小时. |
储存
| 储存条件 | 在-20℃下储存一年, 避免反复冻融. |
| 储存缓冲液 | 含0.15% ProClin300防腐剂, 100 μg/mL牛血清白蛋白和50%甘油的磷酸盐缓冲液. |
注意:
1.本产品仅供研究使用.
2.建议用一抗稀释液(Y2036)稀释本产品.
| 货号 | 名称 | 规格 | 价格 | 操作 |
|---|
| 货号 | 名称 | 规格 | 价格 | 操作 |
|---|



